每年到了这个季节,都是流感高发的时候,呼吸科和小儿科经常满床运转,尤其是今年。
由于众所周知的原因,很多人开始变得敏感,出现咳嗽、发热症状就胡思乱想,担心自己不小心招惹到冠状病毒。今天分享的两个病例,都属于这个情况,两位女病人一开始紧张得不行了。
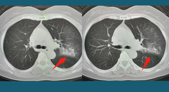
病例1,女性,53岁,咳嗽咳痰10天
这位女士以前就有慢性咳嗽的毛病,春节前的新闻接触多了有点慌,呼吸科医生听诊左肺确实有问题,就让她戴好口罩,过来做了肺部CT:

左肺见到斑片状和淡片状密度增高影,边界不清,里面可以看到充气支气管影,肺门及纵隔无淋巴结肿大,符合炎症的特点。
病人很慌,医生很稳,因为从CT影像上不具备病毒性肺炎的特点,化验结果显示病人血象升高,支持一般性的细菌感染。最重要的是,病人近期没有接触史,病毒检测也没有阳性发现,输输液就能好。
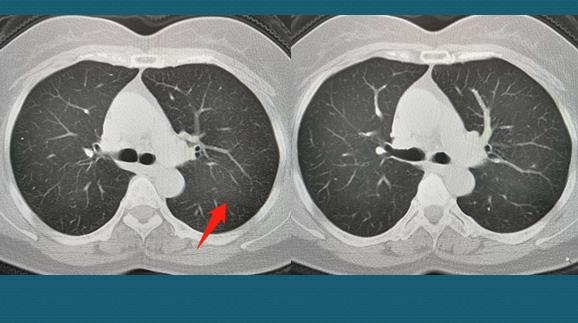
虽然医生这么安抚,病人心里还是七上八下,好在输液一次之后咳嗽症状就好转了。7天后回来复查CT,大部分吸收了:

这下总算是心里石头落了地了,年前就出院了!
身体出现异常状况,可以寻求医生帮助,一定不要觉得自己比医生懂得多,一根筋地往坏处想,不要总怀疑医生藏着掖着!首先完善检查,包括CT和各种化验检查、咽拭子检测等等,在检查结果出来之前不要胡思乱想,遇大事要有静气!医生都不慌,你慌什么呢?
病例2,女性,32岁,咳嗽一周,发热
说实话,这个非常时期,任谁出现发热、咳嗽症状也心慌,豪大夫也一样,最近心理压力有点大,经常觉得身上某个部位不对劲……没办法,人之常情啊,毕竟地球这么漂亮,人生这么美好,手机这么好玩,谁也不想早早返程啊!所以豪大夫最近尽量保证睡眠充足、营养均衡、抽空也做做运动,戴着口罩出去走走步啥的,出点汗洗个澡就会感觉心情轻松很多。
这位年轻的女士因为受凉后出现咳嗽、少量白色痰、发热,体温最高38℃,CT查出右下肺少量淡片状影,瞬间紧张起来:

跟前面那位女士一样,她没有疫区生活史,没有接触从疫区过来的人群,相关的化验检查也不支持病毒性感染。抗炎治疗后体温恢复正常,咳嗽明显减轻,一周后复查CT明显吸收:

这两个病例就是想跟大家说一下,莫恐慌,不信谣,不传谣,服从当地职能部门的安排,春节期间减少外出,这种隔离在抗击非典的时候就发挥了巨大作用,这一次我们同样可以战胜它。
假如身体出现异常信号,服从医生的安排,听从医生的专业处理,不要自己吓自己。没事去网上看几个段子解解闷也是极好的:


如果还有余力,能够为一线医护人员捐赠一些防护用品,那是更好不过了!
今天的官方新闻报道,华中科技大学同济医学院协和医院的7名被感染的医护人员经过治疗,初步检测结果显示病毒核酸检测已经转阴,临床症状也得到了有效控制!曙光已现,我们离胜利不远了!
最后给大家介绍两个人,两个让我们安心、让我们对这次抗击新冠状病毒充满信心的人:


请相信,有钟南山院士领衔,有兢兢业业的医护人员坚守一线,有大家伙的众志成城,就一定有不远处的胜利到来!!
我是影像科豪大夫,分享小病例,传递正能量,!!欢迎关注!
#2020春节医路守护# #关注新型肺炎# #湖南医聊超能团#