
近日,欧洲心脏病学杂志发表了一则医源性动静脉瘘引发右侧心衰的病例,一起来看看吧。
病例介绍
一名76岁男子患有左侧顺行性室性心动过速(VT),进行导管消融术后加大了利尿剂的治疗剂量,但仍出现进行性腹胀和下肢水肿。
患者既往有缺血性射血分数中间范围型心衰病史;曾植入ICD治疗单形性VT,并且既往进行过二尖瓣瓣环成形术,有永久性房颤。
入院时,患者整个心前区可闻及3/6级收缩中期杂音,颈静脉扩张,非张力性腹水和双侧2级凹陷性水肿,延伸至大腿。此外,右腹股沟处有显著震颤感。
尽管进行了静脉序贯肾单位阻断治疗,患者症状仍没有改善。
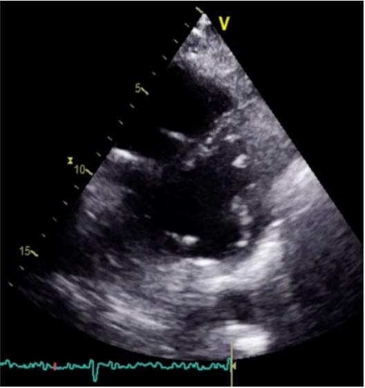
超声心动图显示右心室重新扩张,有轻度功能障碍,并有容量超负荷的迹象(图1),存在严重三尖瓣反流和严重肺动脉高压,左心室并无改变。

图1,术前超声心动图显示容量超负荷迹象
鉴于患者症状是在VT导管消融术后出现的,并且存在右腹股沟震颤感,我们对此提出了一个因果关系假说。
血管造影显示患者股总动脉和股总静脉之间有一个大的右侧股动静脉瘘。随后患者成功接受了经皮瘘管去除术,并在股总动脉植入了血管内支架(图2)。

图2,周围血管造影显示股动静脉瘘(白色箭头为股总动脉;闪电样标志为动静脉瘘;黑色箭头为股总静脉)。
之后,患者出现了显著且一致的临床改善——6个月后,尽管减少了动态利尿剂的剂量,但患者未出现充血性症状,总体重减轻了15公斤。术后超声心动图显示右心室功能和容量超负荷体征均改善。
讨论
动静脉瘘是心导管插入术的潜在有害并发症,可导致易感患者的肺动脉高压和充血性心力衰竭。虽然密切监测和超声引导下压迫是一线治疗选择,但在抗凝患者中自主闭合的可能性较小。这些并发症可以通过使用动脉覆膜支架的血管腔内隔绝术来控制,这项技术具有很高的成功率,使患者避免了血管开放手术。
来源
Rita Santos, Ricardo Correia, Joana Catarino. Iatrogenic arteriovenous fistula with right-sided heart failure.European Heart Journal - Case Reports. 4 February 2021.
