作者:付虹大夫
生殖内分泌门诊,27岁的涓涓体型苗条,面容姣好,只是神色忧郁。

“付医生,我的月经最近两年都不太听话了,先后化验血查过两次性激素,医生说两次性激素中FSH值都高,是卵巢功能不好的表示,我还这么年轻,是不是要卵巢早衰了?”
仔细了解,我知道了涓涓平素月经规律,最近两年月经周期30~45天来一次,经期7天,重度痛经,需要止痛针止痛。有*生活性**史,没有怀过孕。

给她常规查体未见异常,她没有多毛、*疮痤**,体质量正常。
去年11月27日,涓涓查的性激素中:FSH(促卵泡激素):10.40IU/L,PRL(催乳素):36.9ng/ml,20天前复查FSH(促卵泡激素):10.10IU/L,PRL(催乳素):15.2ng/ml(正常)。

性激素六项检查也称基础内分泌,可以反映女生月经周期各个阶段卵巢的情况,具体而言月经见血第2~4天的激素反映卵巢的储备功能,排卵前的激素水平反映卵子的质量;排卵后的激素反映黄体的情况。

性激素六项检查都有哪六个神秘成员?它们分别是是对卵泡刺激素(FSH)、黄体生成素(LH)、雌二醇(E2)、孕酮(PROG)、睾酮(TEST)及催乳素(PRL)这六兄弟进行血液含量测定,用此来判断受检者的生殖系统和内分泌系统功能是否正常。
有的朋友会单纯发过来一个数值问付虹医生是否正常,女生要知道除了在月经周期的不同阶段激素的数值的正常范围不同外,其中雌二醇:1 pg/ml =3.67pmol/L,孕酮:1 ng/ml =3.18 nmol/L,它们的单位也是不同的哦!
其中卵泡雌激素(FSH)有啥用?有大用!FSH生理作用促进卵泡成熟及分泌雌激素。而卵泡长好了,女生的月经才会正常。

涓涓就是选择的在经期2~4天抽血查的性激素,这属于早卵泡期,其中FSH在卵泡早期处于低水平,具体正常数值FSH<10IU/L。FSH/LH(黄体生成素)比值为1~2。E2(雌二醇)为20~50pg/Ml。泌乳素(PRL)低于25ng/mL,最好低于20ng/mL。孕酮(P)<1ng/mL。睾酮(T)<0.75ng/Ml(或参考值的正常值高线,每个医院不一样)。
如果FSH>10 IU/L,也就是涓涓的情况,或者FSH/LH(黄体生成素)>3,提示卵巢功能下降,FSH/LH<1,于是有可能排卵不规律。
两次PRL>25ng/mL,提示高泌乳素血症。涓涓PRL第一次>25 ng/mL,第二次复查PRL<25 ng/mL,属于正常。
睾酮(T)>正常值高线,提示高雄激素血症;T接近正常值低限,提示卵巢功能下降。
我们常说的卵巢功能,其实是指卵巢储备功能,是决定着女生生育成功与否的关键因素。

花开堪折终须折,莫待无花空折枝。我们可以选择恋爱的年龄,可以选择结婚的年龄,却无法选择卵巢的年龄。
春去秋来,伴随着女生年华的老去,卵巢功能也从“黄金年华”迈向“黄昏”,因为年龄是影响女性卵巢储备功能的重要因素,35岁以上女生的卵巢储备功能下降,生育能力也逐年下降。具体而言就是卵泡的数量急剧下降,卵母细胞的质量下降,出现卵子细胞核异常,其颗粒细胞的增殖率也下降,凋亡率同时升高,黄素化颗粒细胞经培养后产生的激素水平也急剧下降。

38岁以后的女生呢?卵泡的闭锁加速明显,临床更呈现出低妊娠率少,高流产率,低分娩率的情况。
卵巢储备功能低下者的生育能力低下,其自然受孕的概率自然低,尤其是FSH>20U/L者,自然受孕的机会
卵巢储备功能低下所带来的主要问题是生育问题,“生娃要趁早”,因此妇产科医生经常苦口婆心的劝每位女生适龄结婚和适龄生育。最好在30岁左右完成个人的婚育问题,最晚不要超过35岁。
如何判断自己是否出现卵巢储备功能低下了呢?
涓涓说的没错,性激素是其中的一项检查,除了性激素六项,还有AMH或超声检测窦卵泡发育情况等。
女生自测最简单的方法是月经周期变化。绝大多数女生的月经周期为28-30天,如果突然出现个人的月经周期缩短,比如28天缩短成23天,32天缩短成27天,这往往提示卵巢功能开始走下坡路。
我国正常女性的绝经年龄如果是50岁,多在40岁时开始出现相对自己的月经周期的缩短。没有生育要求,40岁以上的女生出现月经周期缩短,也无需紧张,动态观察即可。

如果年轻、没有生育的女生出现月经周期的缩短的信号肿么办?
建议您医院就诊进行相关检查。一旦证实卵巢储备功能开始下降,就要尽快开始试孕,或者在医生的指导下积极助孕治疗。
性激素的化验我们前文说过测定时间为月经的第2-4天,其中基础FSH水平升高提示卵巢储备功能下降。
1. FSH水平<10IU/L为正常,可能为卵巢正常反应;FSH>10~15IU/L,预示卵巢低反应;FSH>20IU/L,为卵巢早衰隐匿期,预示着1年后可能闭经。

如果年龄<40岁且FSH连续两次>40U/L,则诊断卵巢早衰。另外,如果FSH/LH比值超过3了提示卵巢功能下降。
基础E2水平升高早于基础FSH水平的升高,E2>80pg/ml,提示卵巢反应性降低,功能下降,随着年龄及卵巢功能衰竭,就会出现高FSH、LH,低E2的状态。
所以,在评估卵巢功能时需要结合基础雌激素、基础卵泡刺激素、基础促黄体生成素综合做出判断。

2. 基础抗苗勒管激素(AMH)水平下降:抗苗勒管激素(AMH)是卵泡生长发育的调节因子,作为另外一个评价卵巢功能的指标,AMH不受月经期影响,研究表明AMH<0.5-1.1ng/ml提示卵巢功能下降。
AMH比FSH、AFC和INHB更能准确反映卵巢生殖功能的下降。AMH水平较为恒定,可以在月经任何一个阶段进行测定。
3. B超:临床医生可以通过超声检测卵巢体积、基础窦卵泡数目(AFC)、卵巢动脉血流来评估卵巢储备功能,其中基础状态(月经第2~3天)的卵巢体积变小与卵巢储备的原始卵泡减少、卵泡生长的数目少有关。
窦卵泡数AFC减少,窦卵泡指早卵泡期直径2~9mm的卵泡,通常认为双侧卵巢窦卵泡数合计少于5~7个提示卵巢储备功能下降。

因为基础FSH的检测受限于月经周期的时间,周期内外变化较大,且其临床应用的敏感性不足,仅在明显升高时才有显著意义;基础FSH检测需要结合雌二醇检测来增加其敏感性。
对于涓涓2次化验FSH轻度升高的情况,付虹医生目前的带教老师刘教授建议她再做盆腔B超检查一下窦卵泡数AFC,以及基础抗苗勒管激素(AMH)水平,综合判断卵巢功能。
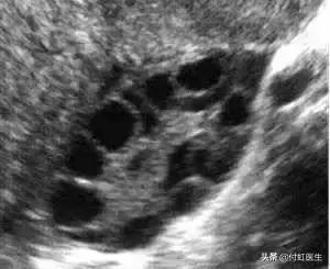
做B超检查我们看到,涓涓的窦卵泡数AFC,左侧卵巢4-6mm的卵泡10个,右侧卵巢4-6mm的卵泡8个,属于正常状态。
我告诉涓涓可以放松心情,不必纠结单纯的FSH轻度升高。从涓涓目前的化验结果分析,她还不会出现卵巢早衰。
对于目前涓涓的月经周期≥35天,这属于月经稀发,容易出现稀发排卵。我建议涓涓距下次月经5-9天抽血化验孕激素(P),看有无排卵。血孕酮>15.6nmol/L,提示有排卵。还有涓涓的痛经严重,需要抽血化验血清CA125排除是否子宫内膜异位症引起的继发性痛经。
“付医生,您这么说我的心情好多了,我还想知道,哪些情况会导致卵巢功能减退?我在平时的工作和生活中如何预防卵巢功能减退呢?”涓涓的眉头不再解锁,高兴的问我。
我告诉娟娟,影响卵巢功能因素主要有:

1. 遗传,比如可以根据母亲的绝经年龄,基本上推算出个人的绝经时间。
2. 医源性因素:如输卵管、卵巢等部位的手术。化疗、局部放疗。
3. 不良的生活方式,比如长期熬夜、生活节奏不规律等,都会对卵巢功能产生很大的影响。
4. 基因突变
5. 其他原因,比如心理精神因素也会影响卵巢功能。
如何预防卵巢减退?在生活中女生需要做到以下几点:

1. 营养均衡,体重适中。过度肥胖及消瘦都会影响性激素激素和蛋白质合成,从而影响卵泡发育及成熟。
2. 坚持运动,避免久坐久站。
3. 规律作息,避免熬夜。
4. 情绪平和,远离焦虑和抑郁。

涓涓满意的离开诊室,期待走出去的她可以情绪舒畅的度过每一天!可以心态平和的面对风刀霜剑和寒来暑往,因为好心情才有好身体,身体好,卵巢功能才棒棒哒!
花开的时候最珍贵,
花落的时候就枯萎。
希望我们都可以通过自身的努力,
让我们的花期开得更长一些!
本文转载自其他网站,不代表健康界观点和立场。如有内容和图片的著作权异议,请及时联系我们(邮箱:guikequan@hmkx.cn)