黑热病(Kala-azar),又称内脏利什曼病(Visceral leishmaniasis),临床表现为长期间歇性发热、贫血、消瘦、脾脏肿大、白细胞减少等,如不能及时有效治疗,超过95%的病例会导致死亡。

该图片来自于网络
2020年3月,北京大学国际医院急诊科接诊了一例发热患者,男性,50岁,山西阳泉人,于北京某超市经营面食3年,近一周体温40-41℃,高热每日可持续10小时甚至更长时间,但热退后如常人。起初因为新冠肺炎疫情影响,患者没有外出就医,自服退热药,体温控制良好,近3天退热药效果欠佳,于是来医院就医。

该图片来源于网络
患者除了发热,还有腹泻。医生给予抗感染治疗一周后,患者的体温不但没有下降趋势,反倒化验指标开始恶化,出现了白细胞下降,粒细胞缺乏,严重贫血,血小板也严重降低,只剩2.1万,D-二聚体明显上升,至43268ng/ml,降钙素原高达17.25ng/ml,影像学提示脾大,患者发生了严重的噬血细胞综合征表现。请专科会诊后行骨髓穿刺并活检,未发现异常,但外周血CD64指数148,严重高于正常,结合骨髓培养提示缓慢葡萄球菌阳性,专科考虑严重感染,并提示有可能导致感染性休克、各种脏器出血、弥漫性血管内凝血等,最后可能导致死亡。患者确定是严重感染吗?还有治疗希望吗?

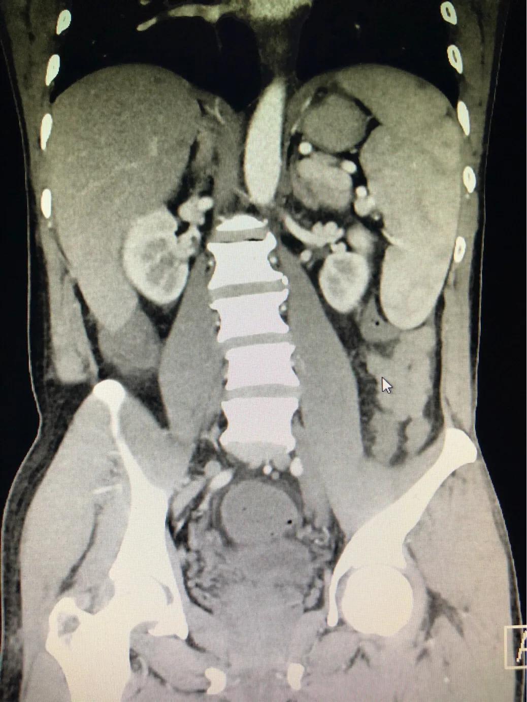
该图片提示脾脏增大
急诊科田兆兴主任医师分析,虽然患者辅助检查多项指标提示严重感染,但临床表现与化验指标不符,如患者高热时体温可达到41℃,但热退后如常人,没有严重感染性疾病脓毒症持续存在的表现,寒战、高热、大汗、热退、恢复正常,该规律更符合寄生虫病的感染表现,虽然两次疟原虫检测阴性,但不除外其他少见寄生虫病可能。急诊科邓慧杰大夫建议,“可否送检NGS(Next-Generation Sequencing,二代测序)进一步筛查病原微生物?”,“同意!”。三天后NGS结果回报,利什曼原虫感染,即“黑热病”。黑热病在20世纪50年代后已经很少被见到,这个病甚至在教科书中都会被忽略。NGS会有误差吗?诊断会有错误吗?

该图片提示脾脏增大
为了进一步验证,邓大夫联系了北京友谊医院热带病研究所栗绍刚主任,并完善了血清学检查,提示黑热病抗体阳性。
翻阅文献,查找专著,决定给予患者两性霉素B治疗。但3天后患者体温仍然处于39℃以上,且出现粒细胞缺乏。治疗有问题吗?
田兆兴电话咨询了复旦大学附属华山医院感染科主任张文宏教授,张教授同意患者“黑热病”的诊断和目前治疗,并且结合自己以往治疗黑热病经验,传授了多个治疗技巧和注意事项。治疗第5天,患者体温降至正常。

该图片来源于网络
黑热病又称内脏型利什曼病,是由利什曼原虫感染的一种寄生虫病,通过白蛉叮咬人类或哺乳动物导致传播,一般潜伏期10天至1年不等。WHO报道,每年全世界有150万至200万新发病例。新中国成立后国家十分重视黑热病的防治工作,于1958年基本消灭了黑热病,但近些年,黑热病死灰复燃,*疆新**维吾尔自治区、甘肃省、四川省、内蒙古自治区、陕西省、山西省成为流行区。查阅文献,北京近3年未见黑热病病例报道,该患者为近年首例。

该图片来源于网络
五价葡萄糖酸锑钠注射剂为治疗黑热病的首选药物,如果非流行区锑剂采购困难,可采用戊烷脒或两性霉素B等药物进行治疗。
本文作者 邓慧杰 田兆兴