
四、Dandy-Walker 畸形
Dandy-Walker畸形(DWM)又称为Dandy-Walker综合征(DWS)或Dandy-Walker复合畸形(DWC),是一组罕见、由第四脑室CSF流出受阻引起的严重的中枢神经系统畸形,包括典型Dandy-Walker 畸形、变异型Dandy-Walker、Blake 囊肿和小脑延髓池增宽等。DWM于1914年首先由Dandy和Blackfan报道,1942年Walker进一步阐明了该病系胚胎5~12周第四脑室渗透性损伤和小脑蚓部发育不全所致,1954年由Bendo命名为DWS。
典型Dandy-Walker 畸形以第四脑室和小脑发育障碍为特征,包括小脑蚓部完全缺失,第四脑室与后颅窝池相通。变异型Dandy-Walker指不合并第四脑室囊性扩张的小脑蚓部部分发育不全。Blake 囊肿指第四脑室上部经过第四脑室正中孔疝入小脑蚓部后方的后颅窝池中,形成后颅窝中的囊性结构。后颅窝池增宽指小脑形态正常,小脑蚓部正常发育,而小脑后方的后颅窝池增宽,正常的后颅窝池深度为小于10mm,大于该值则为增宽。有些学者认为以下后颅窝的异常都应该归类为DWS包括小脑蚓部缺失或者发育不良、第四脑室囊性扩张、后颅窝池增宽等。
DWM发生率1/2500~3500,胎儿发病率更高些。致病原因不明,大多呈散发,与多种遗传综合征有关。环境因素有可能是发病因素,但是没有得到证实;母体患有糖尿病,酗酒,妊娠早期宫内感染等也可能参与DWM的发生。
DWM可表现为独立的畸形,也可是某些畸形综合征的表现之一。约70%~90%典型DWM伴有其他异常,尤其是中线结构异常,如胼胝体缺失或发育不良,全前脑等,也与其他畸形伴发,如脑膨出、多囊肾、心血管畸形、肢体发育异常、唇裂或腭裂等。大约50%有染色体异常,如13-三体,18-三体,21-三体,特纳综合征(45,XO)。而变异型DWM有30%与以上染色体异常有关。可能与Meckel-Gruber综合征有关,一种常染色体隐性遗传病,表现为脑膨出,DWM,多指,多囊肾等。还可能与Walker-Warburg综合征有关,表现为脑室增宽,脑膨出,无脑回畸形,白内障及DWM等,也是一种常染色体隐形遗传综合征。
(一)超声检查
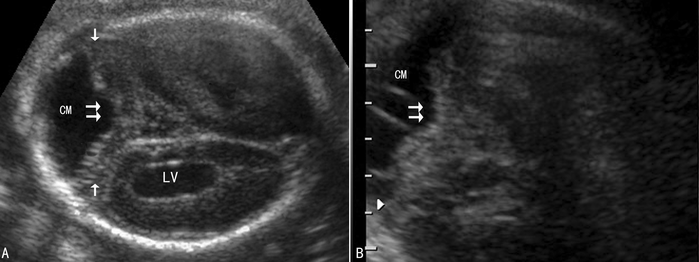
DWM包括:①第四脑室严重囊性扩张几乎占满整个后颅窝,②小脑蚓发育不良或缺如及③硬脑膜幕窦及侧窦向上移位。由于第四脑室的扩大,小脑延髓池被挤压到扩张的第四脑室和硬脑膜之间,小脑向前外侧移位。虽然侧脑室扩张不是诊断DWM的必要条件,但脑积水患儿中DWM发生率可高达12%。在上述不同的类型中,由于主要病变的类型的差异,声像图检查可有不同的发现。
1.DWM 典型DWM表现为小脑蚓部完全缺失,两侧小脑半球向两侧分开,第四脑室与后颅窝池相通,后颅窝池明显扩大(图18-29A)。产前有些合并有脑积水(图18-29B),但更多的见于出生后。

图18-29 DWM声像图
2.变异型DWM 小脑蚓部发育不全,或发育不良,往往上蚓部可见,探头向下扫查见下蚓部缺失(图18-30),与典型DWM一样可以伴发第四脑室扩张,后颅窝池扩大。

图18-30变异型DWM声像图
3.小脑延髓池增宽 仅小脑延髓池深度≥10mm,而小脑半球发育正常,小脑蚓部形态正常,位置正常,没有第四脑室扩张。
4.Blake 囊肿 在头颅横切面看到小脑有“V”形裂隙,而正中矢状切面显示小脑蚓部完整,后颅窝池内见囊肿。
5.其他合并畸形 如神经系统异常:脑室扩张、全前脑、脑膨出、胼胝体缺失、神经管缺陷等。神经系统以外的其他畸形:包括唇裂或腭裂,心血管异常,多囊肾等。
超声显像检查显示胎头正中矢状切面对DWM的诊断是重要的,通过该切面可以显示第四脑室扩张、小脑蚓部发育不全和移位以及小脑幕的抬高。但常规二维超声显像产前检查比较容易显示胎儿头部横断面,胎头正中矢状切面的显示有时比较困难,或可能导致DWM分型的困难甚至误诊或者漏诊。利用三维超声显示第三平面可以显示小脑蚓部的形态、原裂、次裂及第四脑室顶部及其与第四脑室的关系,弥补二维超声检查的不足。
小脑延髓池宽度超过10mm时为小脑延髓池扩张。如果可以显示正常的小脑蚓部并不伴有其他中枢神经系统畸形,则为单纯性小脑延髓池增宽(MCM);如果在横切面上看到小脑有“V”形的裂隙,而正中矢状切面显示小脑蚓部完整并且颅后窝内有囊状无回声,最可能的诊断就是Blake囊肿;如果可以显示第四脑室和正常大小的小脑延髓池相通并小脑蚓部缺失或发育不全时则应考虑Joubert综合征。
尽管有研究者报道TVU检查在11~12孕周就有可能显示后颅窝处的异常回声而提示DVM,但小脑蚓部在妊娠的第9周开始从小脑半球中线发育,16~18孕周时小脑半球及蚓部才完全覆盖第四脑室,在18孕周时,第四脑室与后颅窝池之间的交通被完全阻断,小脑蚓部在妊娠20周之前尚未完全发育,因此过早的观察小脑蚓部来诊断小脑蚓部的发育不全或者发育不良有可能过度诊断DWM。
(二)鉴别诊断
注意各型DWM之间的相互鉴别,包括典型DWM、变异型DWM和单纯小脑延髓池增宽之间的鉴别对预后评估和临床处理有一定指导价值。Ecker等发现,DWM大部分合并有染色体核型的异常且预后较差,DWV患者的预后相对较好;而小脑蚓部发育正常的单纯后颅窝池增宽可能预后更好。
除不同类型DWM鉴别外,约有70%的DWM可以伴发其他畸形,常见的神经系统异常包括脑中线结构异常(如胼胝体缺失或发育不良、全前脑等)、NTDs以及其他畸形,如泌尿系统畸形、心血管畸形、肢体发育异常、唇腭裂、多指(趾)畸形等。大约50%有染色体异常,如13-三体,18-三体,21-三体,特纳综合征(45XO)等。
五、Arnold畸形
Arnold畸形(AM)又称Arnold-Chiari畸形(ACM),又称小脑扁桃体下疝畸形,主要包括颅底扁平、小脑和延髓向下移位、小脑幕低、后颅窝小等,并常合并脊柱裂,脊膜膨出,脑积水,一半以上的胎儿合并脑积水。以小脑扁桃体下移的程度分可将AM分为三种类型。Ⅰ型主要有小脑向下移位,侧脑室位于颅后窝内,颅后窝较小,本型多在出生后作出诊断;Ⅱ型又称Arnold-Chiari综合征(ACS),主要包括小脑扁桃体后下移位,合并部分胼胝体和延髓通过枕骨大孔突入椎管,合并脊膜脊髓膨出、脊膜膨出、脊柱裂等,是Arnold-Chiari畸形中产前超声检查常见的类型;Ⅲ型罕见,是一种更严重小脑扁桃体后下移位形成颅后窝枕骨大孔疝、合并脑积水和脑脑膜膨出。
产前超声检查主要针对AM Ⅱ型。胎儿头部超声显像检查90%可有脑室扩张,双顶径小于孕龄,柠檬状头型,中线偏移、脑内结构紊乱,第四脑室和小脑幕、延髓移位,后颅窝池消失,小脑变小弯曲呈“香蕉状”、蚓部疝入枕骨大孔;脊柱超声显像检查显示椎弓骨化中心断裂、缺失、异常弯曲、后凸或侧突,局部显示脊膜膨出或脊髓脊膜膨出、脊柱裂等。如果在胎头枕部或额部、顶部显示颅骨缺损和脑膨出,则提示为AM Ⅲ型。
脊膜膨出或脊髓脊膜膨出、脊柱裂等是诊断AMⅡ型的必备条件。一般认为正是因为脊柱裂的存在,椎管压力低于颅脑压力,脑脊液从椎管流出,引起颅内压力减低、双侧颞骨内陷,形成了胎头的“柠檬头”征;第四脑室、小脑幕和延髓后移,后颅窝池消失,小脑变形呈“香蕉样”改变,小脑蚓部疝入枕骨大孔。
AM可合并足内翻、羊水过多等。