在妇产科学中,细针穿刺(Fine-Needle Aspiration,FNA)已获得广泛应用,但是其对于卵巢肿瘤的诊断能力尚不确定。组织学检查是最准确的方式,细胞学检查虽然简单无创,但其准确性存疑,且关于卵巢肿瘤 FNA 细胞学检查的资料较少。
近日,来自伊朗 Shiraz University 附属医院的病理科医生 Maral Mokhatri 和妇产科医生 Zahra Sarraf 对于 FNA 在卵巢肿瘤中的应用进行了一项试验,目的是研究细胞学检查在卵巢肿瘤中的准确率及收集相关的病理资料。这篇文章最近发表于 Acta Cytologica 杂质上。
试验很简单,收集两年时间院内行卵巢肿瘤切除术的病人共 90 例,在术中病变被切除后,马上行 FNA,分别进行病理检查,对照检查结果即可。其中 9 例因为 FNA 收集到的组织太少,无法判断而取消。
病理检查结果如下表:

表 1 病理标本组织学分类

表 2 细胞学与组织学诊断相符的病例(72 例)

表 3 细胞学与组织学诊断不符的病例(9 例)
总准确率 88.9%,敏感性 78.1%,特异性 95.5%。
病理切片及细胞涂片对比:




图1 a 良性的粘液性囊肿细胞学涂片可看到中等细胞涂布,单形性的细胞呈蜂巢状聚集分布,具有蓝/紫色的黏蛋白背景(巴氏染色法 400 倍);b-d 在恶性黏蛋白肿瘤中单个细胞和聚集细胞显示出标志性的异型性及多形性,可看到印戒样细胞分布于肮脏的黏蛋白背景中(巴氏染色法 400 倍)


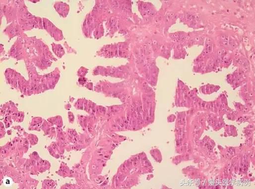
图 2 a 粘液性囊腺癌的组织学切片(HE 染色法 250 倍);b 粘液性囊腺癌的细胞学涂片,可看到乳头状结构、异型性细胞、浓染(染色质增多)及核分裂象,背景为坏死组织(巴氏染色法 250 倍)


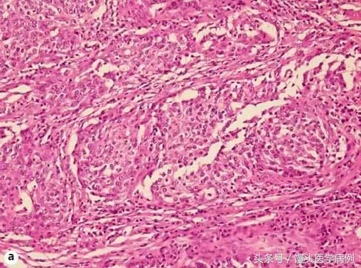
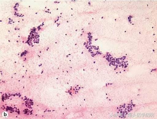
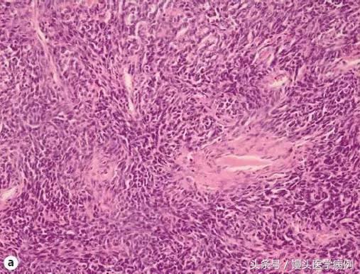
图 3 a 恶性布伦纳瘤组织学切片(HE 染色法 250 倍);b 恶性布伦纳瘤细胞学涂片,可见到许多乳头状细胞簇,落单的异型性细胞,背景为坏死组织(巴氏染色法 250 倍)


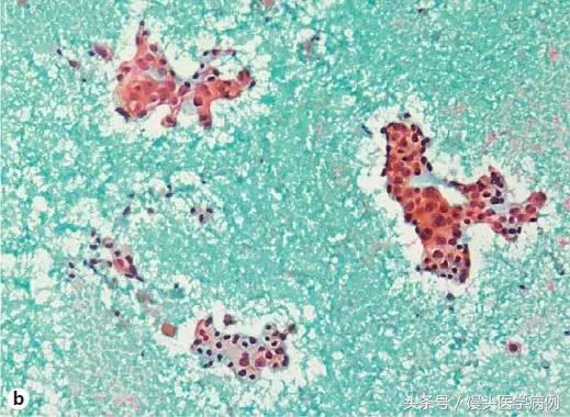
图 4 a 颗粒细胞瘤组织学切片(HE 染色法 250 倍);b 颗粒细胞瘤细胞学涂片,可见到中等细胞涂布,散落的乳头状结构及腺状结构,大量落单卵圆细胞,有凹槽,胞核小,可见到卡埃二氏小体,未见到核分裂象(巴氏染色法 250 倍)


图 5 a 颗粒细胞瘤组织学切片(HE 染色法 250 倍);b 颗粒细胞瘤细胞学涂片,可见到大量落单的圆形或梭形小细胞及散在的肥大细胞(瑞氏染色 400 倍)




图 6
未成熟畸胎瘤。a,b 组织学切片,胚芽细胞混合了成熟腺结构及软骨结构(HE 染色 a100 倍,b250 倍);c 细胞学涂片,鳞状细胞及皮脂形成的团块,背景模糊(巴氏染色法 400 倍);d 细胞学涂片,可见无核鳞状细胞(巴氏染色法 400 倍)


图 7 无性细胞瘤。a 组织学切片(HE 染色法 250 倍);b 细胞学涂片,可见到大量孤立的异型圆细胞,具有囊状细胞核,棘形核仁,背景中有小淋巴细胞(巴氏染色法 400 倍)


图 8 输卵管卵巢脓肿。a 细胞学切片(HE 染色法 250 倍);b 细胞学涂片,可见具有异型浓染细胞核的细胞团(巴氏染色法 250 倍)
作者认为 FNA 最大的意义在于帮助年轻女性保住卵巢。本实验结果提示在上皮性肿瘤组 FNA 辨别良恶性的能力优异,无假阳性出现,阳性预测率 100%。在浆液性肿瘤组,既无假阳性也无假阴性。性索间质肿瘤及生殖细胞肿瘤 FNA 也具有不错的鉴别良恶能力。
FNA 最大的问题是对于囊性肿物,其获取的组织及细胞太少,有时很难辨别。检查结果应结合影像学检查及其他检查手段,综合判断,可提高准确率。
FNA 诊断卵巢肿瘤仍需要更多的数据,但就目前来说,其辨别良恶性肿瘤的能力仍能为年轻女性保留卵巢提供重要帮助。
欢迎关注微博:临床资讯