
第10期
国产组合助力取栓“一把通”
——Ewata球囊导引导管联合Reco支架取栓分享
术者:霍晓川 王庆东 刘爱华
“一把通啊!”助手兴奋的地叫道。
与此同时,导管室里“观战”的学员们鼓起了阵阵掌声。
现场取栓班多名学员观摩了一场由国产组合演绎的满怀期待的现场直播。
这是一场与时间赛跑的急诊取栓,患者在静脉溶栓无效的情况下快速转运,进行“桥接治疗”。
在国产球囊导引导管Ewata近端血流控制下,通过国产Reco取栓支架远端拉栓,患者的血管获得了完美的再通。
术后第二天,瘫痪的肢体恢复了力量。
病例简介
患者,男,57岁。
主诉:突发右侧肢体无力伴言语不清6.5 h。
现病史:患者6.5 h前外出锻炼突发右侧肢体无力,表现为右上肢上抬无力、右下肢不能站立行走,讲话困难,尚能理解他人讲话。
当地医院行颅脑CT未见明显异常,考虑为急性脑梗死,给予阿替普酶静脉(78.3 mg,按照0.9 mg/kg)溶栓治疗,溶栓结束后患者症状未见明显好转,意识水平逐渐下降。
抵达我院急诊时发病6.5 h,NIHSS评分18分。
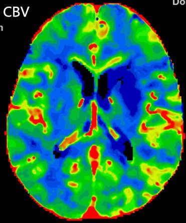
多模式CT影像提示:左侧大脑中动脉M1段闭塞,存在CBF-CBV不匹配。
既往史:高血压病10年;3年前右侧胫腓骨骨折,钢板内固定;否认糖尿病、冠心病。
体格检查:BP 138/79 mmHg。
神经系统查体:昏睡,运动性失语,双眼向右凝视,右侧鼻唇沟浅,伸舌不配合,左侧肢体肌力5级,右侧肢体肌力0级,右侧肢体肌张力降低,腱反射(++),右侧Babinski征(+)。
术前影像

向右滑动查看更多
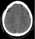
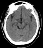
图1急诊颅脑CT

向右滑动查看更多
图2 CTA显示左侧大脑中动脉M1段闭塞

向右滑动查看更多
图3 CTP存在CBF-CBV不匹配
1.术前诊断:急性脑梗死,左侧大脑中动脉闭塞。
2.手术指征:患者应用阿替普酶溶栓后症状仍持续加重,CTA示左侧大脑中动脉闭塞。CTP存在CBF-CBV不匹配,有介入治疗指征。
3.手术方案:急诊取栓术。
4.手术风险:斑块脱落栓塞、穿支事件、急性、亚急性支架内血栓形成、动脉夹层。
治疗过程
患者取平卧位,全身麻醉成功后,右侧腹股沟区消毒铺无菌巾单,右侧股动脉行Seldinger穿刺,置入8F动脉鞘。150 cm泥鳅导丝携带5F单弯造影管超选进入左侧颈内动脉,造影显示左侧大脑中动脉M1段闭塞,M1及远端血管未见显影,患者左侧颈总动脉与主动脉弓成角较大,担心直接使用球囊导管到位困难,采取“长交换技术”,使用加硬超滑泥鳅导丝颈外支撑(260 cm,0.035),撤出单弯造影导管,8F Ewata球囊导引导管及5F 115 cm Navien中间导管沿加硬超滑泥鳅导丝到位,进一步导引入左侧颈内动脉,将Ewata球囊导管固定于LC1末段,接高压肝素盐水持续稳定滴注,路图引导下,送入Synchro微导丝(300 mm 0.014)及Rebar-27微导管组合,微导丝顺利通过大脑中动脉闭塞处,将微导管固定在LM2段上干,撤出微导丝,微量造影显示M1末段及以远显影,提示在真腔,撤出微导丝,沿Rebar-27将Reco取栓支架送入,当取栓支架与微导管末段Mark重合时,将微导管及支架撤到LM1段末段,固定支架导丝,缓慢撤出Rebar-27微导管,显示支架打开良好,手推造影,显示LM1段通畅,M1段远段及以远血管显影良好,等待5 min,再次手推造影,M1段远段及以远血管显影良好,此时应用等比例造影剂,将Ewata球囊导引导管远端球囊充盈,关闭滴注,中间导管内“冒烟”,显示造影剂滞留,用20 ml注射器,给予负压抽吸中间导管,同时回拉微导管及取栓支架,取出大量血栓。
继续应用注射器,在中间导管中回抽血液后,少量“冒烟”,提示颈内动脉可疑血栓影像。撤除中间导管,在Ewata球囊导引导管内抽吸,抽出少量栓子。再次造影,LM1及远端血管显影良好。等待10 min,再次造影,LM1及远端血管显影良好,手术结束。

向右滑动查看更多
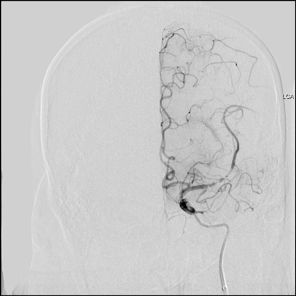
图4 单弯造影管进入左侧颈总动脉后造影:LM1段闭塞

图5 Rebar-27微导管到位,微量造影显示远端血管显影

图6 Reco取栓支架打开

图7 中间导管冒烟证实支架覆盖血栓

图8 Ewata球囊导引导管到位充盈后准备拉栓

向右滑动查看更多
图9 血栓取出后,给予造影,LM1及远端血管完全显影

图10 Reco取栓支架及取出血栓
临床预后
患者术后第一天NIHSS评分由18分下降到5分。

向右滑动查看更多
图11 CTA提示血管通畅
出院时NIHSS评分3分(右上肢1分,右下肢1分,面瘫1分)。
讨论
Reco ® (瑞可 ® ) 脑血栓取出装置是首款国产取栓支架,具有快速取栓、高效复流的特点。该支架采用了闭环、开放卷曲设计,一体化连接设计(推送丝与取栓网不可解脱),平衡优化设计。

Ewata球囊导引导管是尼科公司在进行临床研究的一款国产球囊导引导管 。
1.使用球囊导引导管进行取栓是临床操作必需材料
①选择合适规格和尺寸的Ewata球囊导引导管
②20 ml注射器、1 ml带标准鲁尔接头的注射器
③生理盐水和肝素盐水连续冲洗系统
④合适的血管鞘或导管鞘套件,导丝,微导管,脑血栓取出装置。
⑤60%造影剂,生理盐水和造影剂按50∶50比例混合作为球囊膨胀液。
2.临床操作中使用Ewata球囊导引导管的注意事项
①在进入导管鞘前,用生理盐水润湿球囊导引导管远端,推进时尽量用最小的力。如果外管在使用过程中损坏则停止使用。球囊膨胀或收缩过程中禁止移动。
②球囊到达部位不能超过C2段。
③球囊使用前可对球囊进行预充盈,注射液体不能超过0.1 ml,观察排气是否完全。
④回撤、退出产品前,应通过透视确定球囊已完全收缩。
Ewata球囊导引导管产品信息

Recommended reading

|Reco特约·第9期 | 分享Reco支架M3段取栓一例
|Reco特约·第8期 | 双椎闭塞命悬一线,国产支架发威开通
|Reco特约·第7期 | A2M2拉栓,尼科Reco支架一样胜任
|Reco特约·第6期 | 双剑合璧,势如破竹——右侧颈内动脉末端RECO双支架取栓1例
|Reco特约·第5期 | 吸栓、支架取栓联合多支架植入挽救超时间窗串联狭窄闭塞病人
|Reco特约·第4期 | 宋立刚教授:基底栓塞病情急 国产支架显神威
|Reco特约·第3期 | Reco在手,取栓不愁——国产Reco取栓支架病例分享
|Reco特约 | 取栓+支架辅助治疗基底动脉急性闭塞合并原位狭窄一例
|Reco支架取栓 | 霍晓川教授:病例分享及取栓思路详解

神经介入在线作为中国卒中学会神经介入分会的官方公众号,现已成立三年。作为最早创建的神经介入专业的学术交流平台,由缪中荣教授团队倾力打造,秉承合作、创新、交流的宗旨,为医务工作者提供国内外神经介入领域最新资讯、指南,聚焦难点深度评论,引领学术前沿。
2019年致力搭建神经介入领域国内外最新医学资讯、研究进展、病例讨论、趣味科普等各项学术交流互动共享平台,整合医疗资源,发挥联盟优势,风雨共济,守候健康,我们在这里等你!

取栓培训班 报名入口