来源: 医学界影像诊断与介入频道
十二指肠球部溃疡
直接和间接X线征象有哪些?
(1)龛影:为球溃疡的直接征象。正位呈圆形或椭圆形、边缘光滑的钡斑,周围常有一圈整齐的透光环。切面观呈突向腔外的锥形、乳头状或半圆形龛影。穿透性溃疡较大较深,巨大者可达2~3cm,可被误认为十二指肠球部溃疡。
(2)球部变形:为球溃疡常见而重要的征象。常见的表现形式有:①球部局限切迹;②球部分叶状、“山”字状、或花瓣状变形;③幽门管偏移及“假憩室”变形;④球部缩小或管状变形;⑤复杂变形。
(3)黏膜皱襞的改变:黏膜纹增粗、紊乱、变平或模糊。当溃疡伴纤维组织增生时,黏膜纹可呈放射状纠集。
(4)其它征象主要有:①激惹征;②球部局限压痛;③常伴胃窦炎、胃窦痉挛、幽门痉挛、胃分泌增加、潴留;④少数可出现贲门痉挛等反射性反应。

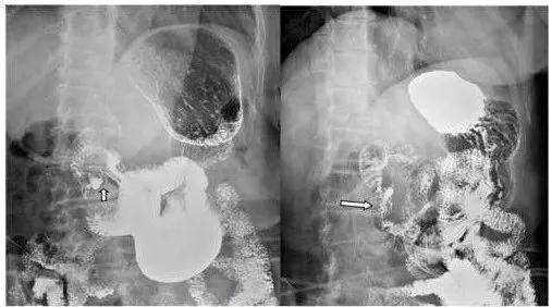
十二指肠球部溃疡X线影像
A 充盈相示:大弯侧腔外龛影;B 双对比相示:前后壁两个溃疡相吻

十二指肠球部溃疡,正位片龛影及黏膜纠集

十二指肠球溃疡变形的原因有哪些?
龛影是球部溃疡的直接征象,但由于痉挛、水肿等因素,显示率仅20%。而球部变形则成为诊断球溃疡的重要征象。
球变形的因素有功能性和器质性两种或两种并存:
①黏膜水肿;
②球部痉挛收缩;
③疤痕收缩;
④球部浆膜炎性粘连和牵拉。

十二指肠球部溃疡,球部变形


十二指肠球线性溃疡。上胃肠道双对比相示变形的十二指肠求内已垂直于肠纵轴的短线条状龛影及纠集的黏膜纹
何谓激惹征?
本征是胃肠道炎症在钡餐或钡剂灌肠造影时一种动态观察的X线征象。激惹征象只能在透视下观察到。当钡剂到达病变肠管时,钡剂很快通过该段肠管而不停留,一旦充盈即迅速排空。此征多见于十二指肠球部溃疡或炎症,亦可见于肠结核和结肠炎。
激惹征出现的病理基础是由于钡剂到达病变段肠管时,对其产生刺激引起反射性痉挛所致。由于钡剂通过迅速,难以显示病变的本来面貌。
引起十二指肠狭窄的最常见疾病有哪些?
引起十二指肠狭窄的常见疾病除溃疡外,还有十二指肠结核、癌,胰头癌,此外还可见于胰腺炎、结肠癌的十二指肠内浸润,克罗恩病,环形胰腺等。
十二指肠溃疡的并发症有哪些?
X线表现并发症有三方面:
①穿孔:有气腹表现;
②幽门梗阻:胃排空时间延长,胃内可见潴留液;
③瘘管形成:由于溃疡穿透邻近器官而形成瘘管,常见的有十二指肠一胆囊或胆总管瘘,X线表现胆囊或胆总管有充气征。在十二指肠造影检查时,钡剂通过瘘管进入相应管道而显影。十二指肠与空肠和结肠形成瘘管亦时有报道。
幽门梗阻的原因有哪些?
①胃性梗阻:系由胃窦部幽门前区或胃幽门狭窄的病变引起,可为良性病变(胃窦炎多见)。也可为恶性病变(胃癌多见),胃窦部幽门前区狭窄性病变胃癌几占50%。
②十二指肠球性梗阻:为球变形狭窄所致,绝大多数为溃疡。一般服钡后4小时排出不到50%即可诊为幽门梗阻或半梗阻,如排出50%以上,但仍有排空受限表现,可诊为狭窄。6小时有20%尚未排空可诊断为梗阻。
十二指肠球炎的X线诊断原则是什么?
对本病看法尚不一致,甚至有人反对作为单一疾病存在。十二指肠球炎和球溃疡的关系密切,两者互为因果,又可共同存在。
十二指肠球炎X线表现黏膜纹增粗、紊乱,可呈网状黏膜增生。加压时形态尚可改变,细致检查无肯定的溃疡存在,球部常不能完全充盈,有激惹征和局部压痛。充盈时球轮廓稍毛糙,球内密度不均,但无固定畸形。

十二指肠恶性肿瘤与壶腹癌、胰头癌、十二指肠结核、乳头水肿如何鉴别?
(1)壶腹癌、胰头癌:很早就可侵犯十二指肠内侧壁,致十二指肠圈扩大或(和)十二指肠肠壁双重阴影即双边征,典型者表现为反“3”字征,胃窦大弯受压称“垫征”,而十二指肠癌则很少出现。壶腹癌黄疸出现早。
然而壶腹癌和胰头癌均可侵犯十二指肠黏膜,产生与十二指肠癌相同的X线表现而难以鉴别。

十二指肠反“3”字征(细箭头)及“垫征”(粗箭头)

胰头癌:胃肠造影示十二指肠扩大,内测缘出现压迹,呈“反3”征
(2)十二指肠转移癌:其它器官或组织的恶性肿瘤可直接侵犯或转移到十二指肠及其淋巴结而产生黏膜破坏,X线表现类似原发性癌肿,但多查见原发灶。
(3)慢性特异性炎症:十二指肠结核较少见,表现为管腔狭窄、黏膜破坏、息肉样增生与溃疡,偶可出现瘘道。但溃疡型结核龛影常较浅小而且常有激惹征,结合临床不难鉴别。克罗恩病往往呈节段性,局限于十二指肠者,可类似弥漫浸润型癌肿的表现,需结合全身表现及其它检查结果综合分析。
(4)十二指肠乳头水肿:正常乳头小于0.5cm×1.5cm,偶可大于1.3cm×3.0cm。乳头增大可能为水肿或癌肿浸润的结果。
胆总管下端结石特别是嵌顿结石、胰腺炎、溃疡均可致乳头水肿增大,但表面光滑,附近肠黏膜正常;而肿瘤浸润引起的乳头增大表面不规则,附近肠黏膜破坏常见。经内镜逆行胰胆管造影检查对鉴别诊断有较大价值。
(5)大多数原发性平滑肌肉瘤、恶性淋巴瘤等恶性肿瘤与十二指肠癌X线表现相似,鉴别较困难,需病理组织学诊断。

疑问三连:十二指肠憩室有何临床表现?憩室并发炎症时有何X线表现?憩室为何可不显影?
十二指肠憩室为肠壁局部向外膨出的囊袋状病变。比较常见,以单发多见。好发于十二指肠降段中部内后壁,尤其壶腹周围,升段次之,球部甚少见。病理亦分为内压和牵引两型。临床多无明显症状。憩室并发炎症时,常出现上腹疼痛、出血、穿孔,乳头水肿从而出现黄疸与胆、胰感染等症状与体征。
X线表现:
①憩室充盈后显示向肠腔外突出的圆形、椭圆形或烧瓶形的囊状阴影,轮廓光滑、大小不一,憩室充满后多能收缩排空。
②内压性憩室多呈狭颈,由于狭颈常排空延缓,甚至可潴留几天。牵引性憩室多较小,颈部较宽,轮廓不整,多位于十二指肠上部。
③憩室内黏膜纹与肠腔内黏膜纹相连。
④憩室并发炎症时,可见轮廓不整,憩室内及周围黏膜纹增粗,局部压痛伴有激惹征和排空迟缓。周围肠管至胃部可伴有痉挛、激惹等功能性改变。
⑤憩室口部或肠壁的痉挛以及食物阻塞时,憩室可不显影。
⑥乳头区憩室低张造影时,钡剂有时经憩室进入胆总管。


左图上箭头示十二指肠降段内侧小憩室,憩室颈部狭窄,内见气液平面
右图右箭头示意憩室周围肠黏膜皱襞增粗,排空延长,提示憩室炎症

钡餐造影示:十二指肠第二、三段两个向腔外突出的憩室
十二指肠淤张的原因有哪些?
①麻痹性肠淤张:可见于十二指肠溃疡、胆囊炎、胰腺炎等;
②神经肌性障碍:如迷走神经和交感神经功能紊乱所致十二指肠动力功能失调、迷走神经切除术后、维生素缺乏;
③巨大十二指肠:如无神经节细胞症;
④胶原疾病:如红斑狼疮、硬皮病、皮肌炎;
⑤外压性如肠系膜上动脉、十二指肠带、小肠系膜水肿、邻近脏器肿大的压迫;
⑥肠管内狭窄:如先天性狭窄及梗阻、肿瘤及结核等炎症;
⑦小肠旋转异常等。
何谓十二指肠淤滞症
及肠系膜上动脉压迫综合征?
十二指肠淤滞症是指肠内容物通过十二指肠,因动力障碍而表现淤滞扩张。对本症的概念、病因和诊断还有许多不同的看法。本症不少见,以中老年体弱者为多,其中女性多于男性。
本病的发病机理有两种认识:
①十二指肠动力功能失调。特别是由于迷走神经和交感神经平衡失调,引起肠肌痉挛和肠肌功能紊乱。有时发现十二指肠、胃和附近脏器的多种疾病,都可反射性引起十二指肠的功能障碍。
②肠系膜上动脉的压迫。十二指肠升段于第三腰椎水平,在腹主动脉和肠系膜上动脉之间通过。其远端被蔡氏韧带固定于后腹壁。一般腹主动脉与肠系膜上动脉之夹角大于45°。当小肠系膜过短与腹主动脉成角变小,内脏下垂,肠活动度过大,腹肌过度松弛,腰椎严重侧突等因素,可使上述夹角变小,而压迫十二指肠升段产生郁张。因此又称为“肠系膜上动脉压迫综合征”。

十二指肠淤滞症有何X线临床表现?
本病病程一般较长。轻者可无明显症状,重者多有上腹部闷胀、嗳气、疼痛、恶心、呕吐等。部分病人取俯卧位或右侧卧位,症状可得缓解。
X线表现:
①十二指肠梗阻性表现:钡剂通过十二肠升段受阻,其上扩张。轻者仅为十二指肠舒张,蠕动活跃亢进,逆蠕动多次发生;严重者十二指肠明显扩张,蠕动及逆蠕动频繁,钡剂可反流入胃,甚至出现胃扩张。
②十二指肠升段笔杆状压迹:这一征象并非常见。表现为升段有光滑整齐的纵行压迹,状如“笔杆”,黏膜纹变平。
③体位改变的影响:十二指肠梗阻、淤张现象,常于立位、仰卧位时显著,而于俯卧位、胸膝卧位或向上推压小肠时缓解或消失。


【版权声明】本平台属公益学习平台,转载系出于传递更多学习信息之目的,且已标明作者和出处,如不希望被传播的老师可与我们联系删除
更多影像内容请*载下**放射沙龙APP,免费读片线上交