前几天有个患者过来复诊,是之前牙髓炎做了根管治疗的!来到就开始跟我诉苦”表示自己后悔得很,之前没听我的劝及时做牙冠,为了省钱和抱有侥幸心理,觉得自己可以很小心地维护好。谁能想到,猝不及防的牙齿就裂开了!“
结果就在复诊的前几天,吃排骨吃得太爽,忘记了牙齿很“脆弱”,一牙咬下去,那颗做了根管治疗的牙齿崩裂了!!!

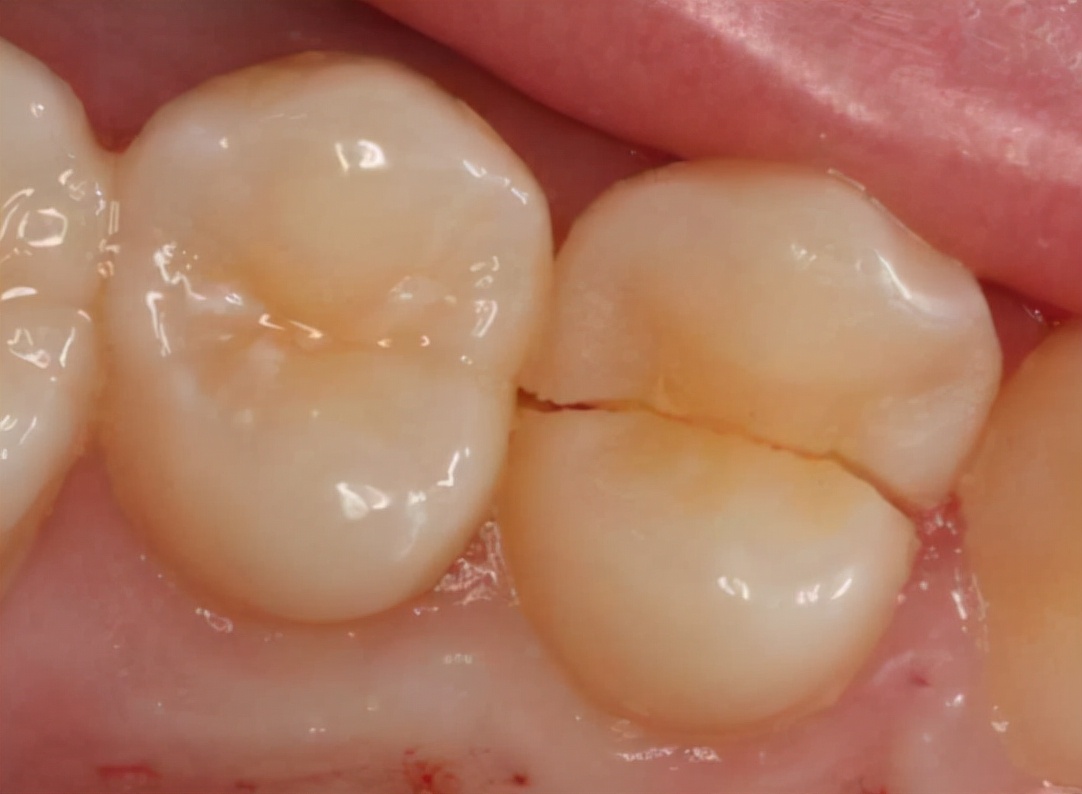
所以,为什么这个做了根管治疗的牙齿,这么脆弱?这么容易崩裂?
因为做了根管治疗的牙齿失去了牙髓的营养供应,在以后的日子里都会比较脆弱!使用的时候需要小心再小心,一不小心可能就裂了,严重者牙齿直接报废,需要拔掉来接受种植牙修复。
所以,这就是为什么说,我们一般对于做了根管治疗的牙齿建议做冠修复的原因,做冠可以给原本脆弱的牙齿多加一层保护,使其使用起来更硬,没有那么容易裂,延长其使用寿命。但最终是否要做,我们还是遵循患者的选择的。

除此之外,做完根管治疗后,还需要注意以下这些事项,患牙的使用寿命才能更久:
1、避免咬硬物。
虽然说做了根管治疗后,牙齿的咀嚼能力也基本恢复了,但是由于失去了牙髓,牙齿没有以前那么坚硬,就算装了烤瓷牙冠,那怎么也比不上自己的真牙。还是要尽量少吃、或者避免用患牙来咬硬物。
2、治疗后短期不适属于正常
刚做完根管治疗的牙齿,因为失活剂的刺激,或多或少会有点不适应的感觉,一般在短期内就能消失,属于正常的。过一段时间后,若牙齿还是会出现不同程度的不适、疼痛甚至是红肿的现象,就要回院复诊了。

3、口腔卫生一定要注意,不能马虎
就算是接受了根管治疗,患牙恢复了健康,但整体的口腔卫生状态是没有发生改变的,若不注意口腔卫生,之后还是有可能出现病症。
所以,做完根管治疗后,不仅需要戴上牙冠加以保护,还要保持口腔卫生,做到早晚刷牙,饭后漱口,养成良好的卫生习惯。

那么最后,还是想跟做过根管治疗的朋友们说一下,做了根管治疗牙齿依然有坏的可能性,我们临床接诊中,很常见很多因为没有做牙冠而导致牙齿劈裂的病例,最后不得不拔掉。
所以,还是要建议彻底治疗后做上冠保护起来才是最好的。