凌晨6点,急诊科打来电话,“急会诊!有个急性心肌梗死的患者需要抢救!”

我立刻赶到急诊室,这是一名64岁男性。入院前3小时,还在睡梦中的患者被胸口的剧烈疼痛惊醒,立刻起了满头的大汗,一阵阵的意识模糊吓坏了老伴。老伴赶紧拨打120,在救护车的护送下来到医院。
突发胸痛,急诊肌钙蛋白(TnI)升高,心电图提示心脏下壁缺血改变,诊断急性心肌梗死毫无疑问,现在亟需心脏介入手术开通堵塞的心血管!但是,心电图的其他异常信号让我十分疑惑和不安:除了心脏下壁急性缺血外,心脏前壁出现大面积的Q波,提示数年前可能就发生过大面积的心肌梗死!如果真是如此,患者的心脏已经“千疮百孔”,这次手术怕是“九死一生”!

我追问患者和家属病史,以前究竟有没有过心绞痛的症状?但都矢口否认。只有患者说了一句自己得了2年的“胃病”,每次吃多了都会上腹部疼痛,吃点胃药症状就能好一些,但还是间断发作,做过胃镜也没发现什么毛病,便没有再去深究。

虽然我仍有许多疑问,但是监护提示血压只有80-85/50-55mmHg。如果低血压持续加重,肝肾衰竭甚至休克也将随之出现,此时容不得我再做犹豫,冒着风险上台手术,争取一线生机!我斩钉截铁地对家属说:“这一次手术风险极高,即使能救回一命,十有八九也得去ICU,家属做好充足的思想准备吧!”
我通知手术室提前做好准备,立即护送患者手术。由于患者严重的低血压状态,我们率先植入了心脏辅助装置(IABP)帮助心脏跳动,降低术中猝死的风险。然后迅速进行冠状动脉造影……
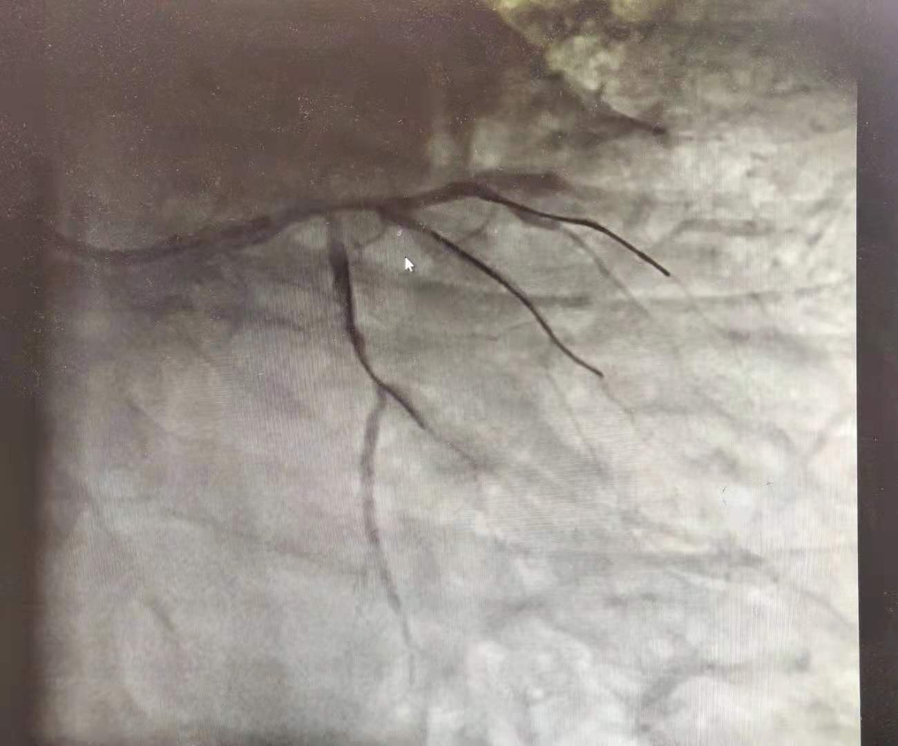
我的疑惑解开了,但是后背也立刻泛起一股凉意:左侧的3根主要心脏血管(前降支、中间支、回旋支),只剩下1根回旋支!而这根血管开口也能看到血栓、接近堵死!

回想心电图表现,我们确定:此次急性心梗是由于中间支新发堵塞造成;而患者以前确实得过大面积心肌梗死,那根闭塞的前降支就是证明!原来患者2年来饱饭后反复出现“上腹痛”根本不是胃病,而是被“误诊”的心绞痛甚至心肌梗死!
我们一边叫来ICU准备气管插管,以防不测,一边手术继续。经过各种导丝、球囊的精细操作,以及血栓抽吸,我们终于开通这次的“犯罪血管”——中间支;而另一根血管堵塞的时间太长,根本无法开通,过多纠缠只会增加猝死风险。我们认为可以结束手术,先将病人转入ICU,再谨慎决定下一步方案。

由于此次诱发心梗的血管得到及时开通,患者病情初步得到稳定;但毕竟是“梗上加梗”,患者不适的症状仍没有完全消失。好在心脏辅助装置起了关键作用,让心脏得到充分恢复。经过一系列后续治疗,血压心率基本稳定,第二天我们拔除了心脏辅助装置。
患者算是闯过了第一关,但是一看住院费用,仅一天就已经花费了近4万元的治疗费用!患者家属有些“捉襟见肘”。第三天,患者病情相对稳定,我们和ICU医生交流了一下病情,转入普通病房继续治疗。

目前,患者的生命体征平稳,血压恢复到95-100/60-65mmHg,胸痛的症状也已基本消失,自己能开始自己吃饭喝水。
第二关怎么办?我们联合心外科会诊,心脏支架已经没有机会,开胸搭桥是唯一出路。但是,患者两次心梗对心脏的打击太大,外科手术风险依然充满“未知”。
希望患者平安幸运……

张医生的一句话
心肌缺血的症状因人而异,并非都是心前区疼痛或是胸闷,上腹部(剑突下)疼痛尤其值得大家关注。因为我们见过太多的心脏病患者误以为是“胃病”而耽误了最佳治疗时机。
必须要强调的是,胃镜检查需要在除外心脏疾病后进行。因为胃镜对人体的刺激较大,存在诱发心脏病的可能,严重时甚至会诱发心肌梗死!

一点建议
如果您年过中年,具备以下情况,当出现疑似心脏缺血的症状时,建议赴当地医院心内科进行冠状动脉检查:
- 1.糖尿病;
- 2.既往脑梗死病史;
- 3.大量吸烟史(和饮酒);
- 4.多年未经控制的高血压;
- 5.长期服用激素等免疫*制剂抑**。

我是心血管内科张医生,如果喜欢我的科普文章,就请点赞吧!还可以转发把这篇文章分享给身边有需要的朋友哦!关注我还可以看到更多关于心脏病的健康知识!#科学真相#
(此处已添加医疗卡片,请到*今条头日**客户端查看)