腱鞘囊肿(ganglion cyst) 是关节或腱鞘周围发生的囊性肿物,可为单房性,也可能为多房,囊内含有无色透明或微白色、淡黄色的浓稠胶冻状物体,或稠厚黏液。本病好发于腕背侧、掌侧及桡侧、手掌部、内踝,身体其他部位的关节囊、腱鞘上也可发病。女性多于男性。
该病初期多无症状,质软,触及有轻微波动感,也有的坚硬如橡皮样质感,表面光滑饱满,与皮肤无粘连;少数稍疼痛,按之酸胀疼痛或自觉无力。腱鞘囊肿如果生长在骨内称为骨内腱鞘囊肿。

01
诊断
1.一般症状
腱鞘囊肿可发生于任何年龄,多见于青年和中年,女性多于男性。囊肿生长缓慢,圆形,直径一般不超过2厘米。也有突然发现者。少数可自行消退,也可再长出。部分病例除局部肿物外,无自觉不适,有时有轻度压痛。多数病例有局部酸胀或不适,影响活动。
2.局部症状
检查时可摸到一外形光滑、边界清楚的圆形肿块,表面皮肤可推动,无粘连。囊肿多数张力较大,肿块坚韧,少数柔软,但都有囊性感。囊肿的根基固定,几乎没有活动。B超检查可帮助确定肿块的性质。
(1)手腕部腱鞘囊肿:多发生于腕背侧,少数在掌侧。最好发的部位是指总伸肌腱桡侧的腕关节背侧关节囊处,其次是桡侧腕屈肌腱和拇长展肌腱之间。腕管内的屈指肌腱鞘亦可发生囊肿,压迫正中神经,诱发腕管综合征。少数腱鞘囊肿可发生在掌指关节以远的手指屈肌腱鞘上,米粒大小,硬如软骨。
(2)足踝部腱鞘囊肿:以足背腱鞘囊肿较多见,多起源于足背动脉外侧的趾长伸肌腱腱鞘。跗管内的腱鞘囊肿可压迫胫神经,是跗管综合征的原因之一。
3.检查
检查时可触及外形光滑、张力较大的包块,有轻度压痛,有囊样感或波动感;张力大时,包块较坚硬。囊肿部位高出皮面的肿块隆起,呈圆形或椭圆形,大小不等,可稍移动。针穿刺可证明其囊性,可与实质性肿物鉴别。
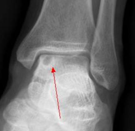
X线:邻近关节面、骨端一侧;囊状骨质破坏,边界清;无骨膜反应及软组织快,有硬化边;骨性关节面完整,关节间隙正常,无退变


超声:一般表现为皮下层、与肌腱或关节关系密切的类圆形或不规则无回声结节,可单房,也可分隔,边界清楚,后壁回声增强,较大囊肿囊壁上可探及血流信号。


MRI:病灶位于关节软骨下,呈囊性,境界清晰,与关节相通;长T1长T2水样信号;长T1短T2纤维组织信号、气体信号;STIR中异常信号均未被抑制。
手腕部的腱鞘囊肿主要与下列疾病相鉴别
1.腱鞘巨细胞瘤:腱鞘巨细胞瘤是一种质韧、固定的肿块,通常发生在手部屈肌肌腱表面。是一种不透光的固定、增大肿块。
2.脂肪瘤:手和腕部脂肪瘤可能表现为生长缓慢、可移动的无痛软结节,脂肪瘤不透光。
3.感染性腱鞘炎:感染性腱鞘炎可发生于任何关节,但最常发生于手和腕部。宽而不规则硬化边伴骨膜反应,内为液化坏死。特征为弥漫性肿胀以及纵向沿着肌腱走行的压痛,活动手指一般会诱发疼痛,一般有刺伤或咬伤。
4.类风湿结节:类风湿结节为质韧、非触痛性的肉色皮下病变,见于大约20%的类风湿性关节炎患者。类风湿结节可能固定或可移动,出现在手或腕部时通常位于伸肌表面。
5.痛风石:在痛风患者中,尿酸沉积物可引起质地坚硬的皮下结节。其通常起自关节边缘,接近皮肤表面的痛风石可能呈黄色,皮肤表面有红斑。虽然痛风石可发生于任何位置,但在手和腕部可观察到。
6.骨关节病性假囊肿:中老年,持重关节,关节间隙狭窄,关节退变。
02
治疗
肿块较小、无症状,不影响局部功能的,可不必处理;50% 以上的患者可能出现腱鞘囊肿自发消退,不需干预。对于囊肿较大、胀痛明显、影响局部功能的,可采用以下方法治疗:
非手术疗法
1.击碎法
适用于手腕部较小的腱鞘囊肿。令病人将手平放在桌上,手心朝下,腕下垫软的织物,使囊肿露在最高点,然后用一本厚重的硬皮书猛击曩肿,使囊壁破裂,破裂的囊壁和囊液会自行吸收,因此有了“用一本圣经痛击它(bashing it with a bible)”这句话,这是门诊常用方法之一,但是有时候会引起患者剧烈的疼痛。
2.挤破法
用双手握住病人的手腕,双拇指项压住囊肿,突然用力挤压,使囊肿破裂。此法较击碎法成功率略高些,但需有较大的指力,且能瞬间用力,才能够挤破,且仅适用于手腕及踝关节周围的腱鞘囊肿。“挤爆”是一般选用的随治随走的治疗方式,一般个体小,发病次数少,无关节上的活动障碍,可选用这种方式。
3.穿刺抽吸法
取5~6号针头或针灸用的银针,从囊肿顶部刺入囊内后,将针放成斜角,向囊肿四周随意穿透几个洞,以穿破囊壁且避开周围重要的血管、神经为原则。当穿透几个方向后出针,以消毒棉球盖在针眼上,用拇指按压囊肿,将液体挤出。然后加压按揉,局部加压包扎3-5天,嘱咐病人,在四五天内,每天都要数次压按揉挤,直至正常。

4.注射法
局部消毒后用20毫升注射器、9号针头穿刺,尽量抽尽囊液,然后视囊肿大小注入四环素0.25~0. 5克(以生理盐水2~6毫升溶解)。囊内注射四环素后,能引起裳肿内粘膜充血、水肿、纤维蛋白渗出,导致囊内化学性炎性反应,使囊肿腔逐渐粘连以至闭合,从而达到治愈目的。另外,还可以注入氢化可的松、碘酊、酒精等药物。
注意:非手术疗法的缺点是容易复发,并且反复针刺抽吸容易造成周围组织粘连,导致手术切除时囊肿周围解剖结构紊乱不清。对于接受初始保守治疗后症状持续存在或复发的患者,建议进行手术治疗。行手术切除腱鞘囊肿时,需同时切除囊肿及其柄,如果与关节相通的,需要结扎蒂部。手治疗术后约10% 会复发。
手术治疗
1.开放手术
①麻醉成功后,常规皮肤消毒,铺无菌巾,上止血带。
②以肿物为中心切开皮肤,切口可稍大,注意分离保护皮下神经组织。切开皮下筋膜和腕背韧带,解剖分离显露囊肿壁顶部,牵拉提起,用止血钳仔细剥离至囊肿根部。有的囊肿蒂部穿经肌腱与肌腱之间,手术中应小心地牵开肌腱,充分显露其蒂部。剥离过程中,囊壁一旦破裂,可用止血钳夹住破裂部位,以保持囊肿的充盈状态,这样比较容易分辨和剥离。如果破口太大,可将内容物擦干净,从肿物内壁探查其蒂部,再在其囊外分离至蒂部。手术完整切除囊肿及其蒂部,对于蒂部的处理有两种方法,其一是严密缝合蒂部,其二是扩大切除蒂部并旷置。
③缝合腕背韧带并关闭皮肤切口。视切口部位和切口大小决定是否放置引流条,最后敷料加压包扎。
2.关节镜手术
和传统开放式手术相比,关节镜技术的使用可缩短切口长度、减少腱膜损伤、缩短术后恢复时间、减轻患者手术痛苦,具有巨大发展空间。