来自巴西圣保罗大学的研究人员于12月04日称,一名女性病人在接受已故捐赠者的子宫移植手术后产下一名女婴,为该领域的世界首例。之前,只有活体捐赠者的子宫移植才能成功分娩。

子宫移植的整个领域还处于相对早期阶段,但随着已故捐献移植病例的增加,以及移植手术和后续治疗技术的不断提高。研究人员表示,移植团队能够可靠地使用已故捐赠者的子宫,可以扩大器官的可用性,并降低活体捐赠者在手术切除子宫时的风险。
来自巴西圣保罗大学的研究人员于本周二(2018-12-04)称,一名女性病人在接受已故捐赠者的子宫移植手术后产下一名女婴,为该领域的世界首例。之前,只有活体捐赠者的子宫移植才能成功分娩。
研究人员介绍,该病例是从一名45岁,死于脑出血的妇女身上摘取的子宫。这名妇女之前有三个孩子。将该器官移植到一名32岁患有一种先天性疾病,导致没有子宫的妇女身上。移植7个月后,医生将通过体外受精从妇女的卵子和丈夫的精子中获得的胚胎移植到她的新子宫内。
这名妇女的怀孕过程是正常的,研究团队在36周后于2017年12月15日进行了剖腹产手术(完整的妊娠期约为40周)。大约在孩子出生7个月后,当研究人员撰写并描述该病例的论文时母亲和女婴都很健康。

领导这项研究的Dani Ejzenberg博士在一份声明中表示,使用已故捐赠者可以极大地扩大这种治疗的可行性。他补充说,自愿并承诺在自己死后捐献器官的人数远远超过那些活着的捐赠者,提供了更广泛的潜在捐赠者群体。
在所有这些病例中,子宫都来自活体捐献者—通常是受者的家庭成员或朋友。但任何捐赠者都必须接受根治性子宫切除术,这是一个漫长的过程(以前需要10到12个小时,现在需要4到6个小时),伴随着风险和恢复期。因此,希望已故捐赠者能够成为器官的另一个来源。
从已故捐赠者那里移植子宫的部分挑战在于,获取一个器官、根据血型和其他特征将其与受体匹配并完成手术,这一过程可能需要很长时间。子宫只能在没有血液供应的情况下存活不长时间。所以来自活体供者的移植被安排在相邻的手术室进行。
巴西的研究人员报告称,子宫缺血也就是说停止供血持续了近8个小时,几乎是任何活体供者移植的两倍。这表明,寻找子宫的移植团队可以扩大他们寻找捐赠者的地理区域。Flyckt博士认为,这实际上告诉我们子宫是非常有弹性的。
与其他器官移植受者一样,这名患者也服用了免疫抑制药物,以降低身体排斥移植的几率。在剖腹产过程中,外科医生还进行了子宫切除术——他们切除了子宫。子宫移植被认为是“短暂的”,也就是说,子宫移植只是为了让受者有孩子而留在体内,然后被移除。
专家们希望,有一天子宫移植将更广泛地应用于没有子宫或器官受损的女性,甚至是寻求怀孕的变性女性。2014年在瑞典,医生成功帮助一名子宫移植妇女分娩;从那以后,世界各地大约有十几个这样的婴儿出生。去年,达拉斯贝勒大学医学中心(Baylor University Medical Center)的医生们接生了美国首例子宫移植婴儿。
另一些研究人员警告说,考虑到所有的生物学限制,即使考虑到已故捐赠者,潜在的子宫捐赠者实际上相当少。但他们表示,对于那些没有朋友或家人愿意捐赠的女性来说,依靠已故捐赠者可能会增加她们的选择,否则就不太合适。大多数移植团队设想有一天使用来自活体和已故捐赠者的子宫。
克利夫兰医学中心(Cleveland Clinic)的生殖内分泌学家Rebecca Flyckt博士认为,这真是一个激动人心的时刻。这证明了一个已故捐赠者的子宫确实能用于分娩。达拉斯贝勒大学医学中心子宫移植专家Liza Johannesson博士说,对于整个子宫移植界来说,这是一个非常重要的分娩,是一个里程碑式的诞生。

图1:已故捐赠者的子宫

图2:髂外静脉子宫血管吻合及供体阴道残端缝合至受者阴道的示意图。

图3:再灌注后植入受者的子宫

图4:新生儿出生后的照片

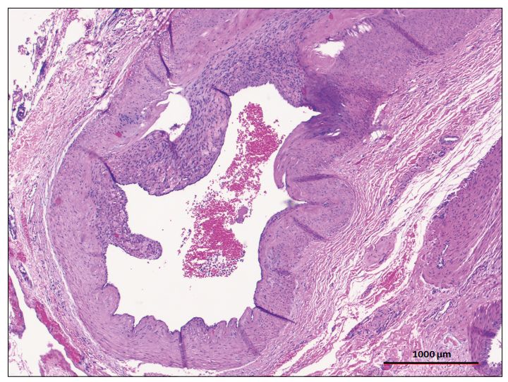
图5:子宫动脉伴轻度内膜纤维增生,无钙化、炎症。子宫动脉的苏木精和伊红(H&E)染色。

表1:受体在子宫移植前的抗体和血清学检查

表2:受者移植住院期间免疫抑制策略

图片:来自STAT
参考文献:
1. https://www.statnews.com/2018/12/04/for-the-first-time-a-baby-is-born-via-a-uterus-transplant-from-a-deceased-donor/
2. DOI:https://doi.org/10.1016/S0140-6736(18)31766-5
3. DOI:https://doi.org/10.1016/S0140-6736(18)32106-8
4. https://www.statnews.com/2016/03/07/uterus-transplant-recipient/?s_campaign=trendmd&utm_campaign=trendmd-internal
5. https://www.sciencedaily.com/releases/2014/10/141007092110.htm?utm_medium=cpc&utm_campaign=ScienceDaily_TMD_1&utm_source=TMD
