鼎植口腔永博门诊部传出了阵阵爽朗的笑声,4岁小朋友王奕馨笑着说:我的牙齿真漂亮!王奕馨小朋友开心的笑声传入了永博门诊部每一位医护人员的心中,客户满意就是对我们“鼎植人”最好的评价。
今年9月份,王奕馨小朋友在家人的陪同下来到鼎植口腔永博门诊部。近1年来家长发现王奕馨小朋友上门牙出现了蛀洞,而且逐渐增大,严重影响到了小朋友的美观。

位于人民广场的鼎植口腔上海永博门诊部
在听说了鼎植口腔对儿童口腔矫治很有经验后,王奕馨小朋友的家长便慕名来到了家附近的鼎植口腔永博门诊部。鼎植口腔儿牙主任委员王雯倩医师热情接待了王奕馨小朋友一家,在听完家长对病情的讲述后,就开始对王奕馨小朋友的口腔进行内外检查。

在常规检查时王雯倩医师发现王奕馨小朋友“侧面观面下1/3前突”,这就说明小朋友的口腔问题肯定不只是蛀牙这么简单。
在口内检查后,王雯倩医师发现小朋友的“口腔卫生欠佳、磨牙颊侧软垢附着”,而且还有“前牙反合的症状”。前牙反合多由于牙齿萌出或替换过程中的局部障碍所至,常表现为单纯的前牙反牙合,这是由于不良的口腔习惯所导致的。

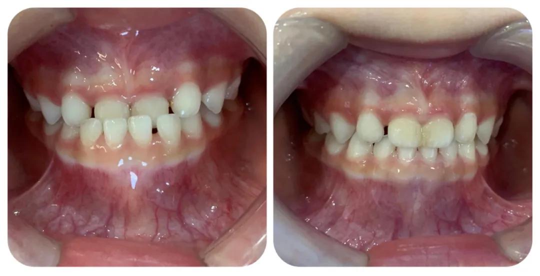
治疗前 治疗后
在了解了口腔问题后王雯倩医师就为王奕馨小朋友安排了治疗方案,向王奕馨小朋友的家人介绍了鼎植专为儿童口腔问题准备的“ETA”(儿童牙齿早期矫治器),ETA是全球首款个性化定制生产的硅胶矫治器。它根据儿童口腔生长发育规律,依据咬合诱导和正畸的理论,在矢状向、垂直向、横向3个方向,针对处在生长发育中并存在个体差异的错颌畸形,进行个性化的矫治方案和矫治器设计,最大程度的利用生长发育的潜力,在保证矫治过程安全、舒适的情况下,争取最佳的矫治效果。
佩戴一个半月后王奕馨小朋友的“前牙反合”便成功纠正,蛀牙消失。
儿童口腔问题影响着孩子的一生,作为家长务必定期检查孩子的口腔健康。避免耽误孩子的未来,鼎植口腔特色项目“鼎适儿牙”,专门设置了充满童趣的儿童诊室,并结合“鼎适牙科”的国际化高科技口腔镇静、镇痛设备,使儿童产生愉悦情绪,消除儿童恐惧,在舒适的诊疗环境中,不知不觉地、身心愉悦地轻松完成牙齿治疗。
鼎适儿牙还会为宝宝们建立牙齿健康档案,追踪宝宝牙齿成长,定期提醒、时刻关注宝宝牙齿健康,绽放灿烂笑容!