有些人往往不知不觉中发现自己的牙齿变长了,牙齿间出现牙缝,不但牙根开始暴露,甚至牙齿还有些松动,其实这是牙龈萎缩的症状,属于牙周病的常见症状。

所谓牙龈萎缩,它指的是牙根部位的牙龈退缩,将牙根暴露出来。虽然牙龈萎缩在老年人中最常见,但我国成年人中,由于牙齿健康情况差引发的牙龈萎缩越来越多,应当引起重视。
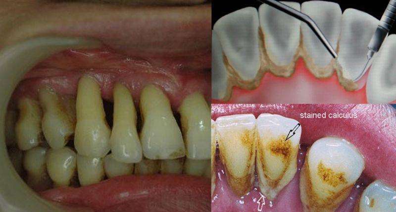
什么原因造成牙龈萎缩?
牙龈萎缩有两类:生理性牙龈萎缩以及病理性牙龈萎缩
生理性牙龈萎缩

随着年龄的增长,牙龈多少都会发生萎缩,会使牙根暴露,这种叫生理性萎缩,是无需治疗的,但可以通过保健延缓。
病理性牙龈萎缩
此类常常是由于牙石堆积、不正确的刷牙而产生的,需要及时治疗,如果未及时治疗会导致牙齿松动甚至脱落。

病理性牙龈萎缩的几种类型:
机械性牙龈萎缩
主要是由于牙刷不符合标准、刷牙方法不正确(如横刷法),牙齿意外受伤导致的松动,以及不良修复体等机械摩擦或压迫牙龈,都会造成牙龈发生机械性萎缩。

废用性牙龈萎缩
主要由于牙齿错位导致部分牙齿没有了咀嚼功能,牙周组织缺乏必要的功能刺激,长期处于废用状态,可使牙龈、牙槽骨吸收。
牙龈萎缩的治疗方法
牙龈萎缩是不可逆的,重点应放在预防上。

养成良好口腔卫生习惯
使用符合国家标准的牙膏及牙刷。每天刷牙2-3次,尤其是临睡前。在不方便刷牙的时候,可用漱口水、茶叶水漱口来代替,以保持口腔清洁。
定期口腔保健
每6到12个月做一次专业洗牙,保持牙齿清洁是延缓牙龈萎缩的最有效的方法,是预防牙龈炎症的有效措施。已有牙周病症状的患者,应及时接受系统牙周治疗。

掌握正确的刷牙方法
配合使用牙缝刷、牙线以清理牙刷难以彻底清洁的牙间隙。最好使用含氟牙膏,用刷毛较软,顶端圆钝的牙刷,注意动作轻柔,牙齿的每个面都要刷到,特别是最靠后的磨牙。
治疗引发牙龈萎缩的全身性疾病
如内分泌紊乱可导致牙龈萎缩;贫血和缺乏维生素C,易导致牙龈出血;糖尿病人容易发生口腔炎症……在治愈原发疾病之后,牙龈萎缩也会随之好转。

牙龈萎缩是导致牙齿松动、牙齿脱落的前兆,我们不仅要及时预防牙龈萎缩,更要在出现牙龈萎缩的时候及时治疗。
牙龈健康小贴士:
1、叩齿:每天早晚空口咬合牙齿数十次。咬合时应铿然有声,这有增强牙周组织和增进血液循环的作用,常做可使牙齿坚固而不痛;
2、注意饮食营养,适量多吃青菜、水果、豆制品、牛奶、鱼、蛋类、粗粮、纤维多的食物,戒烟戒酒;
3、注意休息,多吃水果蔬菜。牙龈萎缩的人一般都是不太注重休息,疲劳过度,导致牙龈吸收维C困难。

如果觉得这篇文章不错,就请收藏或分享给好友吧。添加雅悦齿科为好友,学习更多爱牙护齿科学方法。公众号:yyck2001