#清风计划# #青云计划# #健康早班车,等你来发车#
前几天,有粉丝私信我,询问关于脑膜瘤的问题,今天我为大家解答一下脑膜瘤。
01 脑膜瘤是什么?
要回答脑膜瘤是什么,我们要先知道脑膜是什么。
在我们的大脑表面,从外到内覆盖着三层膜,分别是:硬脑膜、蛛网膜和软脑膜

硬脑膜较厚,由内外两层构成。蛛网膜是一层半透明的膜。软脑膜是包裹在大脑表面一层非常薄的薄膜。这三层膜最主要的一个功能就是保护大脑。
当中间的这层蛛网膜细胞发生瘤变之后,细胞就会不受控制的进行复制增长,最后形成一个团块,这就是脑膜瘤。

由于这种肿瘤起源于蛛网膜,所以在磁共振检查上面,我们能够看到肿瘤有条“小尾巴”,这是脑膜瘤连在蛛网膜上的“根”

脑膜瘤是人类脑类最常见的良性肿瘤,发病率很高,每100个人里面大约有3个人会患脑膜瘤。但是由于脑膜瘤生长非常缓慢,所以有40%以上的脑膜瘤患者是没有任何症状的,很多人是在无意中检查才发现脑里面长了一个脑膜瘤。
02 脑膜瘤常见的症状有哪些?
脑膜瘤中有很大一部分人是没有任何症状的,另外的一些人会由于脑膜瘤的大小、生长的位置不同,而出现下列一些症状。
(1)头痛
头痛是脑膜瘤患者最常见的症状之一,毕竟脑袋里面长了一个东西。
我有一个病人,就是慢性头痛十多年了,就是一直头痛,靠吃头痛粉等药物来止痛,但是一直没有做过检查。后来到医院一检查,发现是脑袋里面长了一个不大的脑膜瘤。
所以,如果是长期慢性头痛,还是要做一个脑部的磁共振比较好。
(2)恶心、呕吐
这是由于脑内长了东西之后,导致大脑内压力增高引起的,这种症状主要见于一些体积较大的脑膜瘤。
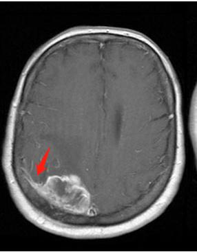
(3)嗅觉下降,出现幻嗅
有的脑膜瘤长在嗅沟,称为嗅沟脑膜瘤。我们的嗅神经从这里经过,这个地方如果长了脑膜瘤,就会压迫嗅神经,导致嗅觉下降。有的患者,还会出现幻嗅症状,也就是闻到本不存在的气味(类似于幻觉)

这是位于嗅沟的脑膜瘤
(4)性格改变
位于大脑额叶的大型脑膜瘤可以导致患者性格改变。

大脑分为四个叶,位于最前部的被称为额叶,掌管着我们的智力、认知、思维、语言、性格、人格等高级行为。
有一个脑膜瘤的病人,最早就出现了一些类似精神病的症状,性情大变,送到精神病院检查出来是额叶的脑膜瘤,进行手术切除后,精神症状也消失了。

位于额叶的巨大脑膜瘤
(5)耳鸣、听力下降、面瘫、面肌痉挛、面部疼痛等症状
当脑膜瘤位于我们的桥小脑角时,在这里有大量的神经通过,比如控制我们面部肌肉运动的面神经、控制面部感觉的三叉神经、负责听力的听神经都都从这里经过。
这个区域的脑膜瘤可以压迫、刺激这些神经,产生诸如听力下降、耳鸣、面瘫、面肌痉挛、面部疼痛、面部感觉下降等一系列症状。
(6)癫痫症状
还有很多脑膜瘤患者是因为发生癫痫症状来看病的,癫痫就是我们平常说的羊癫疯。这是由于脑膜瘤压迫大脑,引起大脑异常放电导致的。
(7)视野受损、视力下降
位于视神经交汇处的脑膜瘤可以压迫视神经,导致视野受损,视力下降。
(8)内分泌问题
当脑膜瘤长在垂体附近(鞍区)时,肿瘤会压迫挤压垂体。
垂体是我们最重要的一个内分泌腺体,能够分泌多种激素,包括生长激素、性激素、泌乳素促甲状腺激素等。
如果小朋友的生长激素分泌不足,就会导致侏儒症。如果性激素不足,就会出现性欲下降、阳痿*泄早**等问题。如果促甲状腺激素不足,就可以导致甲减,人就没有精神。
(9)运动不协调、眩晕
位于小脑的脑膜瘤可以引起这些症状,因为小脑是负责运动协调和平衡的。
可见,脑膜瘤的症状也是五花八门,主要跟它生长的部位有关。
03 脑膜瘤的良恶性和预后
脑膜瘤绝大多数都是良性的,生长缓慢,切除之后不容易复发。但是有一些脑膜瘤却是恶性的,它们可以侵蚀颅骨,把头骨都“吃掉”,还有一些不容易切干净,存在复发的可能。
世界卫生组织(WHO)根据脑膜瘤的良恶性程度,将脑膜瘤分为了三级,I/II/III三级,级别越高,恶性程度越高,越容易侵犯周边的组织,也越容易复发。

这是一个III级的脑膜瘤,这是利用计算机模拟形成的图像,我们可以看到肿瘤已经破坏了患者的头骨。
但是,大家也不要担心,大多数脑膜瘤都是良性的,生长非常缓慢,切除之后不再复发。
04 脑膜瘤的治疗
脑膜瘤只有通过手术切除才能治愈。药物,无论是中药还是西药都是没有任何作用的。
如果脑膜瘤没有症状(前面我们也说过,有40%的脑膜瘤患者根本没有症状),而且体积很小(小于1cm),是可以暂不治疗的,只需要每半年去定期复查一次即可,看看肿瘤有没有长大。如果没有长大,那就可以继续观察,不进行手术。
这个期间,患者是不用去吃什么药、打什么针的,这样既不能消除脑膜瘤,也不能阻止脑膜瘤的生长,纯粹是浪费钱。
至于生活,该吃吃,该喝喝,该运动运动,只要定期复查和密切注意自己有没有出现我在上面讲过的症状。
如果脑膜瘤比较大,而且有症状,那么早手术还是要比晚手术好的。
手术通常是把脑膜瘤切除,为了防止复发,还会把脑膜瘤周围的脑膜也一并切除一些,然后再用人工硬脑膜进行修补。、

人工硬脑膜可以用来修补缺损的脑膜
如果是比较恶性的脑膜瘤,已经侵犯了颅骨,这个时候我们就要把被侵犯的颅骨切除,然后再用人工的钛金属网修补颅骨。

这是利用钛合金制作而成的人工颅骨修补材料,轻便,结实,而且可以做磁共振。
希望这篇文章对大家有所帮助。
下面是我往期关于大脑肿瘤的文章,大家可以看看
32岁男子脑内肿瘤2年复发3次,为什么我们医生说这种肿瘤是最恶的
医生大白话:一文读懂垂体瘤
一文告诉大家:手术切肿瘤,医生是怎么判断肿瘤切干净没有的?