本期博览群术带来蚌埠医学院第一附属医院介入科张阳教授应用WILLIS®治疗因肿瘤侵袭而具有破裂风险的颈内动脉一例,欢迎阅读!
基本资料
患者,男,69y;
主诉:发现左口底肿物4月余
现病史:
患者四月前感左口底不适,后至上海九院就诊,查PET-CT:左口咽咽旁及左侧舌根部不规则软组织影并DDG摄取增高,考虑为肿瘤复发。未予以特殊治疗,后至本院就诊。行肿瘤局部动脉灌注化疗栓塞时发现肿瘤侵及颈内动脉。
查体:
口外:颜面部不对称,重度张口受限,下唇正中及左侧颈部见术后缝线痕迹。口内:恒牙列,口内不可查,牙龈无红肿出血。舌体大小适中,运动受限。左翼颌区前臂皮瓣愈合良好,与周围组织贴合。双侧颈部、颌下淋巴结未触及肿大。
诊断:
1、左侧口底肿块;2、左侧翼腭区恶性肿瘤术后
术者思考
患者肿瘤侵犯颈内动脉,有破裂出血风险,危及生命。综合考虑后,决定采用WILLIS®颅内覆膜支架置入术,预防出血。病变部位狭窄段长约15mm,选用4.5×16mm WILLIS®支架。
手术材料
术前影像

手术过程
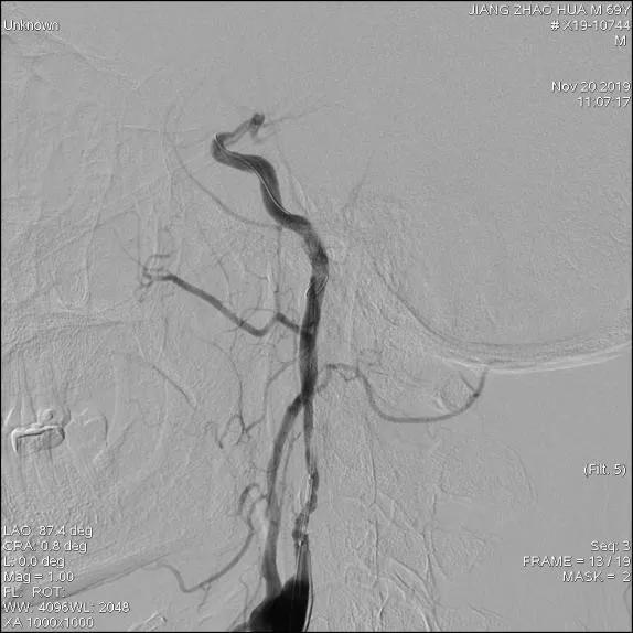
患者取仰卧位,常规消毒铺巾,Seldinger技术穿刺右股动脉,置入股鞘,引入8F导引导管至左侧颈总动脉分叉近端,造影提示:左侧颈内动脉近段肿瘤侵犯至狭窄,长约15mm,远端走形正常;后引入FilterWire EZ保护伞顺利通过狭窄段至C1远端,释放保护伞;引入4.5mm*16mm WILLIS®覆膜支架,精准定位后,缓慢球囊扩张释放支架。

WILLIS®支架到位

缓慢充盈球囊

支架展开,造影图示狭窄消失

术后蒙片支架打开良好

全脑血管造影图
造影图提示:支架位置佳,膨胀好,未见内漏,原狭窄段基本恢复正常。
手术顺利,术中患者生命体征平稳,术毕拔管包扎,安返病房。
术者简介

张阳教授
蚌埠医学院第一附属医院介入科副主任医师
介入导管室主任
中国医师协会介入医师分会急诊专业委员会委员;安徽省抗癌协会肿瘤介入专业委员会委员;安徽省医师协会医学影像医师分会介入专业委员会第一届副主任委员;蚌埠医学会介入放射学专业学会副主任委员。
科室简介
蚌埠医学院第一附属医院介入科自1994年批准建科起,即“全面”、“专职”、“系统”开展介入治疗,是省内最早开设介入病房的医院,现有病床33张,专职介入医师10名,人才梯度建设合理,有主任医师1名,副主任医师3名,主治医师3名,住院医师3名,目前已形成“有丰富的实际工作经验、高水平专业技术队伍和由介入门诊、介入病房及一流的介入导管室为一体组成的独立医疗体系”,年介入治疗2200台次。
特色项目:
1、 肿瘤介入治疗:我科在肿瘤介入方面具有丰富的经验,采用血管内栓塞术等各种手段综合治疗各种实体性肿瘤,尤其是肝癌的综合介入治疗,每年手术1000余台次。
2、 神经介入治疗:我科是省内介入科中唯一独立开展神经介入项目的科室,主要开展各种缺血性、出血性脑血管疾病的诊断和治疗,安全、微创,住院时间短,恢复快,取得了可喜的疗效,获得广大患者的好评。
3、 急诊大出血的介入治疗:如结核等各种原因引起的大咯血,胎盘植入等所致的阴道出血,各种创伤性大出血,消化道出血的造影诊断和定位,为外科手术切除提供了良好的导向作用,外科手术前的导丝或导管定位治疗消化道出血定位准确、效果确切。