
最近看诊有不少患者说有嗓子疼、咳嗽、痰多等问题,这是为什么呢?
这些问题多是肺火所致。“温邪上受,首先犯肺”。肺火,身体会有什么反应?
1、大便干结
前面在视频也介绍过,大便不调有时候与肺有关。“肺与大肠相表里”,有肺火后,大便也会不好。
2、咳嗽、痰多
不少人到这一时节容易痰多、咳嗽,可能就是肺火所致。肺气被伤,不能输送津液,使水液停留,可成痰,痰痰贮于肺,肺气不利,痰涌气道而发,就会咳嗽痰多。

3、嗓子疼
4、身体有燥热感
在肺经当令时,容易出现燥热感
若出现上述问题,就要注意养肺清肺了。比如吃些有清肺作用的食物。当然,食疗不能代替药物,若是症状比较严重还需及时就诊辨证施治,以免延误病情。
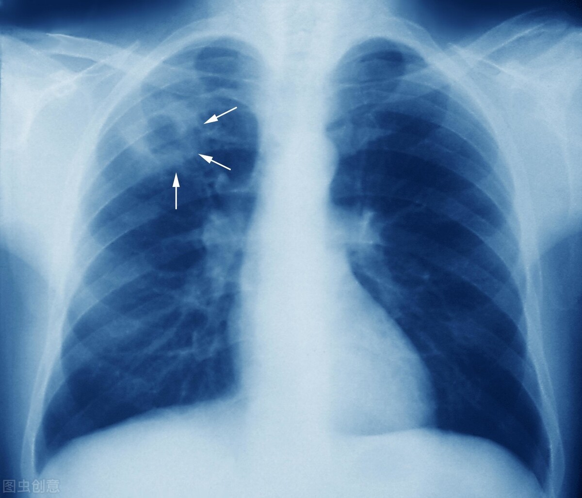
其实关于养肺,中医上有“养命先养肺,肺好百病消”的说法。肺作为人体的第一道防线,一旦我们身体遭受了外邪的入侵,肺脏会第一时间开始运作,这意味着,它也是最容易受到伤害的地方,所以要注意养肺护肺,预防肺部疾病很重要,如肺结节。

肺结节作为一种常见的肺部问题,要重视起来,久而久之疾病也可能恶化,尤其是具有边缘不清晰,有分叶、毛刺、空泡、凹陷以及血管穿行等特征的结节,以及混合结节,都是有较高恶变几率的,要及早调治,莫因为忽视而延误病情。
长了肺结节也不要担惊受怕、过度悲伤,有上述特征的结节恶变几率较高,及早介入是能控制的,而且结节多数是良性的,对待肺结节要战略上重视,心态上藐视。良好的心态是有助于肺结节的防治的。#养肺##发现肺结节怎么办#