病例分析室 | NO.62 围绝经期AUB导致 “难纠正”重度贫血一例病案分析
分享人:周坚红,罗洁
撰写人:王桂泉,张弢
一、病例简介
患者,女,53岁,已婚,1-0-2-1,因“停经伴阴道流血1年余,再发加重2天”入院。
现病史: 患者1年余前末次月经(2019年6月)后出现不规则停经,间隔时间在5-8个月不等,自诉前次“月经”来潮在2020年1月,量多大于平素月经量,色暗红,伴较多血块,每日湿透5-6片夜用卫生巾,持续5天干净,伴头晕乏力,无恶心呕吐,无腹胀腹痛,无阴道流液,无潮热盗汗,无心悸失眠,头晕乏力症状休息后自行缓解,未予重视及就诊。2天前患者无诱因下再次出现大量阴道流血,色鲜红,伴较多血凝块,并感头晕心悸、大汗乏力,无恶心呕吐,无腹胀腹痛,无抽搐晕厥,卧床休息后上述症状无缓解,直至今日傍晚18时许患者突发一阵阴道流血,如小便样解出,持续近3分钟后逐渐淋漓减少,伴下腹隐痛,遂来我院急诊就诊,妇科检查可触及一较大宫颈肿块,查血红蛋白53g/L,超声提示“子宫多发肌瘤(较大一个宫颈肌瘤伴变性可能),右卵巢内囊性块”,现患者少量血性分泌物,腹痛缓解,伴头晕乏力,轻度活动后气促,急诊拟“重度贫血,异常子宫出血,子宫肌瘤“收住入院。
既往史及家族史: 1996年因“臀位”于本院行剖宫产。否认血液病、心脏病、高血压等其他系统疾病, 余 既往史无殊。
月经史: 初潮14岁,平素周期40天,经期5天,LMP:2019年6月,量中,色暗红,无痛经,白带无殊。
一般查体: 体温37℃,脉搏83次/分,呼吸18次/分,血压123 /53mmHg,皮肤黏膜色泽苍白,心肺听诊无殊,双下肢无水肿。
妇科检查: 外阴已婚未产式;阴道通畅,少量淡血性分泌物;宫颈光,暴露困难,宫颈部可及一约8*7*5cm包块,质硬,边界清,无触痛;子宫前位,常大,质中,活动可,无压痛;双附件未及明显包块及压痛。
辅助检查: 急诊血常规:血红蛋白53g/L。尿妊娠试验阴性。
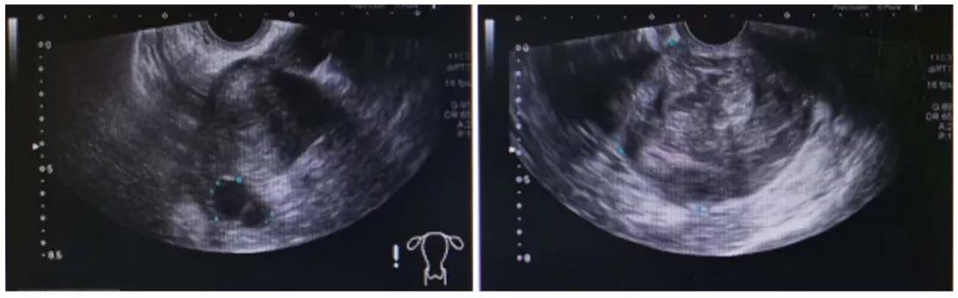
入院妇科超声:子宫前位,宫体正常大,内膜厚1.0cm(双层),宫 区见 多个低回声,较大位于宫颈后唇7×6.9×6.4cm,内部回声不均,边界清。右卵巢内见2.5×2.2×1.8cm囊性块,见分隔,内液清。左附件区未见明显包块。诊断结果:子宫多发肌瘤(较大一个宫颈肌瘤伴变性可能),右卵巢内囊性块。

入院盆腔MRI:T1WI、T2WI、DWI及增强扫描子宫前倾位,明显增大变形,子宫内膜信号欠均,未见DWI高信号,左侧壁见大小约2.5×1.5×2.5cm结节,宫颈区见大小约6.3×6.4×7.1cm,T1WI呈等信号,T2WI呈稍低信号,DWI未见弥散受限,增强扫描不均匀强化,其旁见团块状异常信号灶,增强后未见明显强化。右侧附件区见大小约1.5×2.5×2.5cm长T1WI长T2WI信号影,增强后未见强化。盆腔淋巴结未见明显肿大。诊断结果:宫颈肌瘤;子宫左侧壁肌瘤;阴道积血;右侧附件区囊性灶,囊肿考虑;子宫内膜信号欠均,请结合临床。

初步诊断: 重度贫血,异常子宫出血,子宫多发肌瘤(其一为宫颈肌瘤),右侧卵巢囊肿
诊疗计划:
1. 入院后积极完善相关检查;
2. 快速止血、输血、预防感染等对症支持治疗;
3. 必要时行分段诊刮或急诊手术;
4. 密切关注患者阴道流血、腹痛及生命体征。
二、诊治经过
入院急诊处置: 上氧,开放静脉通路,氨甲环酸1g静滴止血,输注红细胞悬浮液2U纠正贫血及改善携氧能力,补液扩充血容量。输血前血红蛋白50g/L,输血后58g/L。
入院第一天:
1. 患者情况:精神软,意识清,贫血貌,仍有头晕、乏力,口唇较前稍红润,阴道流血少,无凝血块。
2. 处理:考虑患者凌晨入院时输血后血红蛋白上升不明显,继续予输注红细胞3U。输血后血红蛋白(入院第二天)63g/L。
入院第二天:
1. 患者情况:凌晨2:40一股阴道流血,湿透2-3片夜用卫生巾,有凝血块,有头晕、乏力伴胸闷,精神软,意识清。
2. 辅助检查:今晨急查血红蛋白63g/L;生殖激素:LH 38.4IU/L,FSH 10.7IU/L,E2 911pmol/L,P<0.16nmol/L,PRL 43.8ng/mL;肿瘤指标、HPV、TCT、甲状腺激素、凝血功能等无殊。
3. 处理:考虑输血有效,为避免再次出血,予行分段诊刮术,诊刮过程顺利,刮出少量内膜组织,予送病理,术中出血15mL;术后予米非司酮10mg口服q12h+缩宫素10IU肌注bid止血,头孢呋辛钠1.5g静滴bid预防感染,生血宁2片口服bid+焦糖铁注射液0.2g静滴生血治疗。
入院第三天:
1. 患者情况:昨夜少量阴道流血,头晕、乏力较前好转;上午10:35患者起床如厕时再次一股阴道流血,量约300mL,头晕、四肢无力伴胸闷,无法自行站立,贫血貌明显,意识尚清,精神软;体征:体温36.4℃,脉搏92次/分,血压88/45mmHg。
2. 处理:立即予缩宫素10IU肌注,缩宫素20IU静滴,葡萄糖酸钙20ml静推,改米非司酮20mg口服bid,更换头孢西丁2.0g静滴q8h及补液扩充血容量;予输注悬浮红细胞4U,余对症支持治疗。
3. 输血前:急查血常规:血红蛋白49g/L,白细胞12.1×109/L,中性粒细胞分类74.2%;血钾3.36mmol/L,总钙2.05mmol/L;总蛋白48.3g/L,白蛋白31.4g/L;心电图无殊。输血后:患者体温最高38.7℃,物理降温后37.6℃,查血红蛋白(入院第四天)67g/L,CRP 1.5mg,降钙素原0.09ng/L。
入院第四天:
1. 患者情况:昨夜少量阴道流血,头晕、乏力较前稍缓解,精神稍软,意识清,无胸闷气急等;13:55患者如厕时阴道流血多,量约50ml,症状同前。
2. 处理:加用卡前列甲酯栓2枚塞肛,继续前缩宫素+米非司酮止血,头孢西丁预防感染及对症支持治疗。
入院第五天:
1. 患者情况:昨夜阴道流血多,量如月经量,头晕、乏力未缓解,精神软,意识清,无胸闷气急。
2. 辅助检查:血红蛋白48g/L;诊刮病理回报:(宫腔)破碎子宫内膜不规则增生。
3. 处理:予输注悬浮红细胞3U,继续前治疗。输血后查血红蛋白(入院第六天)69g/L。
入院第六、七天:
1. 患者情况:精神状态逐渐好转,阴道流血逐渐减少,头晕、乏力逐渐缓解,口唇、面色较前红润,无其他不适主诉。
2. 辅助检查:血红蛋白(出院前)74g/L。
3.出院诊断:异常子宫出血,子宫多发性平滑肌瘤(其一为宫颈肌瘤),右侧卵巢囊肿,中度贫血;疗效评价:好转。
4. 出院医嘱:
1. 充分告知再次子宫出血风险及后续可选的AUB诊疗方案,患者及家属表示定期门诊随诊并同时考虑再决定选择何种方案。
2. 出院带药:氨甲环酸片(妥塞敏)1片口服每天3次;生血宁片2片口服每天2次;多糖铁复合物胶囊(力蜚能)2粒口服每天1次;米非司酮片1片口服12小时1次。
出院后一周:
1. 患者情况:精神佳,无阴道流血,无贫血貌,无其他不适主诉。
2. 辅助检查:血红蛋白109g/L。患者决定药物保守治疗。
三、病例讨论
知识点
1. 排卵障碍性异常子宫出血(AUB-O)
1) AUB-O简介
异常子宫出血(AUB)是妇科临床常见的症状,指不符合正常月经周期“四要素”(即月经的频率、规律性、经期长度和出血量)的正常参数范围、并源自子宫腔的出血。采用FIGO标准“PALM-COEIN”分型标准可分为9个亚型,其中排卵障碍性异常子宫出血(AUB-O)最为常见,约占AUB的50%。主要由排卵障碍导致,包括无排卵、稀发排卵和黄体功能不足。
2) AUB-O发病机制
主要由下丘脑-垂体-卵巢轴(HPO)功能异常引起。
A) 无排卵性AUB-O。因HPO轴发育不完善、卵巢局部调控因子异常或卵巢功能下降导致无周期性排卵,在不同年龄阶段表现不尽相同。
① 青春期:雌激素对垂体和下丘脑 形正 反馈,从而促进月经中期LH峰形成导致排卵。而青春期女性,FSH呈持续性低水平,卵泡不成熟,合成分泌雌激素减少,LH峰不能形成从而无排卵、月经异常。
② 育龄期:流产或产后、内外环境改变、劳累、情绪波动、应激以及疾病(如PCOS)等,导致的HPO轴紊乱。
③ 绝经过渡期:卵巢分泌的雌激素减少,垂体促性腺激素持续高水平导致排卵前LH峰无法形成,不能促进卵子排出。常表现为阴道不规则出血,持续淋漓不尽或大量出血。
B) 有排卵性AUB-O。有排卵性AUB-O目前一般认为与子宫内膜局部纤溶酶活性过高或前列腺素血管舒缩因子分泌比例失衡有关。
3) AUB-O诊断
其诊断核心为排除性诊断。需结合病史、查体、辅助检查等排除导致AUB的其他可能病因,如诊疗效果不佳,建议重新考虑诊断是否确切并进一步检查。
A) 病史:重点询问出血史,至少记录近3次的子宫出血情况;不同年龄段考虑不同的常见病因;注意询问*生活性**情况和避孕措施以除外妊娠或产褥相关出血;询问既往检查,以排除“PALM”的证据等;其他情况如体质量、生活习惯、情绪、服药史、经间期出血(IMB)情况等。
B) 查体:尤其对于急性AUB及治疗效果不满意的患者,初诊时的查体非常重要。需注意生命体征及相关线索,如肥胖、消瘦、多毛、泌乳、皮肤瘀斑、色素沉着、盆腔包块、腹部压痛等。有*生活性**者使用阴道窥具并盆腔检查,有助于确定出血来源并排除阴道、子宫颈病变;无*生活性**者必要时经肛门直肠检查盆腔异常。
C) 辅助检查:
① 2项基本检查,血常规——评估出血严重程度并除外AUB-C(凝血功能异常导致的AUB),B超检查——排除或发现“PALM”、AUB-I、AUB-N的线索。
② 最常用的检查,基础体温测定及估计下次月经前5~9d的。
③ 早卵泡期FSH、LH、PRL、E2、T和TSH等。④ 对于年龄≥45岁、长期不规律子宫出血、有子宫内膜癌高危因素、B超提示子宫内膜过度增厚并回声不均、药物治疗效果不满意者应行诊刮并病历检查,以排除内膜病变;有条件者推荐宫腔镜下活检。
4) AUB-O治疗原则
AUB-O的治疗原则是,急性出血期维持一般状况和生命体征,积极支持疗法(输液、输血),尽快止血并纠正贫血;血止后调整周期,预防子宫内膜增生和 AUB 复发。有生育要求者行诱导排卵治疗,完成生育后应长期随访,并进行相关的科普教育。由于 AUB-O 涉及从初潮到绝经的各年龄段,不同年龄段的常见病因不同,临床表现多样,患者需求也不同,涉及发育、生殖和避孕等,治疗措施需全面考量。
2. 围绝经期AUB及相关进展
排卵功能障碍是围绝经期AUB最常见的原因,但其诊断和治疗需与育龄期AUB相区分。
1) 围绝经期AUB诊断评估流程

图1 围绝经期AUB诊断评估流程
2) 围绝经期AUB-O的治疗
A) 药物治疗
① 性激素药物治疗。孕激素内膜脱落法(全或后半周期应用孕激素,或称“药物刮宫”),雌激素内膜生长法(大剂量雌激素修复内膜创面止血,又称“子宫内膜修复法”),孕激素内膜萎缩法(大剂量孕激素使内膜同步分泌化而止血),COC等。
② 非激素类止血药。米非司酮,近年来小剂量米非司酮治疗难治性围绝经期AUB取得了明显疗效,联合应用米非司酮+中药固崩汤或联合米非司酮+消融术值得临床上推广应用;抗纤溶药物氨甲环酸;补充铁剂、维生素C、蛋白质,严重贫血者予输血,流血时间长予抗生素预防感染。
B) 非药物治疗
① 诊断性刮宫术。对于病程长、药物治疗效果不佳、出血严重者、B超提示宫腔异常者可行诊断性刮宫术。止血效果迅速,同时可了解内膜病变。
② LNG-IUS系统(商品名曼月乐环)。局部释放左炔诺孕酮,移植子宫内膜生长,可减少出血量,适合病程长、病情反复发作、肥胖和围绝经期患者。
③ 子宫动脉栓塞术。一般仅用于抢救生命。
④ 宫腔镜手术。疑有子宫内膜器质性疾病、子宫内膜息肉、粘膜下肌瘤所致急性出血时,可行宫腔镜下诊刮术、息肉切除术、粘膜下肌瘤切除术等。
⑤ 子宫全切术。适合药物治疗无效,持续性子宫内膜增生、出血不能控制,内膜增生进展为不典型增生或不耐受药物治疗者。⑥ 子宫内膜去除术。适合药物治疗无效或不耐受药物治疗,又不能接受子宫切除术者。但内膜去除术不应该作为AUB-O治疗常规方法,尤其不推荐用于AUB-O导致的子宫内膜增生和癌变的治疗。
3) 围绝经期AUB-L的治疗
AUB-L药物治疗的目的是缓解子宫肌瘤相关症状。米非司酮和GnRH-a既可以改善贫血又能缩小肌瘤,而COC、LNG-IUS、氨甲环酸和NSAID则只能改善贫血症状而不能缩小肌瘤,适用于非粘膜下肌瘤的重度月经量增多者。子宫肌瘤药物治疗的禁忌证包括:肌瘤生长较快或肌瘤发生变性,不能除外恶变,粘膜下肌瘤症状明显,浆膜下肌瘤发生扭转时。治疗详见《子宫肌瘤的诊治中国专家共识》。
分析点
1. 该患者诊断分析
根据现病史、辅助检查患者目前处于绝经过渡期晚期,故有AUB-O。目前较为公认的生殖衰老分期金标准为2011年发表的“生殖衰老研讨会分期+10”(STRAW+10)系统(图2)。患者B超提示子宫多发肌瘤(较大一个宫颈肌瘤伴变性可能,大小约7×6.9×6.4cm),且诊刮术中仅刮出少量内膜,且术后第一天、第二天均出现大量阴道 到 出血,故可能有AUB-L。因此该患者异常子宫出血类型考虑为:AUB-O合并AUB-L。

图2 生殖衰老研讨会分期+10系统
注:*在周期第2-5天取血雌二醇升高;
* *依据目前采用的国际垂体激素标准的大致预期水平
2. 该患者出血情况分析
患者出血整体表现为持续出血,大量出血,输血后上升不明显等特点。入院后该患者的血红蛋白变化趋势如图3所示。患者贫血貌明显,头晕、乏力持续不缓解,有时伴胸闷,入院前两天出血表现为持续性阴道出血多,后期表现为间断性大量出血。患者总共输注悬浮红细胞12U,均无明显输血反应,且前两次输血后血红蛋白上升不明显,第三、四次输血后米非司酮+缩宫素加大剂量,血红蛋白上升明显,阴道流血减少,贫血症状缓解。出院后米非司酮+氨甲环酸+补贴药物口服维持,出院后第7天复查血红蛋白109g/L。

图3 患者入院后血红蛋白变化趋势
3. 患者治疗情况分析
1) 输血治疗。该患者AUB合并重度贫血,血红蛋白持续低于60g/L,出血量大,甚至一度濒临休克,有输血指征。急性重症AUB合并重度贫血、极重度贫血、休克患者,推荐首选输血、补液扩充血容量,初步排除结构异常性疾病后,辅以孕激素、COC和氨甲环酸等药物治疗。
2) 分段诊刮术。该患者入院前B超提示内膜偏厚,信号不均,不排除子宫内膜病变。诊刮术中仅刮出少量内膜组织,术后病理提示“子宫内膜不规则增生”,故不排除合并AUB-M可能。但需注意的是,单纯的分段诊刮术只有止血、明确子宫内膜病理诊断的作用,所以“一次应用有效”,后续仍需药物治疗,应尽量避免反复不必要的诊刮。
3) 米非司酮。米非司酮是较为新型的可直接作用于下丘脑-垂体系统导致促性腺激素分泌减少的孕激素拮抗剂,不良反应少,对子宫内膜孕酮受体的亲和力比黄体酮强5倍,能够促进子宫内膜萎缩,改善贫血症状。该药还可直接或间接作用于卵巢,使颗粒细胞凋亡,促进卵泡萎缩,减少卵巢雌激素分泌,导致闭经。此外,作为孕激素受体拮抗剂,可抑制孕激素作用子宫肌层,使间质细胞生成减少、诱导子宫肌瘤细胞凋亡、抑制肌瘤血管生成,导致子宫肌瘤萎缩、体积减少、数目减少。因此,米非司酮对于异常子宫出血尤其AUB-O合并AUB-L患者具有良好的治疗效果。对于使用剂量,如今仍未达到统一共识。目前推荐小剂量长中期使用或大剂量短期使用,持续大剂量使用可导致人体内积蓄,血药浓度持续增高增加不良反应发生率。
4) 其他可选治疗方式。
A) 手术治疗。该患者无生育需求,因后续可能再次出血不能控制、子宫内膜进展为不典型增生或恶变,可考虑子宫全切术;患者宫颈肌瘤较大(7×6.9×6.4cm),有较强的保留子宫意愿,可考虑子米非司酮等药物控制出血并待肌瘤体积缩小后择期行子宫肌瘤剔除术;当AUB-M不除外时一般不推荐子宫内膜切除术,因为子宫内膜去除术不能保证取出所有病灶,反而因为子宫内膜完整性和持续性的破坏可能导致宫腔粘连,妨碍子宫内膜组织病理学监测。
B) 促性腺激素释放激素激动剂。GnRH-a通过刺激垂体急剧释放促性腺激素(“点火效应”),使垂体促性腺细胞上的GnRH受体被占满、耗尽,从而抑制促性腺激素分泌,阻断卵巢雌孕激素合成,此外还可使ER合成减少,达到使肌瘤萎缩、体积缩小、抑制内膜增生从而纠正贫血的效果。目前研究发现10mg/天使用米非司酮大于6个月时,部分患者出现轻度抗糖皮质激素效应伴血清皮质醇波动,且患者依从性下降,而GnRH-a只需每28d肌内或皮下注射一次,方便快捷,同时缩小肌瘤及缓解盆腔压迫效果明确,对于该患者GnRH-a不失为一个更优的选择。
总结与反思
AUB是围绝经期的标志性事件,在围绝经期患者的所有妇科咨询中,AUB占70%以上,发生率高,病因复杂,且诊断和治疗仍然存在很多亟待统一和规范的问题。该患者处于绝经过渡期,考虑AUB-O合并AUB-L导致重度贫血,且持续出血、出血量大、濒临休克,使用止血药物且多次输血后仍然难以纠正,其诊断和曲折的治疗过程给予临床上很多提示和需要改进的地方。围绝经期AUB其核心为排除性诊断,需经合理诊断评估流程后将有结构异常(病因可能为恶性肿瘤、增生、息肉、肌瘤)的围绝经期AUB及无结构异常(病因可能为排卵功能障碍、子宫内膜正常的局部纤溶系统亢进或前列腺素合成异常,以及可能性较小的凝血功能障碍或医源性因素)的围绝经期AUB区分开来。围绝经期急性AUB与慢性AUB的治疗方式不同,当合并重症贫血甚至休克时,应扩充血容量、纠正休克和药物治疗等方式及时止血,尽快明确诊断后,从全局角度和个体化方案出发,针对不同类型的AUB及疾病进展情况应尽早选用合理类型和剂量的药物或合理的手术方式进行综合治疗,从而改善疾病进展和预后以及患者的生活质量。