支气管炎是生活中常见的疾病,支气管炎长期迁延不愈,导致患者反复咳嗽,甚至还会引发阻塞性肺气肿、支气管肺炎、支气管扩张这些并发症,对患者带来很大的伤害。下面为大家介绍一下。
支气管炎引起的咳嗽怎么办?

咳嗽是气管遭受某种刺激所引起的防卫动作,痰则是细菌或灰尘和气管分泌物所形成的。咳嗽可分干、湿两种。干咳,会有昏昏沉沉、灼热的感觉,又咳不出痰。经常见于感冒、支气管炎及肺炎初期。长时间持续的干咳,可能是肺结核。湿咳的症状是咳个不停,且喉咙带痰。若干咳的症状加剧,会演变成湿咳。常发生于肺部疾病、支气管扩张及心脏瓣膜等疾病。
咳嗽严重或咳嗽时痰中带血或呈绿色,最好能尽快接受医生诊治,此外,也须留意有无胸痛、头痛、腹痛或发烧等症状。在家中静养时,尽量不要消耗体力。有效及禁忌的食物有效的食物:干咳带点痰,有粘液难清除时,可食用梨子、萝卜、蜂蜜、白木耳、百合根及枇杷叶等。枇杷叶的用法,是先用刷子刷去叶上的毛,当茶饮用。湿性咳嗽且带痰的情况,则适合食用陈皮或柚子。身体发热、痰呈黄绿色时,一般将此种情况称做热咳。

病毒性支气管炎引起的咳嗽在日常生活中应该吃的食物:根据专家的介绍可以食用一些:萝卜、冬瓜、梨子、海藻类、枇杷叶及柿子等具冷却作用的食物。萝卜以切块生吃较好,效果优于煮熟。若是身体冷,时而畏寒,痰呈透明状,有寒冷感觉时,则属于寒性情况。适合的食物有大蒜、生姜、葱、陈皮、银杏、核桃等。将少许切好的姜加入水是饮用,可保暖,争夺杏可治疗咳嗽气喘。
支气管炎并发症
支气管炎是我们日常生活中常见的一种呼吸道疾病,支气管炎它除了经常咳嗽、咳痰,同时也给患者的生活带来不便外,而且还可能引发多种常见的并发症。
1、阻塞性肺气肿
阻塞性肺气肿为支气管炎最常见的并发症,阻塞性肺气肿以呼吸困难为主要症状,并逐步导致肺部纤维化,造成不可逆损害,甚至诱发肺源性心脏病,给患者的生命带来威胁。

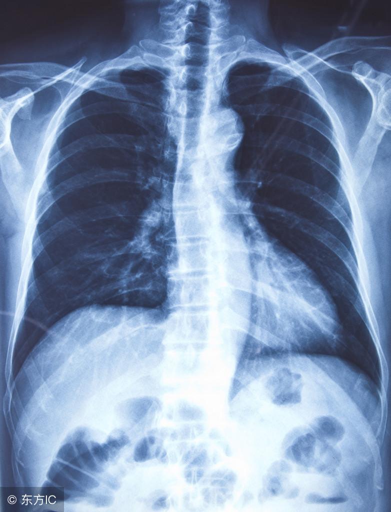
2、支气管肺炎
支气管炎蔓延至支气管周围肺组织中可导致支气管肺炎。支气管肺炎患者多表现为寒战、发热,咳嗽增剧,痰量增加且呈脓性。白细胞总数及中性粒细胞增多。X线检查可发现两下肺野有小斑点状或小片阴影。
3、支气管扩张
支气管炎反复发作,支气管粘膜充血,水肿,形成溃疡,管壁纤维增生,管腔或多或少变形,形成支气管扩张或狭窄。支气管扩张的症状以反复的咳嗽、咯血为主。
支气管炎反复发作,导致腺体增生肥大,分泌功能亢进等,形成不可逆转的病理改变,降低肺功能。防治不好的话不但会并发肺气肿还有可能发展为肺原性心脏病。所以不管我们平时有多忙,在工作之余都要重视我们的身体健康,身体不适要及时到医院就诊,及时治疗,只有这样我们的生命财产安全才能够得到保障。

想了解更多知识内容可以点击下方了解更多关注我们的阳光小店店铺,里边有各种健康类书籍