(医患家特约作者:天津医科大学第二医院感染病研究所 贾医生)
咳痰带血是一种较为常见的呼吸道症状,包括痰中有粉红色泡沫、淡红色血丝、铁锈色血丝及鲜血、血块等。咳血原因多样且复杂,虽不必过度恐慌,但也要引起足够重视,不同痰的性状可以帮助我们对很多疾病做到早期发现。

一、机械性损伤
初次或仅几次突然咳痰、咳嗽排出鲜血,首先要排除气管及整个呼吸道的创伤可能。患者要及时告知医生是否有胸部、咽喉部遭*力暴**创伤、击打,是否近期做过手术、气管镜检查等,有助于及时查找损伤点进行止血。部分患者还可能因呼吸道钙化灶点、支气管结石活动给气管壁造成机械性损伤。以上疾病经过止血处理基本可以很快缓解症状。
二、青壮年咳血痰
青壮年血痰的病因以急性炎症性疾病为主,如急性支气管炎、肺炎、肺结核、肺脓肿等。患者除咳血痰外常伴有咳脓痰、黏液痰,胸痛、高热、白细胞增高等感染症状,通过拍胸片、痰培养可以确诊病因进行治疗。此外要注意近年来结核疾病又有高发趋势,而肺结核病人中约有50%有咳血症状,需要尽早发现,进行隔离。

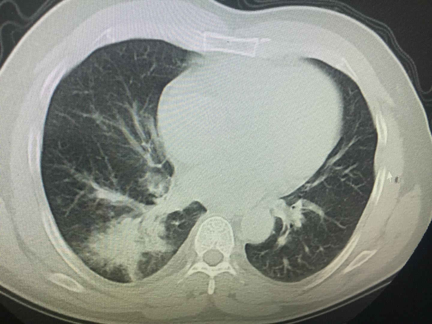
三、老年人及免疫力低下、有基础病人群咳血痰
1、呼吸系统疾病
常见慢性支气管炎、肺炎、肺脓肿、支气管扩张、肺真菌病、肺癌等。患“老慢支”病人一般痰中血量小,但反复发作。肺炎、肺脓肿多起病急,有寒战高热伴胸痛,咳大量脓血痰,待病程结束后也可缓解。肺真菌病常见免疫力低下、长期使用抗生素的患者,咳嗽、血痰伴发热乏力,可以通过血清反应或发现真菌菌丝确诊。肺癌患者中,持续异常呛咳,伴咳血痰、咳血是早期甚至第一症状,及时就医,拍片排查有助于尽早发现癌症病灶。

2、心血管系统疾病
如心衰、风湿性心脏病、二尖瓣狭窄、肺栓塞等疾病,心脏功能衰竭,肺部静、动脉及小血管高压,肺组织充血,会引起血管壁破裂渗血。肺心病特征为粉红色泡沫样痰,患者应注意坚持服用药物,控制血压、增强心肺功能及利尿排水,减轻心肺负担。急性肺栓塞除咳痰咳血外,患者还伴有胸痛、胸闷、烦躁多汗、呼吸困难等体征,及时拍胸片发现栓塞位置可以帮助抢救。
四、出血性疾病及耳鼻喉相关疾病
某些血液病,如血小板减低、无力,出血性紫癜,血友病,白血病等,也会引起呼吸道出血,咳嗽时会加重血管破裂,咳鲜血痰。但此类患者多伴有其他部位如牙龈出血、鼻血、皮肤出血点等症状,一旦出血后止血困难,提示进行血液病筛查。
部分患者除咳血痰外,伴有鼻腔后部分泌物增多,流入咽部,咳出血性分泌物,伴流涕、鼻咽部疼痛、声嘶,这类患者需要到耳鼻喉科排除鼻咽喉部疾病(如鼻咽癌、喉癌)的可能。
五、少见及易被忽视的咯痰咳血原因
部分老年患者长期咳痰咳血,但不伴有其他任何不适症状,被认为“不明原因咳血”。经观察发现,部分老年人因毛细血管硬化,导致舌后方小血管扩张、渗出引起血痰。此类病人多见睡醒后咳血痰,暗红带血丝但无泡沫,无其他病变,但有眼底、脑血管等部位的动脉硬化及微循环障碍,出血量较多的患者经冷冻止血治疗后效果极佳。
与女性月经周期相关性咳血、咯血、流鼻血等现象虽少见但也有发生,可能是子宫内膜异位导致其他器官周期性出血替代月经,也需引起注意。
不论是反复长期咳血痰还是突发单次发病,都应引起足够重视,做到疾病的早诊断、早治疗,避免其进一步加重。