怎么样才知道自己什么时候排卵 (如何判断自己什么时候排卵)

正常情况下,育龄女性在每个月经周期,会排出一枚成熟的优势卵泡以备受孕,正在备孕的夫妻想要一击即中,需要练就一双“火眼金睛”找准排卵期!想知道自己排卵的准确时间么?如何测?

怎么才能知道什么时候排卵,怎么样才知道自己什么时候排卵

中山三院生殖中心推出 【春暖花开】系列幸孕科普文章,在疫情期间指引大家科学助孕,为每一位朋友,每一个家庭带来好孕。

首先,我们一起来了解卵泡到底从哪里来:

女性在胎儿时期卵泡数量就固定下来了,出生时有数百万个原始卵泡,青春期前卵泡不断退化、减少,到了成年卵泡只剩约30万个。

青春期后,女性每个月经周期将有一批卵泡发育、并有一个卵子成熟、排出。但每位女性一生排出的卵子有限,只能排出400~500个卵子。

怎么才能知道什么时候排卵,怎么样才知道自己什么时候排卵

从卵泡到卵子的发育过程:

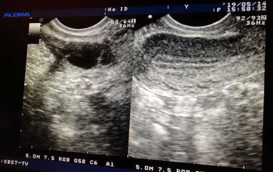
卵子是在卵泡里面的,卵子和周围的卵泡细胞构成卵泡,卵子直径约为0.2mm,肉眼不可见,医生一般通过B超观察卵泡发育情况来预测排卵。

卵泡发育有一个周期,一般情况下与月经周期一致。

大致发育过程:

卵泡募集→卵泡发育→形成优势卵泡→卵泡成熟→排卵→黄体

怎么才能知道什么时候排卵,怎么样才知道自己什么时候排卵

如何修炼测排卵的火眼金睛?

“量、算、感、看、验、测”总有一款适合你~

1、基础体温测量法(双相型,表示有排卵)

2、月经周期推算法(下个月经周期的第一天往前推14天,注意只适用于月经规律者)。

3、排卵期疼痛感受法(但不是每个人都会疼痛)

4、宫颈黏液观察法

5、排卵试纸检测法

6、超声监测法

哪种测排方法才最准确?

超声监测法是准确可靠的,它最能客观反映卵泡生长发育状况,观察是否有排卵,并同步反映子宫内膜的发育状况。

而且 阴道超声相对于腹部超声监测排卵更好,因为阴道超声探头更接近子宫和卵巢,分辨率高,更准确。

怎么才能知道什么时候排卵,怎么样才知道自己什么时候排卵

哪些女性需要超声卵泡监测?

不孕患者,尤其是出现月经失调、闭经的患者,需了解卵泡发育情况。

习惯性流产(复发性流产)患者:需要了解其卵泡生长发育及黄体形成情况,对判断流产的具体原因及治疗起到重要作用。

在促排卵及超促排卵(IVF)过程的女性,需要监测卵泡大小、多少,有无过度刺激等。

还有 多囊卵巢综合征患者~

B超卵泡监测应该什么时间做?

月经周期规律者

B超卵泡监测大约要3-4次,根据医生安排的时间来测,第一次在月经第2-4天的时候测,然后根据卵泡大小,来确定几天检测一次。

卵泡<14mm ,每3天左右监测1次

卵泡≥14mm,每2天监测1次

卵泡≥ 16mm,每1-2天监测1次

同时要结合尿LH或血激素水平判断排卵时间,指导同房;如果最大卵泡消失,提示已发生排卵,无需再监测。

怎么才能知道什么时候排卵,怎么样才知道自己什么时候排卵

月经周期不规律者

第一次在月经第2-3天监测,因为卵泡期与月经期不能确定,所以医生会根据卵泡大小间断或持续长时间监测。

到月经第25天左右,如果未见卵泡生长,则停止这个周期的监测,考虑不排卵的情况。

怎么判断卵泡长得好不好?

1、“身高”要合适

成熟卵泡大小为18-25mm,卵泡太小就排卵不易受孕,就算受孕也可能发育不良甚至流产;卵泡过大不破裂,失去排卵功能,会发生黄素化。

2、“体型”要圆润

优势卵泡一般都比较圆润、饱满,如果扁扁的,无膨胀感,就提示卵泡发育不太好。

3、“独苗” 要优势

有人认为,多卵泡发育可以怀多胎,事实上,多卵泡发育无优势卵泡,可能是内分泌紊乱造成,如多囊卵巢综合征,卵泡长不大,长不好,很难正常排卵与受孕。

什么时间同房成功率更高?

相比于精子2-3天的寿命,卵子寿命就短了,最长只有48小时寿命,在排出后24小时以内受精能力最强。备孕的准爸妈如果想要受孕,最好在卵子排出之前开始造人,以便于精子先生不会错过卵子小姐。因为卵子与精子相遇、结合都必须在卵子排出的48小时内完成。

为何排卵正常还是无法受孕?

怎么才能知道什么时候排卵,怎么样才知道自己什么时候排卵

卵泡周期性发育并排出正常卵子;精液正常并含有正常精子;卵子和精子能够在输卵管内相遇,并结合成受精卵;受精卵能够被顺利地输送进入子宫腔;子宫内膜已充分准备,适合于受精卵着床——是受孕的必备条件,缺一不可。

任何一个出现问题都会影响受孕,因此建议 正常排卵却无法受孕的女性,应及时和丈夫到生殖中心排查不孕因素。

这种情况下如何选择助孕方式?

女方输卵管通畅,可进行促排卵或促排卵人工授精,若输卵管阻塞可直接选择试管婴儿。

男方精液轻中度异常可进行人工授精,若是精液重度异常可直接进行试管婴儿。

怎么才能知道什么时候排卵,怎么样才知道自己什么时候排卵

如存在子宫内膜异位症,子宫肌瘤或子宫畸形等影响受孕的因素,妇科和生殖科医生会根据患者情况,共同商讨是先助孕或者先手术治疗。

若备孕夫妻,在尝试几次自然受孕都失败时,最好到生殖中心进行一个全面的检查,尽早查明原因及早治疗,同时选择合适自己的助孕方式,好孕就会到来啦~#备孕科普# #备孕百科# #怀孕那些事儿# #排卵日#