
病例重点
二尖瓣置换术后、长期服用华法林的月经期女性发生急性非ST段抬高型心肌梗死,冠脉介入还是药物治疗?其凝血状态会发生何种变化,如何制定合理的抗栓方案?
病例提供者:苏威 南方医科大学第三附属医院
患者,女,50岁。主诉:胸痛4小时。
现病史
患者入院前4小时无明显诱因出现胸痛,伴双上肢麻木、喉咙紧缩感,可耐受,无呼吸困难、喘憋,无头晕、晕厥,无咳嗽、咳痰、咯血,症状持续1小时后稍缓解。
1小时前就诊于我院急诊,心电图显示: I、avL导联、V5、V6导联ST段压低0.1 mV,Ⅱ、Ⅲ、aVF导联异常Q波。心肌酶谱显示:CK 214 U/ml,CK-MB 33 IU/ml,*NTT**-HS 0.2 ng/ml,入院时患者胸闷、胸痛有所缓解。
既往史
患者2年余前诊断感染性心膜炎,行二尖瓣置换术,术后长期口服华法林,目前华法林3 mg qd,最近复查凝血功能INR:1.86。
有3次脑梗病史,第1次为二尖瓣换瓣术前,后2次为换瓣术后。
有2型糖尿病史4年,目前口服阿卡波糖 50 mg tid、格列齐特缓释片 30 mg qd,自诉血糖控制可。高脂血症史1年余,口服阿托伐他汀 10 mg qn。
20余年前因甲状腺结节行甲状腺次全切手术,1年余前辅助检查提示甲状腺功能亢进,目前口服甲巯咪唑 5 mg qd、左旋甲状腺素片 25 μg qd。有输血史,否认食物、药物过敏史。
否认吸烟、饮酒史。月经史:13岁,7~15天/26~30天。入院时为月经第1天。
体格检查
体温:36℃,脉搏:70次/分,呼吸:18次/分,血压:122/86 mmHg。胸骨正中可见手术瘢痕,双肺呼吸音清,无干湿性啰音。心率:70次/分,律齐,二尖瓣听诊区可闻及金属开瓣音,余瓣膜听诊区未闻及病理性杂音。腹软,无压痛,双下肢无浮肿。
辅助检查
(2016.09.23)CK:214 U/ml,CK-MB:33 IU/ml,*NTT**-HS:0.2 ng/ml。(2016.09.24)CK:406 U/ml,CK-MB:58 IU/ml,*NTT**-HS:0.62 ng/ml,MYO:225.1 ng/ml。
(2016.09.25)CK:242 U/ml,CK-MB:48 IU/ml,*NTT**-HS:0.866 ng/ml,MYO<21 ng/ml。(2016.09.26)CK:104 U/ml,CK-MB:9 IU/ml,*NTT**-HS:0.095 ng/ml,MYO:43.43 ng/ml。
心电图:



诊断
1、冠状动脉粥样硬化性心脏病,急性非ST段抬高型心肌梗死,心功能II级(killip分级);2、感染性心内膜炎,二尖瓣置换术后;3、2型糖尿病;4、高脂血症;5、甲状腺功能亢进症;6、陈旧性脑梗死。
风险评分
Grace评分:83.4
Crusade评分:39
治疗经过
术前用药:患者长期服用华法林 3 mg qd,故予以氯吡格雷 300 mg顿服。
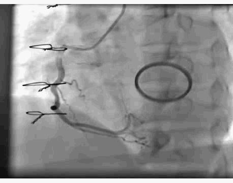
冠脉造影显示:左主干未见明显异常,前降支近中段动脉硬化,未见明显狭窄及血栓,远端血流TIMI 3级,回旋支全程可见散在斑块,近段局限性狭窄约50%,远段血栓影消失,远端前向血流TIMI 3级。
右冠脉动脉硬化,近中段可见多处局限性斑块病变轻度狭窄,远端血流TIMI 3级。 结论:符合冠心病、急性心肌梗死改变,目前回旋支远段血栓自溶,未见明显狭窄病变,暂不予以支架植入。
术后用药:氯吡格雷 75 mg,qd,阿托伐他汀 10 mg qn,华法林 3 mg qd。
阿卡波糖 50 mg tid,格列齐特缓释片 30 mg qd,左甲状腺素钠片 25 μg qd,甲巯咪唑 5 mg qd,酒石酸美托洛尔 25 mg bid。叶酸 5 mg qd,多维铁口服液 10 ml tid。
随访期间,患者规则服药,未再出现胸闷、胸痛症状。
主要造影结果



临床思辨
患者,50岁女性,此次发病为月经第1天。根据胸痛症状、心电图改变以及冠脉造影结果,诊断急性非ST段抬高型心肌梗死明确。
虽绝经前女性心肌梗死较为少见,但患者有糖尿病、高脂血症等冠心病危险因素,加之月经期凝血状态异常、雌激素水平波动,亦可出现急性血栓形成,导致冠脉堵塞。
患者入院时已无胸闷、胸痛症状,血常规提示血红蛋白为83 g/L,考虑为长期口服华法林、平素月经量大、长期慢性失血所致。
为避免冠脉介入治疗过程中大剂量抗凝药物的使用导致月经量进一步增加及凝血功能状态严重异常,故未在月经期间予以支架植入,仅在华法林基础上联合抗血小板治疗,并密切观察,拟月经期结束后择期冠脉介入治疗。观察期间,患者未出现胸闷、胸痛等症状。
月经期结束后复查冠脉造影显示,回旋支远段血栓影消失,远端前向血流TIMI 3级。
回旋支远段血栓自溶,考虑为抗凝、抗血小板作用及患者月经期凝血状态、雌激素水平改变共同影响。处于月经期女性发生急性心肌梗死,若病情平稳应如何处理,目前指南并没有明确推荐。
此类患者应考虑到溶栓或PCI可能所致的大出血,合理使用抗凝、抗血小板药物,密切观察,择期介入治疗处理冠脉病变不失为合理选择。
用药小贴士
2017年8月,ESC新版冠脉疾病的双联抗血小板(DAPT)治疗指南发布。
指南中指出:对于有口服抗凝治疗指征的患者(存在高缺血风险,或其他解剖学特征使得缺血风险高于出血风险),应考虑应用三联抗栓治疗(阿司匹林、氯吡格雷和OAC)1至6个月。同时不建议在这类患者中使用替格瑞洛或普拉格雷。