葉子口腔科普 今天

做父母的,真的是天天都操着“卖*粉白**”的心。孩子不长牙吧担心他是不是天生没牙;长牙了吧又担心他的牙好不好。
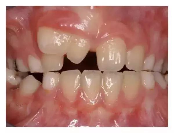
如果孩子长了一些看上去不太正常的牙齿,父母更是万分担心。比如,像这个孩子:

孩子刚长出两颗上门牙的时候,家长发现他的左边牙齿(图中右侧)是正常的,但右边的牙齿看着就像两颗牙齿连在了一起。
家长感到困惑了:这是什么?到底是一颗牙齿还是两颗牙齿呢?其实,真的不好判断。我们需要等到孩子旁边的乳牙也长出来了,才好“下定论”。
一年以后,孩子的其他上前牙也相继地萌出。看图数数,如果把孩子连着一起的牙齿当作是一颗牙的话,孩子正好有4颗上前牙,数目上符合牙齿生长规律。这类型的双牙畸形属于双生牙。

与双生牙形态相似的另一种双牙畸形,叫做“融合牙”。


什么是双生牙?
双生牙其实是一颗牙齿,只是在牙齿发育中,这颗牙齿分裂成为了两颗不同的牙齿。但是他们有共同的牙根或根管,它们连接在一起,共同生长。
双生牙这个词语源自拉丁文geminus,意思是双胞胎。你可以把双生牙想象为两个永久连接的双胞胎。

我们一般用牙齿数量来区分双牙畸形的类型,是双生牙还是融合牙。就像前面提到的孩子,把双牙畸形的牙齿当作是一颗牙的话,孩子正好有4颗上前牙。


什么是融合牙?
融合牙是两颗各自独立发育的牙齿,合在一起变成了一颗牙齿。

像这个孩子的牙齿,图中1和2号牙齿连在了一起,成为了双牙畸形。但这不是同一颗牙齿,这是由侧切牙和切牙两颗不同的牙连在一起了。


为什么会发生双牙畸形?
双生牙和融合牙在白种人的孩子中的发生率在0.5%到2.5%,而在亚洲儿童中更常见,据报道发生率有时超过5%.

一般来说,如果双牙畸形位于上颌的牙齿,它可能是双生牙;如果双牙畸形发现在下颌的牙齿,那么它可能是融合牙。

双牙畸形会发生在恒牙上吗?
虽然不像发生在乳牙那样普遍,双生牙和融合牙也会发生在恒牙。据报道,发生率为大约每250人中就有一例。


畸形的双牙会产生什么问题吗?
双生牙和融合牙可能导致孩子的牙齿拥挤、牙齿之间产生不规则的间距和导致下方的恒牙出现延迟萌出等问题。

正因为如此,当家长发现孩子有一颗双牙畸形存在时候,应该及时看牙医,在医生的定期检查中监控下方的恒牙,以确保它们能正常萌出。
如果恒牙已经到了萌出时间,但畸形的双牙还滞留着,为了让恒牙能正常地萌出,牙医会考虑拔除这颗畸形的双牙。
家长还会担心,双牙畸形在数目上有异常,以后新长的恒牙会不会有缺失?一般来说,很少会出现双牙畸形下面没有恒牙的现象。如果实在担心,只要通过简单的X射线检查就能知道。
还有一点很值得家长注意,由于双牙畸形的形态异常,双生牙和融合牙的两齿之间会有一道深槽。 这个槽很难在刷牙的时候得到有效的清洁,因此容易产生蛀牙。

可以看牙医检查,牙医会考虑用牙科材料把深槽堵上,这有助于防止蛀牙。

畸形的双牙如何治疗?
由于畸形的双牙解剖结构比较复杂,牙医处理畸形双牙的方法也不尽相同。
牙医可能会切割一部分牙齿,并把牙齿边缘修整光滑。
如果是融合牙的话,牙医会通过外科手术把两颗牙齿划分开,因为两颗牙齿通常都有自己单独的牙髓腔和根管系统。一般通过外科手术划分开的两颗牙齿,都需要进行根管治疗。因此这项复杂工程的费用自然也不低。
一般孩子会在9岁左右会换掉前面的牙齿,因此可以选择对畸形的双牙什么都不做,除非它非常影响美观。
还有些家长的做法是——尽情享受它的可爱,那可能是极正确的意见!
图片 | www.google.com
来源 | http://www.oralanswers.com/double-teeth-gemination-and-fusion/
译者 | @vividbilly
编审&排版 | 牙医麻麻Debbie
分享 让更多的家长了解双生牙

投稿、合作、加入:dentalleaf@gmail.com
