来源:即时超声 正常膀胱超声相关解剖

膀胱外观 膀胱内观

横切 纵切
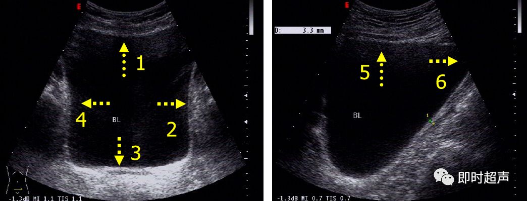
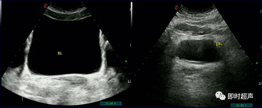
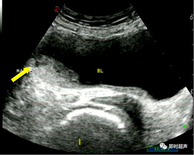
正常膀胱超声图像(经腹)
1.前壁 2.左侧壁 3.后壁 4.右侧壁 5.底部 6.顶部

膀胱三角区 (三角区位于膀胱后下部,为两侧输尿管开口及尿道内口所在区,是膀胱结核、膀胱肿瘤的好发部位 )
箭头所示为左右输尿管膀胱开口处

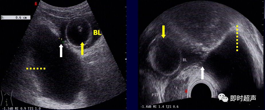
正常膀胱超声图像(经阴探测)
(膀胱壁呈中强回声光带,呈三层结构,分别由黏膜层(含黏膜下层)、肌层、浆膜层(含浆膜下层)组成,厚约0.1cm~0.3cm.膀胱内为无回声液性暗区 。经腔内扫查:能更清晰地显示膀胱壁的三层结构,(如图所示)尤其是检查膀胱后壁及三角区病变)


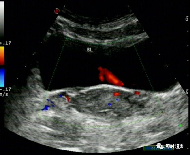
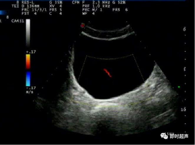
输尿管*尿喷**现象
(膀胱三角区、膀胱后壁两侧可见输尿管开口,排尿时可见输尿管口*尿喷**现象,尿流自后方斜向对侧前方,有断续光点移动。CDFI:显示尿流呈红色或橘红色。)
膀胱的形态大小、位置均与尿量有关

充盈良好 充盈差
膀胱超声的检查方法
病人准备

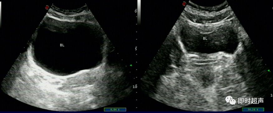
膀胱充盈好 膀胱充盈差
患者适当饮水,充盈膀胱,一般容量在300-400ml
对膀胱的检查方法示意图

横切 纵切
方法一:经腹壁探测法:在耻骨联合上方作纵向和横向扫查,要左右侧动或移动 (箭头所指为探头侧动方向)
经腹壁探测法是临床中最常用的检查方法,常采用仰卧位,如必要时可配合左、右侧位。

方法二:经腔内探测法:经直肠或经阴道探查膀胱,患者取截石位,探头作360°扫查(箭头),全面观察膀胱四壁.(要适当充盈膀胱,可详细观察膀胱壁的结构及病变的声像图特征。)
仪器选择

凸阵探头 阴式探头 直肠探头
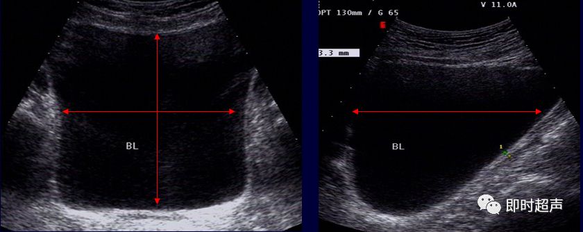
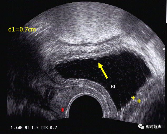
膀胱容量及残余尿量测定

测量方法:测量最大横切面的横径d1,厚径d2,以腹中线纵切面测d3。
残余尿量计算公式:0.5d1×d2×d3
残尿量是指排尿后,膀胱内未能排出的残余尿量。
对于少量残余尿测定可采用V=0.7d1d2d3公式可能更准确些。
常见膀胱病变的超声表现
一、膀胱炎
临床与病理:
- 膀胱炎为临床常见的泌尿系统炎症性疾病。种类繁多,根据病因不同可分为:常见的有细菌性、霉菌性、结核性及化学性膀胱炎等,根据病程长短又可分为:急性膀胱炎和慢性膀胱炎,慢性膀胱炎又分为:腺性膀胱炎、间质性膀胱炎和滤泡性膀胱炎等。
- 多发生于女性,主要临床表现为尿频、尿急、尿痛、血尿等。
- 主要病理改变为黏膜和黏膜下层充血水肿,有白细胞、淋巴细胞浸润。
超声表现
- 膀胱容量及形态异常
- 膀胱内部回声的改变:内可见散在的密集的点状或团状强回声,有漂浮感
- 膀胱壁的改变慢性炎症膀胱壁弥漫性增厚或局限性增厚,粘膜层不光滑

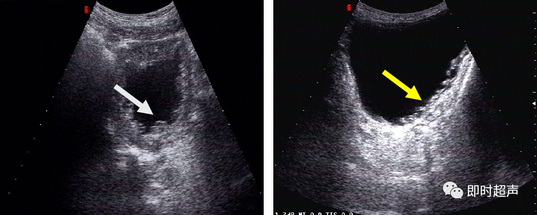
慢性膀胱炎膀胱壁呈“小梁状”结构 (箭头)弥漫性增厚结构(黄箭头)

膀胱内部可见散在的密集的点状强回声(箭头),有漂浮感

慢性炎症膀胱壁粘膜层不光滑(箭头)

霉菌性膀胱炎
二、膀胱结石
临床与病理:
膀胱结石分为原发性膀胱结石和继发性膀胱结石。原发性膀胱结石多由于营养不良或低蛋白饮食所致,多见于儿童。继发性膀胱结石多由上尿路小结石下降并停滞于膀胱内形成的。
继发性膀胱结石主要病因有下尿路梗阻、感染、膀胱异物、代谢性疾病等。多见于男性.我国膀胱结石多为草酸钙、磷酸盐和尿酸盐的混合结石。
主要临床表现有尿急、尿频、尿痛和尿流中断。
超声表现:
膀胱无回声液性暗区内出现团状强回声,后方伴声影,当体位改变时随体位移动。

膀胱结石:无回声暗区内团状强回声(箭头),后方伴声影(黄箭头)当体位改变时随体位移动
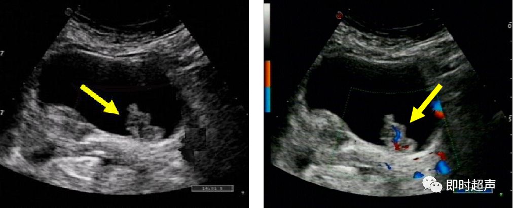
三、膀胱肿瘤
临床与病理:
- 移行上皮乳头状癌是膀胱腺癌中最常见的,少数为鳞癌和腺癌。
- 膀胱癌的发生率居泌尿系统肿瘤的首位,好发于40~60岁男性。
- 临床表现为无痛血尿、尿痛和尿急等症状 。
超声表现:
- 膀胱内可见一乳头状、菜花状中、强回声向腔内凸出,肿瘤基底部常较宽,肿物大小不一,表面不光滑,不随体位移动
- 膀胱壁局限性增厚.膀胱壁的正常结构消失,局部连续中断或层次不清晰
- CDFI:显示肿瘤基底部有细条状血流彩色Doppler频谱显示有动脉频谱:RI>0.60

左图:菜花样团状中、强回声(箭头)
右图:CDFI显示显示肿瘤基底部有细条状血流 (箭头)

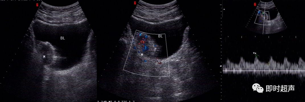
膀胱壁实性占位

二维 CDFI
膀胱壁多发实性占位
四、膀胱憩室
临床与病理:
- 膀胱憩室是指膀胱壁自分离的逼尿肌之间向外呈袋状膨出而形成的囊状物。
- 其与膀胱内腔之间有孔道相通,称为憩室口,多发生于膀胱三角区周围。
- 膀胱憩室分先天性和后天性,其发生均与先天性膀胱肌层发育局限性薄弱、下尿路长期梗阻使膀胱内压力长期增高等因素有关。先天性的憩室有排空功能,后天性的憩室无排空功能,尿液易潴留。
- 临床主要表现为排尿刺激性症状。
超声表现:
- 膀胱的侧方、后方或某一部位处可见一类圆形的无回声液性暗区
- 壁薄光滑,颇似囊肿,常为单发,可多发
- 排尿前后憩室腔大小随膀胱容量多少而改变
- 可寻找憩室与膀胱之间的通道-憩室口

单发 多发
D:憩室 憩室口(箭头所示)
五、膀胱异物及凝血块
临床与病理:
- 膀胱异物种类很多,有金属的、塑料的及其它材质的物品,其原因多为患者本人造成的。
- 膀胱凝血块是指各种病因导致的膀胱内壁出血而形成的实性团块。常见的病因有急慢炎症、结石、肿瘤及外伤等。临床主要表现为血尿伴膀胱刺激症状。
超声表现:
- 膀胱异物表现为液性暗区中可见杆状、细棒状等形态多样的回声水平不一的回声,内无血流信号显示,随体位移动,膀胱壁光滑,连续良好
- 膀胱凝血块表现为液性暗区内可见絮状、团块状的中、低回声,随体位移动,团块内部及周边均无血流信号

各种形态的膀胱凝血块(箭头)
六、膀胱壁子宫内膜异位症
临床与病理:
- 膀胱壁子宫内膜异位症由于某种原因子宫内膜异位于膀胱壁上,其重要的病理变化是膀胱壁上移位的内膜随卵巢的功能变化,发生周期性出血并伴有周围组织纤维化。
- 其主要的临床表现为下腹周期性疼痛、血尿等。
超声表现:
- 膀胱后壁可见团状低回声,向腔内隆起
- 膀胱壁局限性增厚,黏膜光滑完整
- CDFI:病变内无血流信号

二维 CDFI
膀胱左侧壁3点处团状等回声(箭头)
CDFI:内无血流信号
病例1:
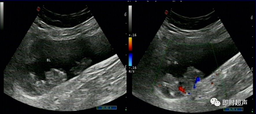
患者,男性,55岁,无痛肉眼血尿,临床实验室检查:尿常规:镜下血尿,超声声像图如下:



图1为二维声像图,肿瘤为稍强回声光团,呈不规则菜花样。
图2为彩色多普勒声像图,显示肿瘤内部可见细条状血流信号。
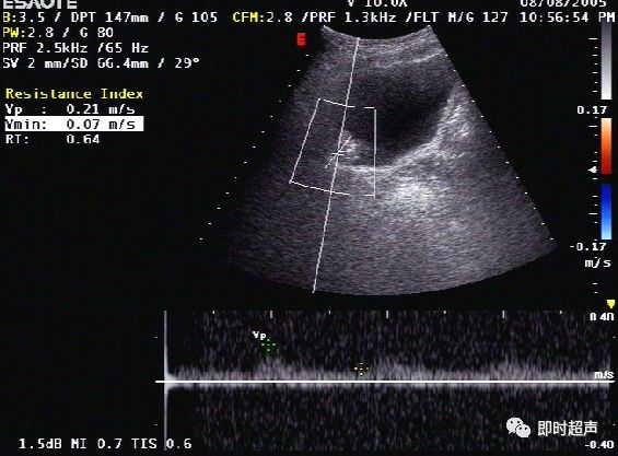
图3为彩色血流频谱图,显示肿瘤内部可见动脉频谱,RI=0.64。
诊断思路:
- 该患者为中年男性,为膀胱癌好发年龄
- 超声图像显示膀胱内可见一不规则菜花样团状中等回声
- CDFI:显示肿瘤基底部有细条状血流彩色Doppler频谱显示有动脉频谱:RI=0.64
- 综上所述,诊断应首先考虑膀胱恶性肿瘤
病理结果:
患者进行了肿块的切除,术后病理:膀胱移行上皮细胞腺癌
鉴别诊断:
膀胱内凝血块
超声表现:无回声液性暗区内可见絮状、团状的中、低回声,随体位移动。

无回声液性暗区内团状中等回声(黄箭头)
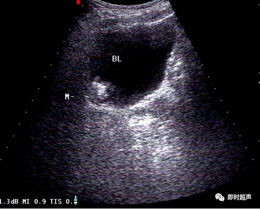
病例2:
患者,男性,40岁,有排尿刺激性症状 ,并有尿潴留。临床实验室检查:尿常规: (-),超声声像图如下:

右肾 左肾

经腹壁扫查 经直肠扫查
膀胱内可见导尿管气囊回声(箭头),膀胱右后方可见大小约9.2cm×6.5cm×8.3cm囊状物(虚线),膀胱右侧壁与囊状物相通,窦道(白箭头)宽约0.6cm。
诊断思路:
- 该患者为中年男性,有排尿刺激症状
- 超声图像显示膀胱右侧方可见一囊状物与其相通,并见窦道。挤压后囊状物变小
- 综上所述,诊断应考虑巨大膀胱憩室
病例3:
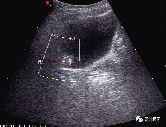
患者,女性,35岁,下腹周期性疼痛、肉眼血尿。临床实验室检查:尿常规:镜下血尿。超声声像图如下:

二维 CDFI
膀胱左侧壁3点处可见团状等回声(箭头),回声不均匀,内见多个液性暗区(虚箭头) CDFI:内无血流信号。
诊断思路:
- 该患者为中年女性,有痛经史
- 超声图像显示膀胱后壁可见一团块状低回声光团,向膀胱内隆起
- CDFI:病变内无血流信号
- 综上所述,诊断应首先考虑膀胱子宫内膜异位症
病理结果:
患者进行了肿块的切除,术后病理:膀胱子宫内膜异位症。
【版权声明】本平台属公益学习平台,转载系出于传递更多学习信息之目的,且已标明作者和出处,如不希望被传播的老师可与我们联系删除
喜欢本期内容的 求收藏 求转发
如果您有ct片问题也可以直接头条私信
想要知道更多的放射科相关内容可以微信关注放射沙龙公众号
或者直接在应用商店*载下**放射沙龙app与放射科医生在线互动学习