
主人公
这位姑娘主诉是牙缝过大想通过正畸来改善,她在我微博上看了很多相关案例觉得效果都很好所以找到我做矫正。
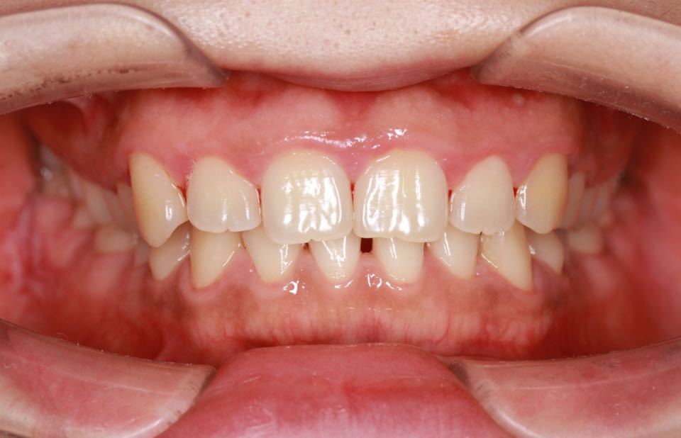
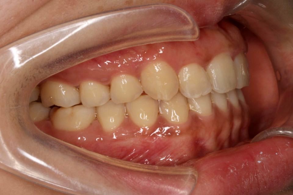
矫正前口内照:





面型照:


检查结果:
正面观:面部左右基本对称,微笑正常。
侧面观:软组织面型正常,直面型。
口内:恒牙列,牙列拥挤(中度)。上下颌牙弓呈方圆型。左右对称。右侧磨牙近中性关系,左侧磨牙近中关系,右侧尖牙远中关系,左侧尖牙远牙中性关系。上颌中线偏右2mm,下中性居中。
功能检查:张口度,张口型正常。
矫正方案:
上颌中线向患者左侧调整,上下颌中线对齐,扩弓加邻面去釉。
矫正后面型照:



矫正后口内照:





治疗改善:关闭散隙,调整中线。
目前阶段:全口牙齿排列整齐,中线居中。前牙覆合覆盖正常,尖磨牙关系达I类咬合关系。总疗程约18个月。
特别是她的侧貌轮廓线条特别的柔美,侧貌下庭部分特别具有东方侧貌的美感。

我是张军主任,原陕西省人民医院口腔正畸科主任医师,曾被陕西省西安医学院聘为副教授,陕西省口腔医学会常委委员,陕西省首批隐适美认证医生。
私信就可预约我的免费矫正检查和方案设计。