患者为70岁女性,就诊时间 : 2021年4月21日。
患者腰痛10年,2011年曾有摔伤。卧床后愈合。2013年腰痛,进行性加重,行走腰部沉重感,曾使用降钙素,使用后肝功转氨酶升高。已使用唑来膦酸注射液3年4次,每次输液后症状加重。
自带影像学资料提示胸椎,腰椎多发脊柱压缩性骨折。
查体 : 跟行,跖行,起跳活动无受限,弯腰及下蹲受限。
诊断 : 重度骨质疏松症,胸椎、腰椎多发椎体压缩性骨折
诊疗建议 : 抗骨质疏松治疗,同时,需要化验尿本周氏蛋白,与多发性骨髓瘤相鉴别。建议使用地舒单抗(普罗力), 用法: 60mg, 皮下注射,1次/半年,使用3-5年,因为当时我院药房无药,所以,我都会在病历上写明,请患者自行外购。并辅助用药骨化三醇胶丸,0.5微克, 口服,1次/日。并建议其抖音关注南方医院骨科朱立军教授,学习腰背部及腹部核心肌群训练,结合老年人的状况,我建议,学死虫子、鸟狗式和单腿站立等训练,需要简单易行。
朱立军教授,是我大学同学,对于居家功能训练深有研究,且录制海量视频,教感兴趣者学习和锻炼。

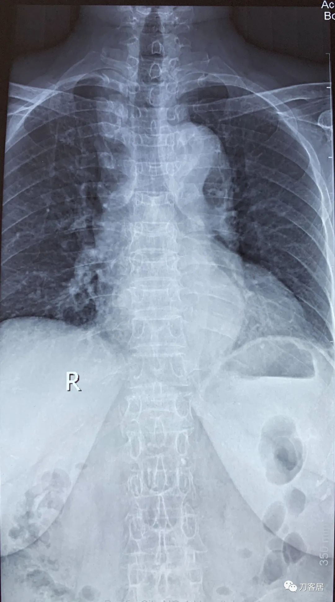
图01-20200825胸椎正位X线片

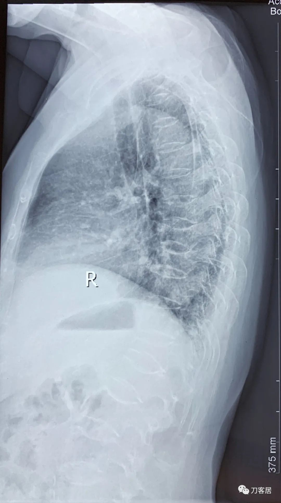
图02-20200825胸椎侧位X线片

图03-20200825腰椎正位X线片

图04-20200825腰椎侧位X线片

图05-20200824白银市第一人民医院胸椎MRI

图06-20200824白银市第一人民医院腰椎MRI

图07-20200824白银市人民医院胸椎CT

图08-20200824白银市人民医院腰椎CT

图09-20200824白银市人民医院腰椎CT

图10-20210421西京医院门诊病历