
阅读腹部X线片是每一位外科医生的基本功,尤其对于胃肠外科医生来说,这是观察肠道生理、病理必不可少的检查。任尔脱垂梗阻或炎症,难逃X线的火眼金睛。以下分享一些医学同仁整理的阅片知识,共同学习。
1.胃肠细绳征(胃肠线征、绳征、绞索现象)

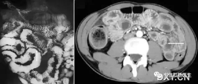
★ 左图:克罗恩病 X 线小肠钡剂灌肠,病变肠腔不规则狭窄(白色箭头),段壁僵硬,呈节段性分布;右图:CT 横断面示小肠肠壁节段性增厚,肠腔狭窄(白色箭头)。
■ 影像表现:在小肠钡剂检查中,小肠形成类似于粗糙棉线一样的细钡线。
■ 征象解析:胃肠道严重狭窄,导致内腔呈线样改变,胃肠细绳征经常作为内腔狭窄的一个术语,最初用于描述克罗恩病的可逆性狭窄。狭窄原因是由于严重溃疡引起易激和痉挛所致的不完全性梗阻,且可以发现狭窄与扩张交替。当狭窄主要由水肿和痉挛引起时,狭窄程度不是一致的,如小肠壁因纤维化而增厚,则肠腔的内径表现为一致变窄。黏膜被纤维坏死组织所替代,偶尔黏膜岛仍可被发现。
■ 讨论:胃肠细绳征己被证实为克罗恩病的特征性表现,最常出现在末段回肠。早期克罗恩病的肠道异常包括粗绒毛征、皱襞增厚和阿弗他溃疡。沿着肠系膜缘的线样溃疡是小肠克罗恩病最重要的影像特征之一,溃疡平行于短缩的、凹入的或者僵直的肠系膜缘。相邻的肠系膜增厚和回缩,特别在有受侵肠段的连接处。胃肠细绳征的出现高度提示克罗恩病,但它也可在其他疾病中出现。
2.珠链征(串珠征)

★ 图示小肠梗阻患者,左侧卧位。气泡(箭头)为环状皱壁间的气体潴留。
■ 影像表现:珠链征可见于小肠梗阻患者的立位或侧卧位腹部 X 线平片,由一些斜行或水平走向的小气泡排列构成,形似一串珍珠,因此称为珠链征。
■ 征象解析:串状排列的气泡代表显著扩张的积液的小肠闭襻内嵌在黏膜皱壁之间的气体影,X 线摄影的半月效应使被液体围绕的气泡呈卵圆形或圆形。珠链征的形成取决于气体积液的小肠襻和小肠蠕动亢进同时并存。
■ 讨论:肠梗阻是一种常见的外科急腹症。X 线平片对梗阻的存在、性质、部位、程度及可能原因的诊断有一定帮助。无论什么性质的肠梗阻,基本 X 线表现为肠腔胀气、气液平面。若闭襻内充液多而气体少时,嵌在粘膜皱襞之间的气体影在 X 线立位或侧卧位腹部 X 线平片上可为一串圆形或卵圆形的透光区,称为珠链征。
认识珠链征的重要性与小肠梗阻的临床表现有关。小肠梗阻的典型临床表现有腹部柔软、膨隆和肠鸣音亢进。然而,主要为液体充盈的小肠完全性梗阻患者,由于没有气体产生气过水声,因而小肠扩张可能不明显,肠鸣音可能正常或减弱,但立位或侧卧位腹部 X 线平片仍有可能显示珠链征。了解珠链征这一重要 X 线表现,有助于避免遗漏临床诊断困难的病例。
3.咖啡豆征(莱豆征、弯管征)

★ 一例绞窄性性肠梗阻形似「咖啡豆」
■ 影像表现:仰卧位腹部平片上表现为肠管透亮区形成类似咖啡豆样的形态。
■ 征象解析:肠管部分性嵌闭时,扩张的闭襻内因充气而透明,正中为折叠后相靠近的两端肠内壁形成的条状致密带,形如咖啡豆,称咖啡豆征。咖啡豆征是乙状结肠扭转的经典 X 线表现,是因为乙状结肠闭襻积气扩张,肠管的内侧壁并列形成咖啡豆征的裂隙,而扩张肠管的侧壁形成咖啡豆征的外侧壁。
■ 讨论:咖啡豆征可以用来描述小肠闭襻型梗阻,但更多用于描述乙状结肠的闭襻型梗阻。假如仰卧位腹部平片不能明确诊断时,行单纯的钡剂灌肠检查,在扭转的部位会出现钡柱突然中断,而呈鸟嘴样或鸟嘴征。但钡剂强制性通过扭转部位可能会导致穿孔或使不完全梗阻转变成完全梗阻。当患者出现肠缺血或肠穿孔时,不能行钡剂灌肠检查,而应立即行手术治疗。
另一些因素可以在 X 线片上形成类似乙状结肠扭转的征象。结肠扩张并形成肿块样影而没有梗阻点时表现为假性梗阻,常继发于长期使用腹痛药或缓泻药后患者。直肠内有气体,通常会提示假性梗阻而不是乙状结肠扭转。可用 2 种投照体位来论证:右侧卧位或俯卧侧位,明确区分假性梗阻和乙状结肠扭转需要钡剂灌肠检查。
扩张冗余的横结肠会有类似乙状结肠扭转的征象,但它的特征是腹部结肠向头部延伸形成 U 形,而并非起源于盆腔。盲肠扭转很少误诊为乙状结肠扭转,尽管两者都有结肠形成的朝向上腹部的扩张肠襻,但盲肠扭转仅只有 1 个气 - 液平面,而乙状结肠扭转可以有 2 个气 - 液平面。
4.双泡征

★ 男婴,14 天,CT 上可见「双泡征」(箭),肠系膜上动、静脉排列正常
■ 影像表现:腹部 X 线平片上表现为上腹部出现 2 个含气囊腔样结构,分别位于左上和中线右侧略偏下,立位可见液气平面,远端无充气或仅有少量充气。该征象还可见于上消化道钡剂或超声检查。
■ 征象解析:双泡征是新生儿或婴儿十二指肠梗阻的特异性表现。十二指肠梗阻时,梗阻近端的十二指肠和胃呈进行性积气、积液并扩张,形成所谓的双泡征。
■ 讨论:双泡征多见于十二指肠闭锁,也可见于十二指肠狭窄、环状胰腺或肠旋转不良等。根据双泡征及其伴随征象可大体判断梗阻的程度及原因,若双泡较大且远端充气,则提示十二指肠完全梗阻(十二指肠闭锁);双泡较小且远端有或多或少的充气,则多为不全梗阻(肠旋转不良、十二指肠狭窄、环状胰腺等)。
另外,当不全性梗阻因气体未进入梗阻远端或梗阻远端少量充气被肠壁吸收,可表现为单纯的双泡征。另一方面,当双泡征远端肠管充气时,并不能排除完全梗阻的可能,因十二指肠闭锁合并胆管发育异常时,梗阻近端气体可通过异常胆管进人梗阻远端。因此,在判断十二指肠梗阻程度时,不能依赖于梗阻远端有无充气。而应全面观察,综合分析,必要时行钡剂或超声检查。
5.足球征(橄榄球征、气顶征)

■ 影像表现:在仰卧位腹部 X 线平片上,可见一个大的卵圆形透光影像,形似足球(橄榄球)。
■ 征象解析:此征象多见于婴儿自发性或医源性胃肠道穿孔所致的气腹,名为橄榄球征似更为妥当。球的长轴从头侧向尾侧,呈钝圆形。卵圆形的透光影代表了腹膜腔内的大量气体,在仰卧位时,这些游离的气体聚集在腹腔内脏的前方与前腹壁的壁腹膜之间产生一个形似橄榄球的外观。
■ 讨论:聚集在腹腔内的游离气体足够多时,才能在仰卧位腹平片上 看到的大的卵圆形透光区,形似橄榄球,代表腹膜腔内聚集大量气体,称为足球征或橄榄球征。一般多见于婴儿或新生儿。导致气腹的原因多种多样,但在出现足球征的气腹患儿中,绝大多数是由于自发性或医源性的消化道穿孔所致。少数情况下,当只有少量气体位于肠腔外时,可不出现足球征,仅仅看到肠壁两侧或局部的透光区,这时需要侧卧位或侧位投照来进一步诊断。
6.双壁征

★ 气腹衬托下肠道外壁也可以清晰显示(红箭头)
■ 影像表现:在仰卧位腹部 X 线平片上,胃肠道腔内气体显示内壁的同时,气腹可将胃肠道外壁显示出来。
■ 征象解析:正常情况下气体仅显示肠壁内腔表面的轮廓而不显示浆膜表面,胃肠道外壁的密度类似邻近腹腔的内容物。而当腹腔内有适量的自由气体存在时,这些自由气体更可能集中在肠撵间,因此可以见到肠管的外壁,这就是双壁征的典型表现。当肠腔充满液体,内壁不可见,只有外侧壁是可见时,表现为不典型的双壁征。
■ 讨论:气腹的出现常提示病变严重,是急诊观察中应引起注意的征象,故认识其在常规的腹部 X 线平片表现非常重要。气腹常见的病因学有 4 种:医源性、自发性、外伤性和其他各种原因。气腹临床表现不特异,有的根本没有症状,也有的有明显的腹膜刺激征,因此详细询问病史很重要。
研究表明发现少量腹腔游离气体敏感的方法是腹部立位平片,能迅速发现膈下游离气体。对不能站立的患者,一种替代方法是左侧卧位,优质的侧卧位片与立位片一样,能发现 <1 ml 的腹腔游离气体。CT 能发现 1 ml 的游离气体,并帮助证实平片可疑的气腹。气腹有许多可能的平片表现,最普通的征象是右隔下游离气体,因为肝脏高密度轮廓的勾画使其表现比较明显。
双壁征有时能被邻近的肠襻干扰,因而在肠襻的内部也可出现相邻肠襻壁的轮廓,导致误诊为游离气体。腹部 CT 中少数剩余的增强剂覆盖在肠腔内表面也可增加肠壁密度形成假双壁征。对于不明确的病例,可通过左侧卧位照片或腹部立位片来证实。
7.十二指肠风向袋征(晕轮征 )

★ 非常典型的十二指肠「晕轮征」
■ 影像表现:十二指肠风向袋征见于口服钡剂上消化道造影。该征象包含一个充满钡剂的囊袋及其周围一圈边界光整的窄的透光线,充钡的囊袋完全位于十二指肠内,钡剂越过该囊袋到达十二指肠远端。
■ 征象解析:十二指肠风向袋征被认为是十二指肠腔内憩室的典型表现。它是由于胚胎期第 7 周时前肠腔上皮细胞吸收后正常十二指肠再通时发生异构后不完全再通所形成的,随着时间推移在肠管持续不断的蠕动下,该隔膜被动地逐渐延长,形成腔内憩室,并形成风向袋状结构。由于上消化道造影时形成憩室周围薄透光带,因此也有人称其为晕轮征。
■ 讨论:十二指肠腔内憩室是少见的发育异常,通常见于十二指肠降部。十二指肠腔内憩室临床表现没有特异性,主要包括上腹部疼痛、恶心、腹胀等。通常在 30 岁以后出现症状,青少年患者需要与其他引起先天性梗阻的疾病进行鉴别。这些病变主要有腔内病变(如闭锁、狭窄,重复),以及腔外压迫(如环状胰腺、肠旋转不良伴有十二指肠索带等)或两者并存。
十二指肠腔内憩室的诊断主要依据上消化道造影。其主要表现类似一个风向袋吹向十二指肠。该影像表现具有特异性。当憩室被液体或其他物质充填,或造影时憩室内未被钡剂充盈时,其表现可能类似于带蒂息肉、乳膜下肿瘤或胆总管囊肿。
8.苹果核征(餐巾环征 )

★ 左图:在升结肠见狭窄段,扩张受限,粘膜僵硬、破坏;右图:吃剩的苹果核

★ 男性,66 岁,乙状结肠癌
■ 影像表现:苹果核征是指在钡剂灌肠检查时出现结直肠局部狭窄,这个狭窄表现为两端呈肩状,中央的管腔狭窄,并有乳膜破坏,边缘不规整,形似被吃剩的苹果核。
■ 征象解析:癌肿沿肠壁环周浸润超过肠管周径的 2/3 时,可产生本征象。其两端为环堤形成的隆起边界,中央的管腔狭窄段为癌性溃疡所形成的癌性隧道。
■ 讨论:结直肠癌在双对比造影中可表现为斑块状、息肉状、半环状(或鞍状)、环状及毯状。苹果核征最常见于环状结直肠癌。在钡剂灌肠造影中环状结直肠癌表现为肠管的圆周状狭窄,与相对正常的肠段交界部界限清楚,形态僵硬,狭窄长度一般以 3~6 cm 为多见,并有黏膜破坏,边缘呈大陆架状悬垂状。
管腔狭窄表现为苹果核征者以溃疡型癌多见,从病理学表现上看,构成苹果核征狭窄段两端为环堤形成的隆起边界,中央管腔狭窄段为癌性溃疡形成的癌性隧道。当浸润超过管腔周径的 2/3 时,就可引起管腔狭窄表现为苹果核征。当癌肿沿肠管形成环周浸润时,两侧的环堤则相互融合消失,中央形成癌性溃疡隧道,癌肿的两端则存留环堤,形成病灶两端的隆起边界。
9.朝北征

★ 男性,43 岁,乙状结肠扭转。仰卧位腹部 X 线平片显示明显扩张的乙状结肠(S)上缘到腹部最上方,横结肠(T)穿过扩张的乙状结肠(S),箭头为横结肠的下缘。
■ 影像表现:仰卧位腹部 X 线平片提示明显扩张的乙状结肠上升至腹部最上缘,位于横结肠的上方。
■ 征象解析:当患者仰卧时,肠腔内的气体聚集在横结肠,是结肠最靠近腹侧的一段。横结肠穿过正中线,把腹膜腔分为结肠系膜上、下半球。因此,横结肠被认为是腹部的赤道。正常情况下,乙状结肠被限制在南半球,尾部朝向横结肠(结肠系膜下)。在乙状结肠扭转时,可见乙状结肠的顶部向头侧移位或到赤道以北(结肠系膜上),称为朝北征。
■ 讨论:肠扭转是一段肠管沿其系膜长轴旋转而造成的闭襻性肠梗阻,肠系膜过长,系膜根部附着处过窄、过松或粘连、挛缩等为肠扭转发病的解剖因素。乙状结肠和附属的肠系膜必须围绕着至少一个固定点旋转,这种旋转引起闭襻性肠梗阻及不同程度的动静脉供血不足。早期诊断迅速减压,可以阻止肠管的缺血和穿孔。
乙状结肠扭转的典型 X 线表现:卧位腹片见乙状结肠极度扩张,其肠管内径多在 10 ~15 cm,甚至可达 20 cm 以上。肠皱襞因极度扩张而不能显示。扩大的乙状结肠弯曲呈马蹄形,马蹄的圆顶高达上腹或隔下两指向下直达盆腔,马蹄的中间为两肠内壁合并构成的直线形高密度影从中腹部直伸人盆腔,称集中线征。
10.拔塞钻征(螺纹征、螺旋征)

★ 左图:立位; 右图:卧位 (女性,12 岁,因腹痛、恶心呕吐一周,腹呈绞痛。腹痛时可扪及包块,呕吐物为胆汁,大便不成形。手术所证实为中肠旋转不良伴中肠扭转)
■ 影像表现:中肠扭转患者,上消化道造影检查的正位和侧位片上,十二指肠升部及与其相邻的空肠呈螺旋状走行,形似拔塞钻。
■ 征象解析:小肠系膜为附着于腹后壁的较大的腹膜反折,空肠和回肠均由小肠系膜连于腹后壁。小肠系膜依次沿十二指肠空肠曲、腹部左上象限脊柱左侧、腹部右下象限回盲部呈斜行走行。前后位 X 线片上正常十二指肠水平部和升部越过脊柱至左侧,然后向上达十二指肠壶腹水平面。侧位 X 线片上十二指肠壶腹向后走行,降部向下走行,水平部向前走行,升部向上走行。
肠旋转不良合并肠扭转时,十二指肠水平部、升部以及邻近空肠没有跨越中线而是向下走行,从而此段肠撵呈螺旋形,形成拔塞钻样表现,其近端十二指肠常常扩张。近来观点认为,十二指肠空肠曲未延伸至脊柱后方时也能形成拔塞钻样表现。除了十二指肠上部和降部外,中肠扭转可以累及整个小肠。
■ 讨论:肠旋转不良时,肠系膜根部变细。十二指肠空肠曲(Treitz 韧带处)几乎总发生异位,最典型的部位是十二指肠空肠曲下降而异位至中线右前方。肠旋转不良最严重并发症是肠扭转。由于小肠系膜仅在肠系膜上动脉根部有附着,当固定不良的十二指肠与上部空肠环绕肠系膜根部发生顺时针扭曲时,易形成中肠扭转。肠扭转多发生于新生儿,也可发生于婴幼儿和儿童。
肠旋转不良的典型临床表现是胆汁性呕吐,因此出现胆汁性呕吐的婴幼儿应考虑到肠旋转不良的可能,立即进行影像学检查。新生儿肠旋转不良合并中肠扭转时,早期多表现为胆汁性呕吐、少便或无便,晚期甚至有血便。检查时多表现为脱水、营养不良、脐剑之间有固定性压痛、腹部不胀,初期往往无腹膜炎表现。
肠旋转异常首选检查方法通常是腹部 X 线平片,必要选择胃肠道造影检查。正位和侧位 X 线检查是显示十二指肠、空肠连接区位置的关键,在前后方向投影显示最清楚,患者采用仰卧左前斜位可以使对比剂充盈胃腔,然后患者旋转至俯卧右前斜位从而使对比剂流入十二指肠,侧位 X 线检查可以准确观察十二指肠的走行方向。
注明:本文来源于丁香园医学论坛,由书信肛肠医生整理。
你可能还想看:
影像医生必读资料!6种MRI短T1信号的颅内病变
六种质子泵*制剂抑**(拉唑类)的区别和用药风险
「收藏」临床医生必备的读片基本功