书写本篇,意在提醒大众,无症状的“胸壁结核”会有多种表现;更是为我们乳腺外科的同行犀利的鉴别点赞。

20+的女孩子,由于左侧RF肿胀,当地医院简单检查后以“左侧乳腺占位”为行手术转入我院乳腺外科。如此年轻的病人自然也受到了额外的重视,即使是再平常不过的穿刺病理活检也没有轻易实施。
但,细致的检查中,我的同行发现了乳房肿胀疼痛的原因,应该是在筋膜后方的占位引起。随即经过我的会诊初步考虑“胸壁结核并胸腔寒性脓肿”。

短短的时间,侯医生就接诊了两例首诊“乳腺占位?”最终是胸外科处理的疾病,这得益于我们兄弟科室敏锐的眼光和鉴别,更让我有了一篇科普的设想。
结核,首先让人想到的是肺结核。只是耳闻目睹的多了,就停留在了非医学的固念了:胸部的结核,没有症状也没有肺部的结节?

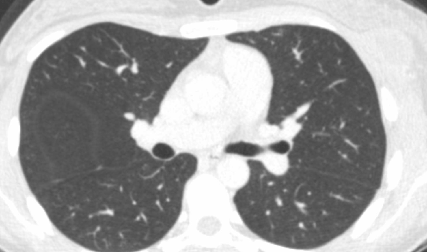
真的如此,且看动态的CT影像,似乎肺部干净的异于常人,如果不是那乳房后方肋骨内外的肿块,没有谁会想到没有丝毫的低热、畏寒、盗汗......毫无症状的年轻人真的有了疾病!
就在昨天,一位现在负责某大学教师应聘的高中同学打来电话,咨询一位入职体检怀疑“结核性胸水”的情况如何处置。和平时期、丰衣足食的年代,那电影电视中我们常见的“痨”似乎早已没了踪影,非也。

毕竟侯医生不能和结核病专业人士相比,毕竟我们处理的只是那些经手术的非急性期以及非传染性的陈旧病变。刚刚过去的3.24世界防治结核病日的硝烟仍在,结核的防治仍然严峻和漫长。
这一位毫无全身症状的年轻人,进一步进行了结核相关的检查后(TB-DOT\SD弱阳性,TBIgG/IgM阴性),在结核病防治机构建议下,侯医生再次阅片分析病情。
可以看到足以乱真的“乳腺占位”,但其实是位于肋骨外的富有囊壁的包块膨胀所为:

MPR重建,清晰地看到胸腔内外的结构如此相似,应该有着隐性的“通道”,如果仅仅处理胸壁病变,绝对的徒劳无功。

侯医生特地制作的动态影像,更能让您一目了然的理解,切除小段儿肋骨的必要性、清除胸腔内肺表面纤维板的重要性。

其实,自我细致阅片、加工的过程,便是如战场“沙盘”演练般,读懂了手术也就有了章法。
腋下纵行的小切口,完整切除了乳房下方包块并局部的肋骨、胸腔纤维板剥脱以及后胸壁小占位的切除......最小的创伤、最大的美容效果,最彻底地切除冲洗引流以及根据病理必要的术后治疗才是预防复发的关键......

看到这里,您不禁会问,经常看到侯医生会诊给出的意见“考虑肺结节为结核性肉芽肿可能性大”,原以为结核就是肺部的表现,不曾想还有如此更为隐蔽的肺外表现。
是啊,更感谢我的乳腺外科的兄弟,没有他们更为专业眼光下的鉴别,便没有了这完美的“切除”(结核冷脓肿穿刺窦道的感染经久不愈并不是单纯抗结核药物可以解决的)。

肺结节特别是实性结节更如本例中后胸壁胸膜点状钙化的结节,一定要想到结核的可能;而结核,一定要想到肺外的可能,有的侯医生可有作为,而大多更需要专科医院的综合处理。
本文也献给为结核防治辛劳的医务工作者,更献给渴求医学营养的广大朋友。
