
1 肝细胞“逆生长”的分子调控基础获揭示

图片来源:百度图片
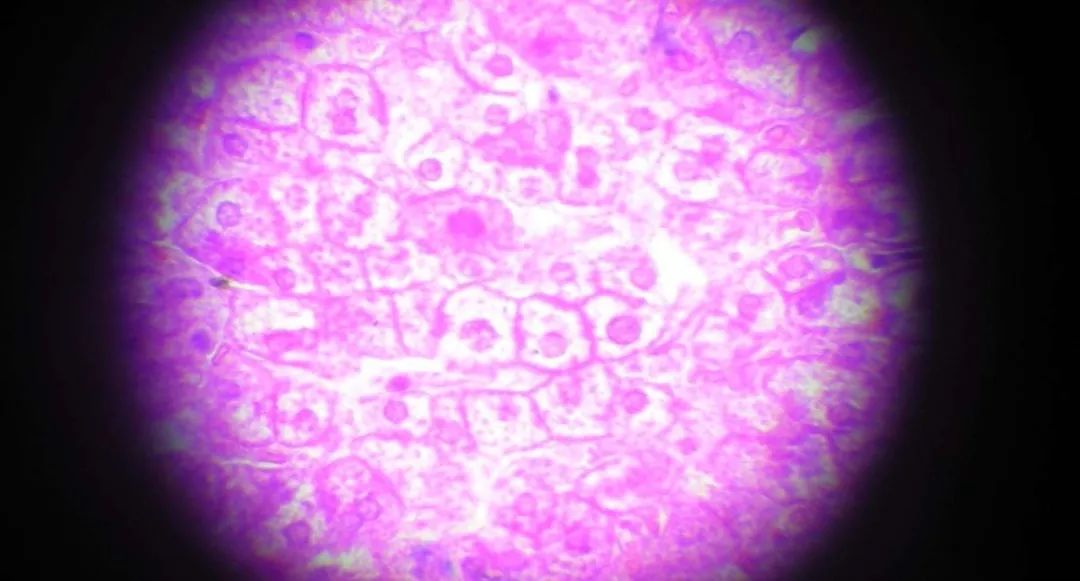
肝脏作为人体内十分重要的器官,其代谢解毒功能经常受到各种外来物质的损伤,会导致再生能力严重下降。因此,研究肝脏损伤再生及其分子调控机制具有重要意义。
中国科学院分子细胞科学卓越创新中心惠利健研究组合作研究发现,细胞核中的Arid1a蛋白能够调控肝细胞“再生基因”,在正常肝细胞中处于预打开的“待命”状态,让肝细胞可以更迅速地响应受损信号,激活肝脏“再生程序”。
该研究从基因层面揭示了肝细胞重编程介导的肝脏损伤再生分子基础,同时为利用药物靶向治疗肝脏损伤提供了新思路。相关论文于日前发表于国际权威学术期刊《细胞·干细胞》。
——《经济日报》
2 高活性细胞接种角膜透镜有望“再建”视网膜
老年性黄斑变性、视网膜色素变性等视网膜变性疾病,至今尚无有效治疗手段,是公认的“视力杀手”。中南大学爱尔眼科学院院长唐仕波教授、爱尔眼科研究所副所长陈建苏教授带领团队,利用诱导多能干细胞(iPS)条件培养基,培育出增殖能力强、高活性、具有良好功能的RPE细胞,为治疗视网膜变性等致盲疾病带来希望。
论文《利用iPS条件培养基和飞秒角膜透镜联合构建高活性视网膜色素上皮细胞(RPE)的研究》近期在线发表在《生物材料学报》上。
——《科技日报》
氢是宇宙中最丰富的元素,也是元素周期表上最小的元素。正因为“个头小”,氢能够轻而易举地钻进金属材料的内部,在里面大肆“搞破坏”,导致材料的损伤。
中科院合肥物质研究院固体物理所与加拿大麦吉尔大学的科研人员合作,在金属中的氢行为研究中取得重要进展,他们首次建立了体心立方金属中纳米孔洞氢俘获和聚集起泡的定量预测模型。该研究为理解氢致损伤,以及设计新型抗氢致损伤材料提供了可靠的理论基础和工具。相关论文在《自然—材料》上发表。
——《中国科学报》

减肥的形式多种多样,有人靠高强度运动减肥,有人靠控制食物摄入量减肥,还有人靠“嘴”减肥,口号挂在嘴边,行动永远拖到明天。
近日,一项新研究给靠“口号减肥”的人们带来了福音——咖啡或能减肥。英国诺丁汉大学研究人员发现,咖啡可以增强人体内棕色脂肪的活跃度,这有助于人们控制体重。
“治疗肥胖症患者的最好方式就是增加棕色脂肪组织的数量,并且这对代谢综合征患者的治疗也有很大的帮助。”李竹写道。
由于颈部有较多棕色脂肪,此次研究人员通过热成像技术扫描喝完咖啡的受试者的颈部,结果发现棕色脂肪区域确实变得更热,活跃度增强。研究负责人、英国诺丁汉大学教授迈克尔·西蒙兹表示,这是首次通过人体试验证明,喝一杯咖啡会对人体棕色脂肪的功能产生直接影响。
——《科技日报》
5 光催化剂能用可见光分解水

图片来源:百度图片
日本的新能源产业技术综合开发机构(NEDO)与东京大学和信州大学等合作,首次开发出了利用可见光将水分解成氢气和氧气的酸性硫化物光催化剂。这种光催化剂由名为Y2Ti2O5S2的酸性硫化物半导体构成,可以吸收波长小于640nm的太阳光来分解水。
除Y2Ti2O5S2外,酸性硫化物半导体中还有很多其他材料,在吸收可见光分解水方面具有很大潜力。此次开发的催化剂为微颗粒状,将来制作大面积光催化剂片材时,方便应用喷涂法等简单工艺。如果能将酸性硫化物半导体材料作为光催化剂用于水分解反应,就有望实现低成本的制氢工艺。
——《科技日报》
6 日本研究显示类地行星或遭遇致死性宇宙射线

恒星(左)与有可能存在生命的行星的想象图
据《日本经济新闻》7月17日报道,日本京都大学与日本原子力研究开发机构等的团队发布研究结果称,对于类似地球生物来说达到致死强度的宇宙射线有可能抵达位于太阳以外恒星周围的“系外行星”。此前有观点指出,与恒星有一定距离的系外行星上有液态水存在,有可能和地球一样存在生命。但此次研究结果表明,此类行星有可能遭遇恒星爆发现象“耀斑”导致的射线,环境严酷。
研究团队代表、京都大学综合生存学馆的地球行星科学教授山敷庸亮表示,“即使是这样的行星,也存在海洋中射线被遮挡、形成生命的可能性。”
——环球网
来源于:今日科协