葉子口腔科普
洗牙,应该是你熟知的清洁牙齿的方式。但其实,在专业上,洗牙包含了不同的操作,包括洁治、抛光、喷砂、刮治等。
抛光 —— 作为孩子洗牙的常用的方式,牙医是怎么样利用它来洗干净孩子的牙呢?
01
什么情况下适合做牙齿抛光?
如果孩子从小开始坚持每半年洗一次牙的,一般没有太多的牙石,这时孩子的洗牙(洁牙)步骤是:
- 由医生使用牙刷刷干净牙
- 用手工洁治器清洁牙面


3. 用抛光杯进行抛光

当然,医生还会根据孩子牙齿的情况,给孩子安排喷砂或超声波洗牙。
02
做牙齿抛光,会用到什么工具?
做牙齿抛光时,医生可能会用到这些工具:
- 为患者准备的护目镜
- 个人防护设备
- 抛光膏(有不同口味的供选择,如草莓口味等)
- 气动抛光设备和牙刷
- 牙线
- 口镜,水气枪
- 嘴唇润滑剂
- 吸唾管和大容量抽吸管
- 常规抗菌漱口液



03
医生是如何给牙齿做抛光的?
看看医生给牙齿做抛光时,是如何注意到每一个细节,做到彻底清洁的。
① 抛光上排牙齿的唇颊面



医生会用左手拿着口腔小镜子牵拉着孩子的颊粘膜,或用手指牵拉着孩子的嘴唇,这样方便操作。
医生这时可以直视到牙齿颊面和近中面(牙齿与前面牙齿接触的那一面),而无法直视的远中面(牙齿与后面牙齿接触的那一面),会采用非直视方法(用口腔专用小镜子)来帮忙。
② 抛光上排牙齿的舌侧



这个位置医生是无法直视的,所以,医生同样会用口腔小镜子,帮助医生用良好的姿势并且可以看见舌面。
同时,医生会利用小镜子和牙椅上的灯光来进行反光,让牙面的脏东西能被看得清楚。
③ 抛光下排牙齿的唇颊面



和抛光上排牙齿的唇颊面相似,医生会用口腔小镜子牵拉颊粘膜或手帮助把嘴唇牵拉,方便操作。
④ 抛光下排牙齿的舌面



牙齿靠近舌头的那一面,也需要被清洁。我们日常刷牙时,这些位置很容易被遗忘。
这时候医生会用口腔小镜子控制着舌头,不让舌头来捣乱。
但是,医生会避免把小镜子放在孩子舌头下的粘膜上,因为这样孩子会感觉不舒服。
同时,医生会利用抛光杯的边缘来抛光前牙舌面的小窝。
⑤ 抛光牙齿的咬合面
为了适应牙齿的外形结构,医生会用平头刷或尖形抛光刷更替抛光杯,更好地去除牙齿咬合面的着色。
⑥ 抛光后使用牙线清洁牙缝

在牙齿抛光后,医生会使用牙线清洁残留在牙缝的摩擦剂和帮助去除邻面色素,然后让孩子漱口。
……
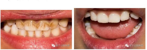
以上,是医生给孩子进行的牙齿抛光过程,你看懂了吗?看着孩子洗牙前后的对比,顿悟牙齿对颜值的影响重大。

图片来源:@济南牙医正好妈
孩子的牙齿也是牙,也会有色素沉着、沉积的牙垢、牙石形成(尤其是家长刷牙操作不正确,孩子不合作刷牙)。所以,除了每天的刷牙,我们还需要定期给孩子进行洗牙。
别担心牙齿会被洗坏,洗牙和衣服脏了要洗是同一道理。你会担心衣服被洗坏,而忍受穿着脏兮兮的衣服吗?
图片 | 网络 / @济南牙医正好妈
编审&排版 | 牙医麻麻Debbie(口腔医学硕士)
猜你喜欢:
孩子可以洗牙吗?

和小葉子聊聊:
你有给孩子定期洗牙吗?
你自己有定期洗牙的习惯吗?
投稿、合作、加入:dentalleaf@gmail.com
yzkqkp@qq.com