“没想到仅在腿上开个小口,就能把心脏瓣膜给换了。”湖南长沙县91岁的杨爷爷因主动脉瓣重度狭窄伴中度关闭不全,在湖南省人民医院心内一科接受了经导管主动脉瓣置换手术,免除了传统手术开胸的风险。据悉,杨爷爷是湖南省接受该手术年龄最大的患者。

杨爷爷以前一直身体健康,偶尔还外出旅游,一口气能爬5层楼。2021年春节后,他却感觉稍微活动就呼吸困难、胸闷,爬一层楼都感觉费力,晚上无法平躺入睡,只能通宵坐着休息,在当地医院诊断为心衰,为求进一步诊治,来到湖南省人民医院心内科。

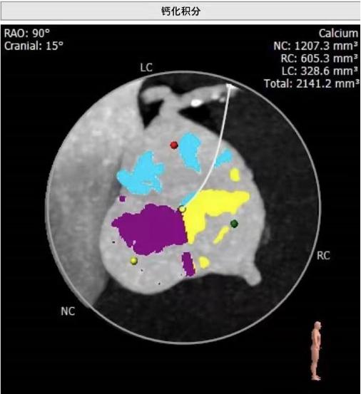
心内科主任医师何晋发现杨爷爷心脏杂音很重,怀疑心脏瓣膜出了问题,经心脏超声检查,果不其然,杨爷爷的心脏有个大“BUG”——主动脉瓣重度狭窄伴中度关闭不全,也就是心脏的阀门坏了,导致他主动脉瓣上下的压差高达70mmHg,而严重的瓣膜病变引发了心脏肥厚、心功能受损,检查还发现他的冠状动脉病变也很严重。

杨爷爷年龄大、心功能差,不能接受外科手术,但如果保守治疗,这类患者的两年生存率不到50%。综合考虑下,何晋主任医师团队多次讨论,最终为杨爷爷制定了经导管主动脉瓣置换及冠脉支架(TAVI+PCI)手术方案,不需要开胸,降低了手术风险。经过精心术前准备,何晋主任医师团队联合心外科、体外循环、麻醉科、介入手术部等多学科,为杨爷爷完成了高难度、超高龄的经导管主动脉瓣置换联合冠脉介入术。
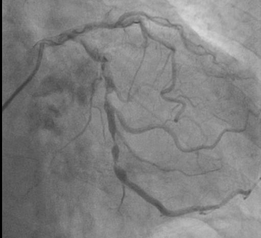
术中,在DSA(数字减影血管造影)严密实时监测下,何晋主任医师从杨爷爷大腿根部股动脉穿刺,通过大血管将主动脉支架瓣膜及装置输送到病变的主动脉瓣位置,缓缓释放支架瓣膜,经过精密调控,支架瓣膜精确植入,原先狭窄的瓣膜口子一下就开通了,术中监测主动脉瓣和心室压差为零。

术后第二天,杨爷爷就可以下地走路,胸闷、气促明显好转,4月25日顺利出院。“以后我还可以出去旅游,享享儿女福。”出院前,杨爷爷一再向医护团队表示感谢。
何晋主任医师介绍,随着老龄人口的增多,高龄高危复杂的心脏瓣膜病患者越来越多。对于无法接受外科手术的主动脉瓣狭窄患者,尤其是65岁以上的患者,经导管主动脉瓣置换术是有效的治疗手段。“以前主动脉瓣疾病只能通过开胸手术换瓣,创伤大、恢复慢,部分高龄、高危患者没有手术机会。而TAVI手术能让无法耐受开胸换瓣手术的病人获得重生,手术时间短、创伤小、无需体外循环、术后并发症低。”何晋主任医师表示。
何晋主任医师介绍,经导管主动脉瓣置换术适用于这四类患者,一是老年主动脉瓣重度狭窄或关闭不全患者,经心脏手术团队评估,常规外科开胸手术风险过高。二是外科主动脉瓣生物瓣膜置换术后衰败,需要再次置换瓣膜的老年患者。三是有外科手术相关禁忌的主动脉瓣严重病变患者(抗凝禁忌、严重出血倾向、瓷化主动脉改变、胸骨感染、胸部放疗史等)。四是合并肿瘤、生存期超过一年的主动脉瓣严重病变患者。
潇湘晨报 记者张树波 通讯员张艳 刘伟
【来源:潇湘晨报】
版权归原作者所有,向原创致敬