今年40出头的郑先生
是个老烟枪,且平时不注意口腔卫生
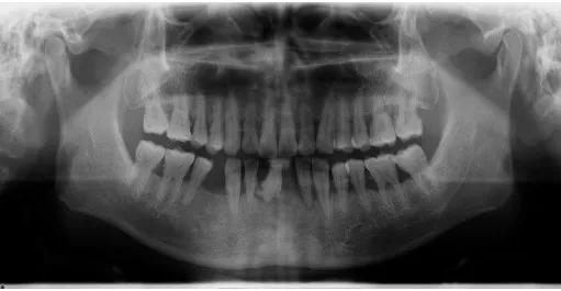
好多颗牙齿都松动了
吃东西都受影响
于是来苏州科技城医院口腔科就诊
医生检查发现,原来郑先生得了
慢性牙周炎

前牙多颗牙因牙周组织破坏严重
只能拔除
余留牙通过口腔卫生宣教
牙周基础治疗(洁牙,刮治等)
牙周手术治疗
及牙周维护治疗等牙周炎症控制稳定
预后较好

牙周炎主要是由局部因素引起的牙周支持组织的慢性炎症。发病年龄以35岁以后较为多见。如龈炎未能及时治疗,炎症可由牙龈向深层扩散到牙周膜、牙槽骨和牙骨质而发展为牙周炎。

牙周炎的早期症状大多表现为
牙龈发红、出血、肿胀
逐渐进展后会导致牙齿周围牙槽骨的吸收变少
牙龈退缩明显
最终导致牙齿的松动、移位,甚至脱落

因为牙周病的主要是由
牙周附着的细菌感染引起
所以良好的口腔卫生维护
可以很好的预防牙周炎的发生
01
刷牙
刷牙方法:推荐巴氏刷牙法 建议一天2次,每次至少2-3分钟
正确的刷牙方法,保证足够的刷牙时间和频率比选择牙膏牙刷更重要
02
牙间隙清洁工具
刷牙只能清洁70%的牙面,所以必须配备清洁牙间隙的工具。
牙线:建议每餐饭后使用牙线,至少全口牙间隙每天清洁一次;
牙间隙刷/牙缝刷:对于有牙龈退缩明显,有牙缝增大的牙周炎患者,建议根据牙间隙的大小使用牙缝刷;
冲牙器:可以去除牙间隙非附着的菌斑软垢,但对已附着在牙面的菌斑不能彻底清除,但对于因正畸治疗戴托槽及做固定桥修复无法使用牙线的患者,建议使用。

03
洁牙/洗牙
因为沉积在牙面的菌斑及沉积物钙化后会形成牙石,牙石无法通过刷牙等日常口腔卫生维护的方法去除,所以每年定期的洁牙是必须的,有许多人认为洁牙会导致牙齿的松动或者损伤的说法是不对的,可以根据自身牙结石的情况,每年定期到正规的医疗机构洁牙1-2次。
口腔科胡永主任提醒
建议出现牙周炎症状的患者早发现早治疗
因为牙周炎导致的牙齿周围骨质的破坏
是一个不可逆的过程
发现的越早,治疗的越早,相对预后较好
重度牙周炎的患者即使经过完善的牙周治疗
远期预后也较差,最终可能只能拔除患牙

胡永
科副主任(主持工作)、副主任医师、口腔医学博士
医疗特长:微创拔牙等牙槽外科,口腔颌面部创伤、感染、良恶性肿瘤综合治疗,口腔颌面部先天畸形及后天缺损修复。熟练应用多个种植系统,完成单牙、多牙、全口及各类组织缺损种植修复。牙体牙髓牙周疾病、口腔黏膜病、儿童口腔疾病规范治疗;牙体缺损、牙列缺损、牙列缺失修复治疗。
学术兼职:中华口腔医学会会员;江苏省口腔医学会第四届口腔全科医疗分会委员;江苏省整形美容协会面部年轻化分会副主任委员。