好奇,这个皮肤病居然会逐步阻挡羞羞之路

今天来给大家介绍一个疾病,这个疾病,可能大家听得不多,毕竟发病率不是很高。

不过由于发生的部位很尴尬,而且疾病进展过程很讨厌。

因此,一旦发生了,会给生活诸多烦恼,所以还是值得大家花几分钟了解下。

这个病,叫做 硬化萎缩性苔藓 ,以前讲 会阴部瘙痒 时提起过这个疾病。

好奇,这个皮肤病居然会逐步阻挡羞羞之路

什么是硬化萎缩性苔藓?

此病虽然也会发生在身体其他部位,但是,最好发于 女性阴部 男性阴茎包皮 位置。

目前的流行病学统计, 女性发病率要明显高于男性 ,因此,有些权威的皮肤科教材,甚至认为这个病可以称呼为 女性干枯症

看到这里,估计有人好奇了,它的临床表现是什么样的呢?

典型的临床表现是:

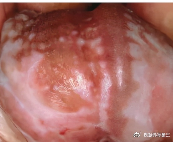
1.如果发生在女性身上,其表现是:

瓷白色 (所谓瓷白色就是和瓷器一样的白) 丘疹和斑块,常伴有瘀斑区 ,这个皮疹的边界是比较清晰的,看着很光亮,触摸起来是硬硬的。

皮损继续发展,可引起 萎缩 ,特别是可引起小阴唇和阴蒂严重的萎缩。

好奇,这个皮肤病居然会逐步阻挡羞羞之路

外阴硬化萎缩性苔藓

图片来源于皮肤病学第4版

上面这个图片就是外阴硬化萎缩性苔藓的典型临床表现。

虽然一般不会累及到阴道、宫颈和生殖器黏膜,但是皮肤与黏膜交界处发病时,可导致阴道口狭窄,于是会 产生同房疼痛和困难

患者自己的主要感觉是 皮损区瘙痒 ,晚上会加重,可影响到睡眠。

2.如果是发生在男性身上时,通常的临床表现是:

瓷白色扁平丘疹和白色萎缩性水肿性斑片 ,表面干燥,萎缩,如果严重的话,会出现 包皮硬化 ,失去弹性。

包皮末端可以形成环状硬化带,包皮口常紧绷缩小,包皮可纵形裂开或黏连,伸缩功能困难,导致 慢性复发性包皮*头龟**炎及阴茎勃起疼痛

下图是典型男性*头龟**发病临床表现。

好奇,这个皮肤病居然会逐步阻挡羞羞之路

包皮*头龟**硬化萎缩性苔藓

图片来源于皮肤病第4版

看到这里,大家明白了,这个病,发展到后面,对做羞羞的事,会产生很大的影响。

而且还不止这个,这个病,目前认为,在生殖器硬化性萎缩苔藓中,虽然 癌变的概率很低 ,但是其 发病率还是比普通人群要高很多 ,这些需要引起警惕。

好奇,这个皮肤病居然会逐步阻挡羞羞之路

硬化萎缩性苔藓的治疗

接着说下大家最关心的治疗方面:

目前的研究表明,局部使用 超强效 的糖皮质激素,可以有显著的疗效。

请看清楚关键词,开始时是超强效的,而不是弱效的,比如说 0.05%丙酸氯倍他索。

随着病情好转,建议对激素进行 降级治疗 ,也就是说先用强的,后使用弱的。

使用时间12周,一般是每天1次,4周后改为隔天1次,再用4周后改为每周2次,有 20% 的患者皮损甚至可以完全清除。

正因为如此,这是一线治疗方法。

好奇,这个皮肤病居然会逐步阻挡羞羞之路

除了外涂激素药膏,还可以 局部注射激素 ,比如说曲安奈德。每周1次,4-6次为一个疗程。

此外,还有 外用钙调神经酶*制剂抑** ,比如说吡美莫司乳膏,每天1次,使用2-3月,还有外用米喹莫特乳膏外用。

外用维生素D和维生素A衍生物 也是临床上选择的药物。

除了药物之外,还有 冷冻 ,也是可以考虑的。

还有 照紫外线治疗 ,有研究提示:使用低剂量的UVA1光疗,每周4次,连续10周,一部分患者效果良好。

除此之外,还有 手术切除 ,进行矫形,不过这个是最后的选择,轻易不动手术。

好咯,今天就介绍到这里,所有的药物建议及治疗方法,仅为参考,具体请面诊,谢谢大家的关注。

好奇,这个皮肤病居然会逐步阻挡羞羞之路

免责声明

本内容由皮肤科冷医生原创,为读者进行科普

内容仅供参考,具体皮肤问题还需及时问诊医生

部分图片来源于网络,如侵权请联系删除

封面图源:pixabay