家属提问:
我家孩子今年21岁,2014年5月诊断为抑郁症中度,表现为不与人沟通交流、对什么事都不感兴趣,觉得活着没意思,服用文拉法辛等药物后可以正常上学。2019年开始,她的脾气越来越暴躁,饮食也不规律,说话内容夸张,在家就打骂父母、摔东西,再次住院确诊为双相情感障碍,改服喹硫平、丙戊酸钠等药物,但因为吃了药就容易瞌睡,她也不太愿意吃药。发展到现在就是情绪很不稳定,有时候整天在家躺着,觉得这病治不好了,动不动就把自S挂在嘴边,半夜还会大声哭泣,过段时间又变得非常亢奋,说自己有天赋,以后是要赚大钱的,随便打骂父母,对父母没有亲情感。像我家孩子这样的情况,究竟是抑郁症还是双相情感障碍?可以手术治疗吗?手术疗效怎么样?有风险吗?
专家解答:

上海市东方医院南院功能神经科主任吴景文
既然有家属问到了,那么就着双相情感障碍的误诊与治疗的话题,我想给大家做个科普介绍。双相情感障碍是一种常见的精神疾病,主要表现为躁狂、抑郁或者焦虑性躁狂(一种躁狂和抑郁症状的混合形式)呈现周期*交性**替出现。该病的临床误诊率非常高,易被误诊为抑郁症。研究认为,诊断为抑郁症患者,经过5-10年回访,发现其中30%-40%都是双相情感障碍患者。
这两种疾病难以甄别的主要原因是:1、医生采集不到躁狂发作的信息,即双相情感障碍患者的70%发作时间都表现为抑郁,真正处于躁狂或轻躁狂的发作时间很短。所以,患者在抑郁发作时就医,难以确诊为双相情感障碍。2、如果处于轻躁狂状态,患者会觉得情绪高涨,思维敏捷,精力充沛,睡眠需求也少,即使长时间加班也不觉得累。因此,病人往往认为自己已经好转了,一般不会主动就医。3、有些患者先后在不同的医院诊治,医生容易产生思维定式,即参照前面医生给出抑郁症诊断,后续医生往往忽略患者有过躁狂、轻躁狂症状发作。双相情感障碍患者误诊为抑郁症,不仅会延误治疗,也会因为使用抗抑郁剂,可能导致患者从抑郁发作转向躁狂发作。这两种疾病的治疗原则截然不同,只要造成转向,就可能加速病情发作,导致病情加重。
再看回家属咨询的问题,像这位患者的情况,究竟是抑郁症还是双相情感障碍?可以手术治疗吗?手术疗效怎么样?有风险吗?那根据家属的描述来看,患者的抑郁相与躁狂相交替出现,两极化情绪特征明显,且病程超过7年,患者不配合按时服药,家属可以考虑微创手术治疗。
微创手术主要是根据患者的精神症状,定位相应的神经核团,进行靶向调控。患者入院后,经过精神科专家检查、评估,确定其核心精神症状和身体状态;功能神经外科手术专家,则根据患者的核心症状选择神经核团,进行多靶点神经调控治疗。其中,“多靶点”的治疗核心是针对情绪、情感调节中枢,即边缘系统而言的。如双相情感障碍、精神分裂症、癫痫、焦虑症、抑郁症等,多个经典的精神外科手术靶点-扣带回、内囊前肢和杏仁核,它们是调节情绪、情感环路中最重要的节点。基于精神疾病发病机制中的递质调控学说、受体功能亢进学说等理论,以及多年的临床实践,外科医生常常选择多个神经核团进行调控,这能有效控制精神症状,同时对抑郁和躁狂症状进行治疗;提高服药依从性和敏感性;逐渐恢复学习、生活、工作和社交等功能,手术有效率在95%左右。
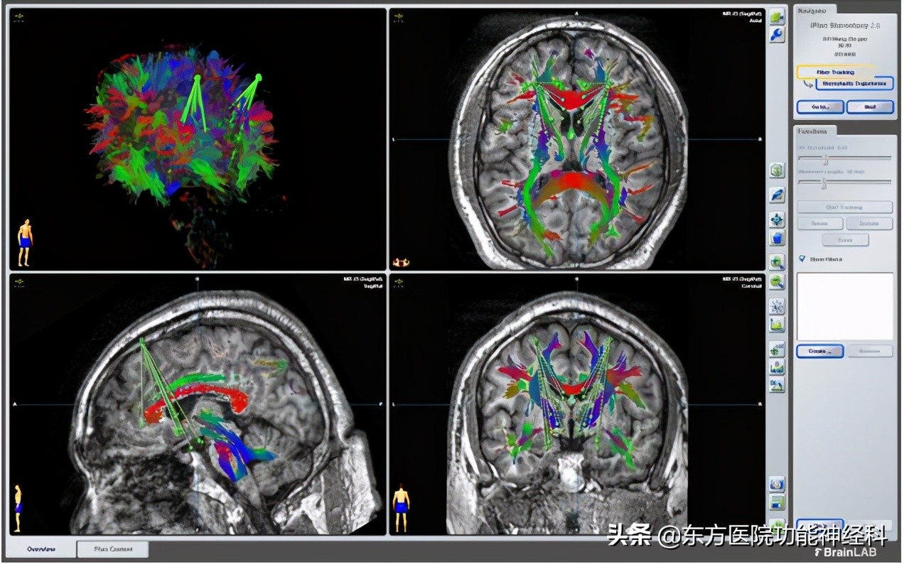
至于手术的风险问题,上海市东方医院南院功能神经科的“第五代脑立体定向技术”核心优势在于精准导航、机器人辅助,术前将我科专家评估患者核心的精神症状与颅脑中情感环路相应靶点对应,在通过MRI-3D、MRI-DTI扫描将大脑建立3D模型,机器人辅助设计手术路径,避开脑中重要的神经血管和纤维束的走向,从而较好地规避了手术风险。此外,手术靶点不在脑的智能区、运动区和语言区域,因此,理论上术后病人不会出现偏瘫、失语、智力低下等后遗症,所以手术安全性较高。

图为手术计划系统-DTI技术3D成像制定手术计划
总之,精神疾病的治疗是一个复杂和长期的过程。在此过程的不同阶段,监护人要客观、正确地选择多种治疗方法和综合治疗措施,同时加强对患者的日常监管和健康辅导,只有这样,精神疾病患者才能获得较好的治疗效果和预后。
致头条读者:
若您想咨询或更深层次的交流,可以点击头像进入[东方医院功能神经科]主页的<私信>获取联系方式。