肺癌咯血的原因及治疗方法
咯血是临床常见症状之一,程度可从痰中带血丝到无痰情况下的大量咯血。引起咯血的疾病虽然以呼吸系统疾病最为多见,但是循环系统疾病、血液系统疾病、先天遗传性疾病及中毒等,均可导致支气管黏膜或病灶毛细血管渗透性增高,或黏膜下血管壁溃破,从而引起咯血。今天我们主要讲肺癌引起的咯血。
咯血会发生在肺癌的很多阶段,一部分肺癌患者是因为出现咳血这种症状后入院确诊为肺癌的,一部分患者在放化疗等治疗过程中出现咯血症状,甚至每年有极少数患者因为咯血导致大出血而死亡。因此,临床上是否能够准确判断咯血的病因,对于及时采取正确治疗而改善患者预后至关重要。

出血原因
1、肿瘤自身的坏死:癌细胞生长速度比正常细胞快无数倍,常常会消耗大量的营养物质和氧,当癌细胞生长过快,没有充足的血液和营养物质维持时,就会导致肿瘤当中的部分细胞因没有足够的营养供应而坏死,这时就会出现肿瘤表面或中心坏死而流血的情况,如果肿瘤和气管相通,这些血液就会循着支气管到达气管最终被咳嗽排出体外,就是俗称的咯血。
2、肿瘤浸润血管:肺癌组织对肺部的血管组织造成侵犯和破坏。肿瘤新生血管生成和血管浸润,肿瘤破坏肺实质。新生侧枝血管较脆弱,容易破裂。肿瘤生长快,需血量增多,支气管肺动脉的吻合支舒张,扩张的吻合支壁薄而容易破裂。吻合支承受体循环的血流,压力高。
3、肿瘤治疗相关的咯血:肺癌的化疗药物会引起骨髓抑制,引起血小板下降,常见的为吉西他滨、紫杉醇、卡铂、洛铂、奈达铂等。不少病人用了化疗药物后不仅白细胞下降,还有不少病人血小板也会随之降低,当血小板低于正常时,出血的风险增加,尤其是血小板低于20✘10^12,自发性出血风险很大。轻的表现为皮肤瘀点瘀斑,严重者会并发咯血、消化道出血、血尿甚至脑出血。肺癌放疗后咯血并非放疗直接导致。放疗过程中,有些患者可出现肿瘤脱落、坏死,在坏死脱落的过程中,可造成毛细血管破裂,引起咯血。如果是少量的痰中带血,则不用太关注,吃点止血药即可。如果是大出血侵犯血管,则需要血管介入,治疗时比较棘手。肺癌常见的抗血管生成的靶向药物,大分子贝伐珠单抗、小分子安罗替尼在使用的过程中有出血风险。一般来说,使用靶向药物出现咯血及痰中带血现象必须立即停药观察。
怎么样预防咯血
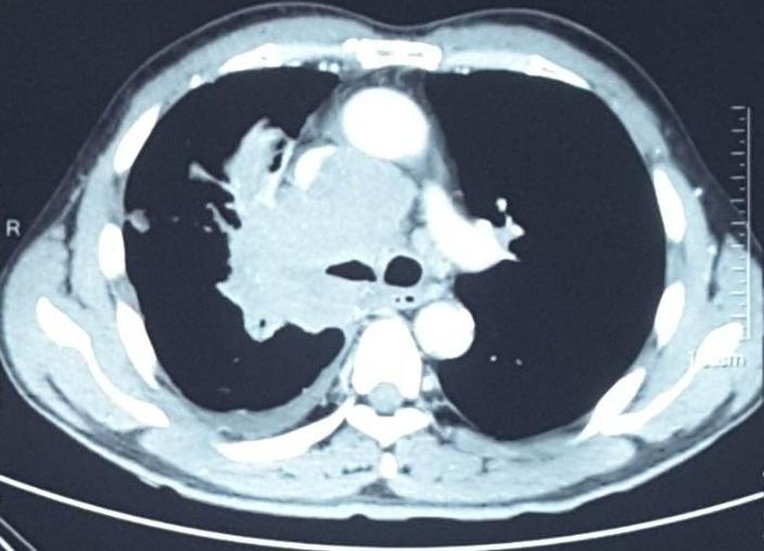
之前提到一部分肺癌患者是因为出现咳血这种症状后入院确诊为肺癌的,对于确诊肺癌已有出血症状的患者,我们科室是极为重视和谨慎的,一定要弄清楚出血原因。目前对于这部分患者,我们的临床经验是,出血最重要的原因为肿瘤包绕浸润血管导致血管破裂。(见下图),此类患者治疗过程中出血风险极高。对于此类患者,我们在治疗前会请介入科、呼吸科及气管镜室会诊,进行讨论,判断治疗过程中出血风险,甚至会治疗前对部分极易破裂的血管进行栓塞术,降低治疗过程中出现风险。

如果患者出现大咯血,我们应该怎么办呢?
1.全身止血药的应用
①脑垂体后叶素通过收缩内脏小动脉使末梢血流速度减低而有利于血栓形成达到止血的目的。其可肌内、皮下注射或稀释后静脉滴注,止血效果明确,起效迅速, 但对于高血压患者需慎用。脑垂体后叶素是治疗咯血,尤其是大咯血的首选药物。通常以5~10U垂体后叶素加入到25%葡萄糖溶液20~40mL,缓慢静脉注射,继之以10~20U的垂体后叶素加入到5%的葡萄糖溶液250~500mL中,缓慢静脉滴注,直至咯血停止后1~2d后停用。
②血凝酶( 如白眉蛇毒血凝酶、尖吻蝮蛇血凝酶、矛头蝮蛇血凝酶等) 通过促进凝血因子活性发挥止血作用。其可肌注、皮下注射、静脉注射, 也可在支气管镜下局部使用。静脉注射时一般 5-10min 起效,20-30min 达到止血峰值。以上两种药物在大咯血治疗时可同时联合使用,加强止血效果;
③其他止血药物:6-氨基己酸:可将4~6g6-氨基己酸加入到5%葡萄糖溶液250mL中静脉滴注,每天1~2次。氨甲苯酸(商品名止血芳酸):促凝血药物,通过抑制纤维蛋白溶解起到止血作用。可将100~200mg的止血芳酸加入到25%葡萄糖溶液20~40mL,缓慢静脉注射,每日1~2次;或将200mg的止血芳酸加入到5%葡萄糖溶液250mL中静脉滴注,每天1~2次。酚磺乙胺(商品名止血敏):可用酚磺乙胺0.25~0.50g,肌肉注射,每日2次;或将0.25g的酚磺乙胺加入到25%葡萄糖溶液40mL中静脉注射,每日1~2次,或酚磺乙胺1~2g加入到5%葡萄糖溶液500mL中静脉滴注,每日1次。如作用于血管壁的止血药物卡络磺钠、肾上腺色腙片; 作用于血小板的止血药物如酚磺乙胺、血小板悬液; 促进凝血因子活*药性**物如醋酸去氨加压素;直接补充凝血因子的药物如新鲜或库存血、冻干血浆、凝血酶原复合物; 促进凝血因子合成的药物如维生素 K; 抗纤维蛋白溶解的止血药物如 6-氨基己酸、氨甲苯酸、氨甲环酸等。以上药物或血液制品在大咯血急救时作用较弱,但可用于后续止血的处理;
④其他用于止血的药物 如利多卡因、普鲁卡因、酚妥拉明(可用10~20mg酚妥拉明加入5%的葡萄糖溶液250~500mL中静脉点滴,每天1次,连用5~7d。)、654-2 等扩血管药物可根据病情酌情使用。
原则上咯血患者不用镇咳药物,鼓励患者将血痰咳出。频繁剧烈咳嗽后发生咯血者,考虑咳嗽可能为咯血原因时可给予可待因15~30mg,每天2~3次,或给予含有可待因的复方制剂,如止咳糖浆10mL,每日3次。或右美沙芬15~30mL,每日3次口服,禁用*啡吗**等中枢性镇咳药,以免抑制咳嗽反射,从而导致血块堵塞气道造成窒息。安慰患者消除紧张焦虑情绪,必要时给予小剂量镇静剂,如*西泮地**(商品名安定)2.5mg,每日2~3次,或5~10mg肌肉注射,心肺功能不全或全身衰竭咳嗽无力者禁用。
2.非药物治疗
①支气管动脉栓塞术(BAE)
BAE是我科最常用的非药物治疗方法。在咯血初步稳定和内镜治疗无效或失败后,应首先考虑BAE。成功的栓塞有赖于通过血管造影显示出血血管的解剖结构。在栓塞后仍持续反复咯血的患者( 6-12个月,10%-20%) ,可尝试再次栓塞止血。晚期再出血( 超过1年)通常是由新生血管形成或血管再通所致。一般而言,BAE较为安全,并发症极少,但如果术中血管造影不好,未发现交通支,误栓脊髓动脉,会出现支气管壁坏死及缺血性脊髓病变; 支气管动脉栓塞治疗咯血主要适用于:①任何原因所致的急性大咯血,病因一时无法去除,为缓解病情,创造条件进行手术时;②不适合手术,或者患者拒绝手术,内、外科治疗无效者;③咯血量不大,但反复发生者。
②经支气管镜治疗:尽管大咯血时进行支气管镜操作可能有加重咯血的危险,但在必要时仍不失为有效的诊断治疗措施。支气管镜操作前应做好充分的救治准备,应保证气道的畅通,最好建立可靠的人工气道。尽可能减轻操作引起的咳嗽。
③手术治疗:对于反复大咯血经积极保守治疗无效,24h内咯血量超过1500mL,或一次咯血量达到500mL,有引起窒息先兆而出血部位明确且没有手术禁忌证者,可考虑急诊手术止血。
总结
大咯血是一种肺癌患者的危急重症,患者可因气道阻塞窒息或大出血休克死亡,应进行快速准确的病因诊断并积极采取急救措施。在应用BAE 或外科干预前, 应尽可能早的保持气道通畅,同时进行多学科有效处理,以保证患者生命安全。