牙疼不是病,疼起来要人命
对于孕妈妈来说更是如此
孕妇未控制的牙周炎可能会引起
早产(孕期<37周)和低体重新生儿(<2500克)
严重影响宝宝的生长发育和身体健康
甚至可能造成流产或早产
26岁的研研(化名)已经怀孕16周,是一名幸福的准妈妈。对于首次怀孕的研研来说,不仅孕妈常见的恶心、呕吐等反应一样没少,没想到口腔问题竟也成了*麻大**烦。
2个月前,研研开始出现牙龈红肿,刷牙时还会出血,因怀孕之前出现过类似情况且一般都会自愈,她便没放在心上。可没想到随着时间延长,牙龈出血情况越来越重,于是到青岛妇女儿童医院口腔科就医。
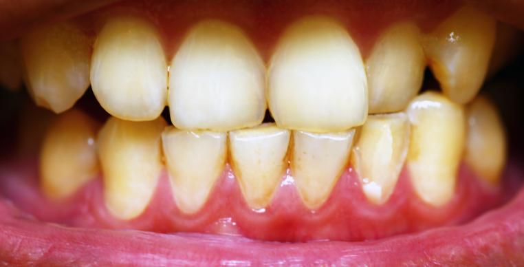
接诊专家经过口腔检查,发现研研牙龈呈暗红色,质地松软,前牙区尤为明显,形成龈袋,牙齿探查发现牙龈出血,诊断为妊娠期龈炎。如不及时治疗,发展为牙周炎,形成瘤样改变,严重可能导致流产或早产。
“朋友都说孕前要进行口腔检查,我没在意,没想到真出了问题。”听到医生的诊断,研研懊恼的说。

经过牙周基础治疗控制炎症,进行孕期口腔卫生保健知识普及等手段,孕妈牙龈出血症状明显好转。随后进行产检,结果提示胎儿健康,她这才松了口气
孕期口腔健康
为啥孕期“牵一齿而动全身”
妊娠期间,准妈妈体内孕激素及雌激素迅速增加,免疫状态也有所改变,即便妊娠前后口腔卫生习惯一致,牙龈出血肿胀的概率也显著提高。
除妊娠期龈炎、妊娠期龈瘤外,牙周疾病还与糖尿病、心血管疾病等全身疾病都有密切关系,未控制的牙周炎不仅增加早产、低体重儿等负面妊娠结果的风险,还可能是先兆子痫的风险因素之一。
准妈妈牙疼只能"扛"?
许多孕妈妈害怕孕期用药会对胎儿产生不利影响,一拖再拖,导致病情越来越重。其实,怀孕后发现有口腔问题的孕妈妈也不必过度担心,临床检查、洁牙等非手术牙周治疗在怀孕期间可安全进行;X线检查、牙周手术治疗可在专业医师指导下,选择适当的时机进行。
预防孕期口腔疾病,可以这样做
1提前准备,科学应对口腔问题
孕前:怀孕前6个月进行全面的口腔健康检查,接受必要的牙周治疗和卫生指导,并及时处理好牙周炎、冠周炎、有病灶的智齿等问题,口腔健康后再考虑受孕。
孕期:一般来说,怀孕初3个月和妊娠末三个月是治疗牙齿疾病的禁忌期,妊娠中期相对安全平稳,如有口腔问题可以选在这一阶段进行治疗。
2养成良好的口腔卫生习惯
保持口腔卫生,坚持早晚刷牙,饭后漱口;合理饮食,多吃富含纤维的食物,少吃过于甜、酸或辣的食物;定期到医院进行口腔检查,发现问题及早诊治。