一. 首先我们来谈谈什么是原位癌,看看原位癌是如何演进为浸润癌的。
并不是所有的恶性肿瘤都有原位癌一说,只有起源于上皮的癌才存在原位癌这一过程。
老百姓所说的癌症,是所有恶性肿瘤的统称,一般来说根据起源细胞不同,分为三大类:起源于上皮的,包括鳞状上皮,各种腺体的分泌上皮及各种导管的上皮,均称为癌;起源于淋巴造血系统的为淋巴瘤及白血病;起源于各种软组织的称为肉瘤。
各型上皮均附着在底部的一层纤维膜上,这层膜叫基底膜。当癌变细胞局限于表面或腺腔内,没有破坏、突破基底膜时,就说癌仍然在原有位置上,所以称原位癌。

皮肤原位鳞癌

宫颈CIN3级(原位鳞癌)
理论上讲,原位癌是各型癌产生、发展的必须经历的早期阶段,由于原位提供细胞生长所需的养份有限,癌细胞生长缓慢,有些癌可以长期处于原位状态而不再进展,或者进展缓慢甚至达到数年之久,可癌细胞能够产生一些组织酶,不断地降解破坏基底膜,终于有一天突破了基底膜,进入间质,就是常说的发生了浸润,进入了快速生长模式。

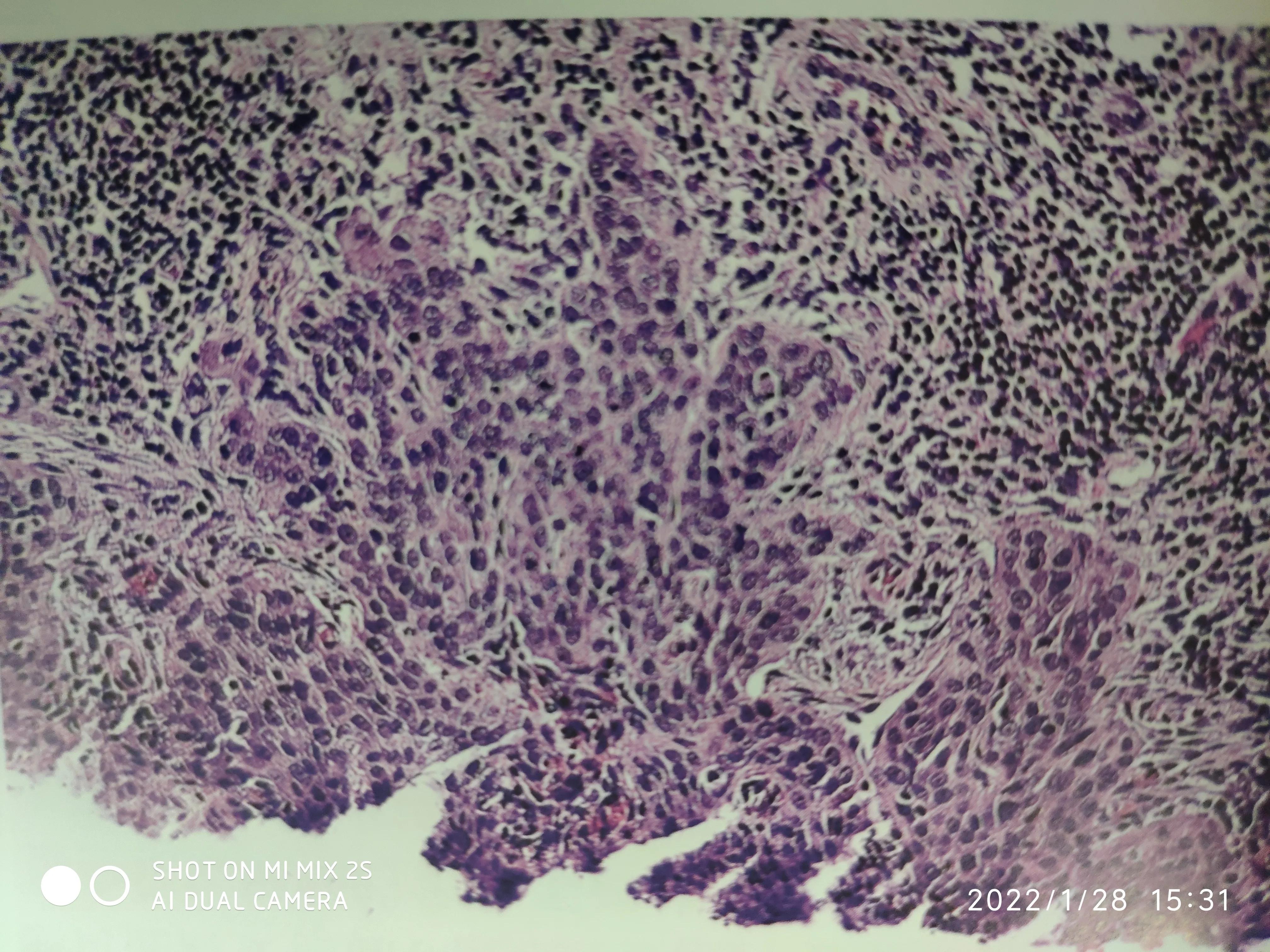
宫颈早期浸润性鳞癌
由于癌细胞有着超强的增生繁殖能力,且不受机体的反馈性生长调控,间质中丰富的血供,源源不断提供肿瘤生长所需的各种营养成分,随着癌细胞疯狂生长繁殖,可能破坏血管、淋巴管而发生转移,同时癌细胞也会产生大量的肿瘤抗原,激发机体产生抗肿瘤的免疫反应,癌组织周围会出现多少不等的淋巴细胞。
理论上讲,因为原位癌细胞没有进入基底膜外间质,也就不会发生淋巴道和血道转移,同样也极少会引起免疫系统的反应。在此阶段,只要完整切除原位癌病灶就足够了。
二.少数病人已经诊断了原位癌,可也出现了转移,都说原位癌不会转移,怎么有时也会出现例外呢?
这就涉及到如何客观看待病理报告,特别是小组织活检病理检查的局限性问题。
病理医生常常接收大量的小组织活检标本,比如胃镜肠镜的活检,阴道镜下的宫颈活检,支气管镜下的肺组织活检,还有各种肿块的粗针穿刺得到的组织条活检。某种意义上讲,这其实是临床医生对病变部位的抽样调查,多数情况下能反映病变的性质,前提是能够夹取或穿刺到典型部位。但也并不绝对,因为抽样误差总是在所难免,局部并不能完全代表全部。
小组织病理活检受到临床医生取材的制约,所以说,活检病理检查不单单考验病理医生的水平:要从有限的组织信息得出结论,同样也考验着临床医生的取样水平:看谁取材准确,一夹到位,因为取到才能看到。一份小组织活检病理报告的完成,是临床医生、病理医生通力合作的结果。
除此以外,对于病灶的切除标本,一般取材必须充分,或者所有组织全部取材,制成切片,只有所有切片中的癌组织都没有突破基底膜,都是原位,才能得出该病灶原位癌的诊断,只要有一处突破基底膜,就不能下原位癌的诊断!当然这也是仅局限于体内只有一处病灶的情况。
如果体内存在两处以上的病灶,处于不同发展阶段:一个是原位,另一个已经浸润,一旦只发现原位的,而漏掉浸润的,出现原位癌转移也就不足为奇了,要知道多原发癌并不少见。
由此可见,客观理性看待病理报告是多么的重要,关键要了解报告所针对的标本类型,是肿瘤的切除?还是小组织活检?前者可信度高,后者由于取材的局限性、不确定性较大。我们佩服活检病理一叶知秋的神奇与权威,也要看到其以管窥天的局限与不足。
内镜的活检一般都能满足临床定性的需求,只要诊断为恶性,就可以作为进一步治疗的依据;如果内镜肉眼怀疑癌,而活检的病理结果不支持,则不能轻易放弃,而应该早日复查,再次活检,以防漏诊。
我是一名病理医生,耕耘镜下30年,有些体会心得,后续将持续分享,惟望助你分毫。