胆囊息肉消融保胆治疗
一、基本情况
患者男,49岁,2年前体检发现“胆囊息肉”,无疼痛、发热等症状,后定期复查。2019.12彩超复查示:胆囊占位,较前明显增大。欲给予进一步治疗,遂至我院,以“胆囊占位”入住我科。例行超声检查,胆囊内可探及一高回声团,大小约16.2mmx11mm,后伴彗尾,不随体位移动。影像提示:胆囊占位(考虑腺瘤)。

进行胆囊脂餐实验,让患者口服油腻食物,半个小时后再行超声检查,通过前后胆囊的大小变化来判断胆囊的收缩功能。


由此可得,该患者胆囊收缩率约为80%,胆囊收缩功能正常,具有保留胆囊的意义。(一般情况下缩小50%以上,可视为胆囊收缩功能正常)
因胆囊占位>10mm,生长速度略快,腺瘤性息肉可能性大,与患者及家属沟通后,决定打破传统外科切除治疗方式,拟定“超声引导下胆囊占位穿刺活检术+射频消融术”同时进行。

二、术中过程
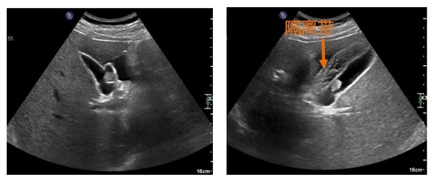
如何安全的进行活检,而不造成胆漏?
水隔离—注射生理盐水,使胆囊壁浆膜层和黏膜层分离完全,形成厚度>10mm的“隔离带”,使胆囊壁形成显著水肿,增加进针的安全距离。此操作在完成穿刺活检及射频消融中起了决定性的作用!

穿刺—选择最佳穿刺点及进针角度,沿胆囊壁长轴方向进针,尽可能增加路径距离,减小损伤胆囊壁穿孔、造成胆漏的风险。

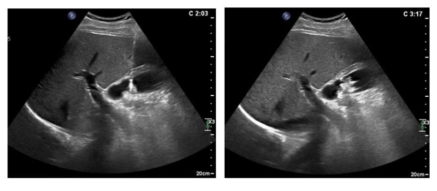
活检完成,开始射频消融:

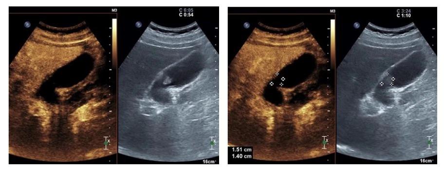
术中即刻造影:可见占位部分强化,仍具有活性,未消融完全。

进行“修补”巩固,再次启动消融,使占位彻底“灭活”。

再次造影可见占位呈动脉期“无强化”,消融完成。

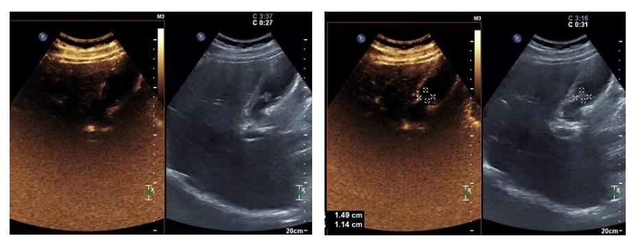
术后患者未出现胆囊穿孔、出血等明显并发症,精神状态良好。观察一天后给予超声造影检查:

可见占位未见强化,已完全“灭活”,胆囊壁水肿消失,恢复了正常厚度,胆囊壁未受明显损伤。次日活检病理提示:胆囊幽门腺腺瘤。

三、讨论与分析
胆囊息肉是指胆囊壁向胆囊腔内出现了凸起或者是隆起的一类病变。大部分患者无明显不适表现,现如今随着人们对体检意识的增强,胆囊息肉检出率日渐增多,其中超声检查对胆囊息肉的检出率高达95%以上,虽然胆囊息肉发病率很高,但真正需要治疗的患者并不多。一般来说,炎症性、胆固醇性、多发性的良性可能性大,患者只需要按时复查超声即可。但是对于单发、直径>10mm、胆囊增厚4mm、息肉逐渐增大、超声影像有腺瘤特征、反复出现腹痛等以上情况的,存在有癌变的可能,需要积极治疗。
在此之前,治疗胆囊息肉最常见的方案是外科切除术,占位性质也是在切除术中行冰冻切片才得以明确的。而超声介入完全打破了传统治疗理念,在不切除胆囊的情况下即可穿刺明确病理类别,如果活检确诊为胆固醇息肉就可以不用手术切除,使患者拥有了治疗选择权。
现代医学的发展趋势是精准医学,以最小的代价有效去除病灶。尽可能保留正常组织是当前医学的热点,而超声介入以精准、微创、无毒副作用、经济、安全等优势,完美契合了精神医学。凭借这些优势,它被更多患者所熟知、接受,从置管引流到穿刺活检再到射频消融,超声介入技术日渐成熟并逐渐成为现代临床治疗中不可替代的组成部分,日后必然会占有重要地位、广阔的发展前景。