牙齿是人类重要的骨质器官,是咀嚼食物的。牙齿是人类最坚硬的器官,可以承受200-400公斤的压力。一般而言牙齿是呈白色微带黄,质地坚硬。牙齿具有多种功能,撕、磨、切。当然伟大的人类还开发了新功能,比如开瓶盖。牙齿还是天生的打架装备。

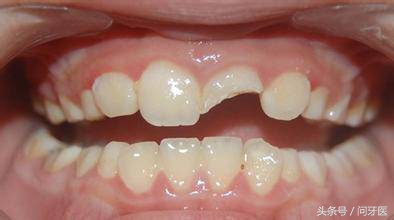
情况1:大过年的,用牙咬啤酒瓶盖,瓶盖没打开,牙掉了一小块。
情况2:过年了,各种坚果,就用牙咬,“咔”一响,坚果开了,牙也劈了一小块。
情况3:除夕夜,放鞭炮,点燃了,立马跑,没想到脚下一滑,磕到门牙了,掉了小半截。
情况4:年夜饭吃完了,靠着沙发,用牙签剔牙,没想到踢掉一小块牙齿碎渣。
情况5:经常性,时不时,牙齿就掉块。

情况1补救方法(如上图):
咬瓶盖掉块的,一般是*牙虎**或是第一磨牙外侧劈掉一小块。像这种情况,可以到口腔科,用进口的树脂,将缺损部位补起来,重新修饰成牙齿造型。费用在两三百元左右。
重要的是以后不要再用牙齿去开啤酒瓶盖了,有启瓶器干嘛不用呢,就算没启瓶器,各种开啤酒瓶的方法还少吗?打火机、筷子、桌角,凳子角,那种方法都可以开的。为什么还要用自己的牙齿开呢。

情况2补救方法(如上图):
咬夏威夷果,咬核桃,为什么不去咬石头呢!咬坚果会使牙齿尖部劈裂,严重的还会使牙齿劈成两半。劈裂一个角的,可以用进口树脂补上。若是劈成两半的,到口腔拍片看一下,是否裂到根部。斜裂的,需要做根管治疗,然后再补牙镶牙。若是直接裂到牙根,松动了,只能拔了,然后再镶牙。

情况3补救方法(如上图):
毕竟一年才放一次鞭炮。脚滑没办法,多数是门牙磕掉一块。通常有两种情况,第一种只是磕掉尖部,没有伤到牙神经,这种情况可以用树脂补上。第二种是已经伤到牙神经部位了,牙神经裸露。这种情况下只能做根管治疗,取掉神经,然后填充,补牙,镶牙。

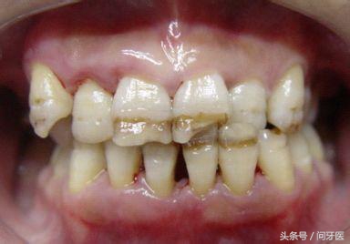
情况4(如上图):
剔牙是不会导致牙齿掉块的,剔牙缝,往里顶,应该是把牙结石给弄掉了,牙结石是污垢沉积物,与牙齿是有区别的,牙齿是致密结构,跟宝石类似,像鹅卵石。牙结石发黄,发暗,没有光泽,使劲就能掐碎。遇到这种情况说明该去洗牙了,你的嘴里积累了好多年的污垢,都结石了。

情况5(如上图):
经常性掉块的,牙齿缓慢剥落,主要是维生素DH和钙的缺乏有关。还有四环素牙、氟斑牙都会使牙齿掉块。需要与牙结石脱落区分开。两种物质质地不一样的。缺钙缺维生素,需要及时食补,有条件的检查一下身体状况,是否有其他全身疾病。
综上所述,牙齿掉块不可怕,缺一点半点问题不大,可以修补。即使磕碰断裂,也能修复。但是我们需要分清掉块情况,不能放任不理。不理睬只会越来越严重,直到整颗牙报废拔掉。
【问牙医】牙齿有问题,快速问牙医。本文原创稿件,翻版必究。
喜欢我的文章请关注我的微信订阅号(wenyayicom)或搜索【问牙医】