新闻 丨 漫画 丨 趣闻 丨 病例 丨 观点 丨 福利
为了方便大家学习交流,【医看】特别推出了「资深专家」专栏,把好病例和好报告与大家分享~建议大家在看影像的时候认真思考,然后再对照文末的「专家报告」。
病例一
患者信息:女,18岁
检查部位:l
检查方法:L3--S1椎间盘平扫
患者主诉:腰疼1年余

长按扫描下方二维码
查看本病例的DICOM影像
专家报告
影像所见:
胸腰段生理性曲度以L1、2为中心后突,L1~椎体前缘见椎缘骨,各椎间隙未见明显狭窄;横断位:L4-5、L5-S1椎间盘朝后突出,相应硬膜囊前缘受压;黄韧带不增厚;L5-S1右侧椎间小关节面增生、硬化,间隙狭窄,椎旁软组织未见异常。
诊断意见:
1、腰椎生理曲度后突。
2、L4-5、L5-S1椎间盘突出(后中央型)。
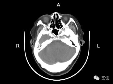
病例二
患者信息:女,80岁
检查部位:h
检查方法:平扫
患者主诉:两年前CT显示,梗塞,现正常体检

影像所见:
左侧基底节区及左脑干区见小斑片状低密度灶,部分边界欠清;侧脑室旁脑白质对称性减低,余双侧大脑组织内未见异常密度,脑干及小脑形态、大小正常,内未见异,中线居中,各脑室及脑池增大、脑皮层沟回加深加宽,余未见异常。骨窗下诸颅骨无明显异常。
诊断意见:
1、左侧基底节区及左脑干腔隙性脑梗塞。建议结合临床随访复查!
2、脑白质疏松;
3、老年性脑萎缩。
如果本文满足了您的求知欲,一定要将文章分享给身边的同事或朋友哦!
快扫码进来,就差你啦!▼