近日,我科在华西医院段宏教授指导下成功完成国内首例AR辅助股骨颈肿瘤精准治疗手术。手术时间短,精准定位,更好地减少失血和软组织损害以及术后疼痛。
患者邓某某,2年前因“左侧大腿疼痛”在当地医院就医考虑“股骨颈肿瘤”,在当地医院行手术治疗。

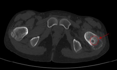
第一次外院手术后图片
近期,邓某某疼痛明显加重到我院就医,检查结果提示左侧股骨颈肿瘤样病变。

我院术前图片
由于邓某某年龄较小,骨骺未愈合,手术难度大,如若进行切开手术治疗,手术创伤较大,还不一定能找到肿瘤。同时,邓某某左侧股骨颈肿瘤位置距离骨骺线较近,若不能精准定位,极易破坏骨骺线,导致患肢停止生长。对于肿瘤侵犯左侧股骨颈,肿瘤继续生长危害极大,肿瘤切除仍然是治疗的关键。考虑到患者的实际情况,与家属沟通后,在华西段宏教授指导下我科为患者成功进行了国内首例AR辅助股骨颈肿瘤精准治疗手术。



AR技术是把患者医学影像重建后的虚拟模型与真实世界相融合,运用光学显示技术、人机交互技术、位置坐标跟踪、标定、注册等前沿科学技术,为使用者提供一个全方位、多角度、沉浸式、可交互的操作体验。并且可以将虚拟信息与现实场景信息进行对位匹配,在手术中可以精准定位病灶位置,为医生提供更轻松、迅速和安全地手术辅助形式,对患者来说,可以大大减小手术对患者的伤害。
医生和病人都知道,在手术中,精度非常重要。而现在,AR可以帮助外科医生提高手术的效率。无论是进行微创手术,还是定位骨与软组织肿瘤,AR医疗技术都可以帮助医生挽救生命,为患者提供无缝治疗。

段宏,临床医学博士,生物医学博士后,四川省第四人民医院沙河院区骨二科学科主任;四川大学华西医院骨科主任医师,教授,一级专家,博士生导师。
医疗专长:四肢骨与软组织肿瘤的诊断、治疗及基础研究,骨关节创伤和肿瘤计算机辅助手术,四肢复杂骨折缺损及骨盆骨折内固定手术。
擅长:①肿瘤人工关节(髋、膝、肩、肘)置换术,人工肩胛骨和半骨盆置换术以及骶骨肿瘤切除和重建技术。②疑难骨与软组织肿瘤性疾病的诊断和治疗。③复杂肢体骨折缺损及骨盆骨折内固定手术。
研究方向:1、四肢和骨盆的骨与软组织肿瘤和肿瘤样病变的诊断和治疗研究。2、骨科生物力学、骨科内固定器械、多模态影像重建、3D假体设计和生物材料相关应用研究。3、促骨生长因子、抗结核、抗肿瘤药物缓释制剂相关研究。
段宏教授出诊时间:
△ 四川省第四人民医院沙河院区骨二科:
每周二(下午15:00-16:30)
每周五(上午10:00-11:30)
门诊地址:成都市锦江区岷江路1666号四川省第四人民医院沙河分院

旷甫国 副主任医师
四川省第四人民医院骨二科主任
先后在华西医院、四川省人民医院、北京宣武医院进修学习骨科理论知识和手术操作规范
四川省整形美容协会常务理事
四川省医师协会烧伤整形委员会委员
四川省康复协会委员
成都市医学会骨质疏松委员会委员

苟亚伟 主治医师
2006年毕业于西南医科大学(原泸州医学院),毕业后一直从事临床骨科,擅长四肢创伤骨折,胸腰椎骨折及四肢慢性骨病手术治疗,并可行现代康复治疗技术、治疗急慢性颈肩部腰腿痛相关疾病、骨折术后康复、人工关节置换术后康复综合治疗,2018年师从华西医院骨科一级专家段宏教授学习骨肿瘤专业。

巩春甫 医师
2012毕业于成都医学院,毕业后一直从事临床工作,2015年于成都市体育学院附属医院进修学习运动医学,2016年1月—2016年6月赴德国Johanna Etienne Krankenhaus进修学习关节镜、关节置换、关节翻修等专业,2019年师从华西医院骨科一级专家段宏教授学习骨肿瘤专业,擅长常见骨病、关节、创伤疾病的诊断与治疗,擅长脊柱、四肢原发骨肿瘤及转移性骨肿瘤的诊断与治疗。

赵礼雄 主管康复治疗师
2013年毕业于成都中医药大学,毕业后一直从事骨科临床及康复诊疗工作,擅长运用现代物理治疗技术与传统康复技术相结合治疗颈肩腰腿疼、骨折术后康复、关节置换后的康复,脑血管后遗症的综合康复治疗,尤其擅长对各种顽固性的慢性疼痛综合诊疗。
四川省康复医学会教育委员会 委员


杨传俊 副主任护师
外三病区护士长、外科片区护士长、伤口造口专科护士
从事临床护理30年,护理管理18年
成都市护理学会外科护理专委会委员
四川省康复医学会脊柱脊髓专委会护理组委员

孙一玉 主管护师
外三病区副护士长、从事临床护理15年