当小朋友发生蛀牙时
不少家长可能会觉得没关系:
"反正乳牙早晚会掉的嘛,熬一熬就好了。"
"乳牙反正都要换的,不用补。"
"乳牙蛀了就蛀了,等换了新牙就好了。"
……
可是,真是如此吗?
真实病例:年仅12岁的小姑娘因当初乳牙龋坏太严重引起下颌大面积囊肿没办法了做了下颌骨切除手术,手术费用花了16万元,不过现在都恢复的挺好的,只是右边下边没牙了。

所以请家长们一定在照顾好孩子的同时关注孩子的牙齿健康!
苏口专家提醒您:甭管乳牙蛀成啥样,盘它!治它!趁早,不要拖!

乳牙的作用有哪些?
1、辅助发音:尤其是前牙缺失后会“漏风”,对发音心理健康有影响
2、利于咀嚼:乳牙阶段是儿童身体发育的重要时期。若缺失乳牙,咀嚼不全,会影响营养吸收,进而影响生长发育

3、维持空间:此功能非常重要,每颗乳牙下方,都有相应的恒牙胚,若乳牙早失,旁边乳牙倾斜或恒牙萌出时期过早,造成牙列拥挤错位
4、颌骨发育:乳牙适宜的咀嚼力量传导到颌骨,有利于颌骨的生长发育,若无足够的刺激颌骨则会发育窄小,造成牙列拥挤,也会对面部有一定的影响。
乳牙龋病不治疗有哪些危害?
婴幼儿龋齿的危害不亚于成人的龋齿。它不仅影响宝宝正常的咀嚼和进食,致使宝宝营养不良,还会影响宝宝颌骨的发育,以及恒牙的生长和萌出,导致恒牙排列参差不齐(拉低颜值)。

更可怕的是,一旦患有严重的龋齿,导致龋齿的致病菌——变形链球菌有可能会进入血液,继而影响心肾功能。这可不是闹着玩的!
所以,乳牙龋病应尽快到医院进行治疗。一但发现孩子长了龋齿,一定要及时处理,绝不能有“乳牙迟早要换,坏了也不必治”的错误观念。
1、会引发更严重的牙齿问题
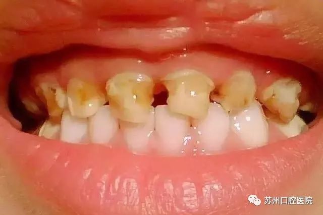
龋坏的乳牙


2、会让下方的恒牙“躺着中枪”
确实,乳牙反正是要换,但是您得知道乳牙和恒牙是那么那么的接近!
乳牙生病了,龋坏了长期不管,很有可能造成恒牙也毁容!

釉质发育不全

恒牙异位萌出
3、孩子不敢用坏牙吃饭,长久形成偏侧咀嚼
偏侧咀嚼有问题吗?
除了下巴骨不适、一侧牙齿磨损严重等问题外,最糟糕的是,脸型变这样了!

4、会影响美观和发音
小朋友只能“笑不露齿”了,影响身心发育。

乳牙龋病如何预防?
1、第一颗牙齿就要刷
在乳牙萌出前,家长要帮孩子清洁口腔,可以用小块的纱布或指套牙刷,沾水后轻轻地擦拭舌头、牙龈以及口腔黏膜等部位。

家长要在孩子长出第一颗乳牙,就开始使用儿童专用牙刷帮助刷牙。
2、使用含氟牙膏
3周岁以下的儿童只用一点大米粒大小的含氟牙膏。3-6周岁儿童用豌豆大小用量的牙膏。

3、使用牙线
一旦长出两颗相邻牙齿,就应该使用牙线,可以用一大卷的牙线,也可以用牙线棒,牙缝比较紧的可以选择加蜡牙线,容易上手。每天至少使用一次牙线。

4.定期进行口腔检查
口腔医生建议在孩子周岁以前或第一颗牙齿萌出的六个月内,家长就应该带孩子去看牙医;每3~6个月带孩子到口腔诊所医院进行一次口腔检查。
6-12岁年龄段儿童口腔检查项目有:
替牙期检查有无多生牙,早失牙;
畸形牙,乳牙滞留,残根残片;
龋齿的预防和治疗;
牙齿矫正的最佳年龄,适合进行错颌畸形的早期矫正;
洁牙、涂氟、做窝沟封闭,以及口腔卫生宣教。
