一个20多岁的年轻姑娘,很难想像她的肠道竟然是这样的:


据姑娘所述,她患有腹痛、腹泻、粘液脓血便,已经7、8年了,久治未愈,饱受折磨,甚至想做手术把坏掉的肠子切除。
经过检查,姑娘患有炎症性肠病,这种病很难根治,容易反复发作,需要长期用药,治疗效果不佳,严重影响患者生活质量,但因其没有典型的肿瘤结构,不会对寿命产生明显影响,故被称之为“绿色癌症”。
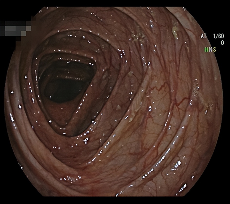
经过新乡医学院第一附属医院炎症性肠病MDT团队讨论,决定为姑娘使用“绿色疗法”,也就是生物制剂。经过治疗后,姑娘的肠子恢复如下:


据消化内科二病区秦咏梅主任医师介绍,近年来,炎症性肠病的发病率逐年增高,患者多表现为腹痛、腹胀、腹泻、便秘等,比较严重的可能出现血便、贫血、消瘦、乏力、营养不良等,给患者带来极大的痛苦。炎症性肠病的病因众多,其中一个非常重要的原因,是我们的饮食结构发生了改变。现在的年轻人多食用高脂肪、高蛋白以及快餐类的食品,炎症性肠病也随之高发。因此,某种意义上来说,炎症性肠病是吃出来的病。
还有一个重要的因素就是冰箱的使用。长期存放在冰箱里的食物容易滋生嗜冷菌。比如,有些微生物可以在冷藏区的低温条件下生长;放在冷冻区的肉类经过反复冻、融,细菌会不断繁殖。另外,很多人都没有将食品生熟分离存放的习惯,容易引发食品安全事件。据了解,有不少家庭食品安全事故,都是因为冰箱存放食品不当引起的。有数据显示,三成以上的炎症性肠病患者的病因是食用了冰箱里存放过久的食品。
此外,有研究发现,患者本身的肠道粘膜不牢固,自身的免疫系统会把患者吃进去的食物、肠道中的细菌等误认为外来物质,发起“无差别攻击”,血中的白细胞战士就跑到肠黏膜内去“战斗”,继而引发炎症,导致溃疡反复出现,就会出现一系列的消化道功能紊乱的症状,严重的患者还会出现肠道大出血、肠穿孔,甚至癌变。
目前,炎症性肠病的诊断尚无“金标准”,需要结合临床表现、内镜及病理表现、影像学等进行综合判断,同时还需与肠结核、肠型淋巴瘤、白塞病、缺血性肠病等多种疾病进行鉴别。
随着生物制剂被纳入国家医保,治疗费用的大幅度降低,让普通百姓也都有机会从生物制剂“绿色疗法”中获益。
本文已由新乡医学院第一附属医院消化内科主任医师秦咏梅审核
作者:郭晓鹤、宋鹏翀
编辑:王鹏飞
责任编辑:杨华