医脉通编译整理,未经授权请勿转载。
导读
本文患者为42岁女性,因出现肉眼血尿,经检查诊断为膀胱炎性肌纤维母细胞瘤。患者血尿难以控制,遂采取根治性膀胱切除术治疗。

膀胱炎性肌纤维母细胞瘤(IMT)也称为膀胱假肉瘤性肌纤维母细胞增生,是泌尿生殖系统的一种罕见病变,由几种炎症细胞和肌纤维母细胞组成。肺、肝、口腔和软组织在内的身体多个部位均可受IMT影响。IMT的发病原因尚不清楚。1980年,学者Roth首次报道该类疾病。
IMT症状取决于肿瘤位置。大多数膀胱IMT患者可出现多种症状,如血尿、刺激性排尿和下腹痛。目前报道的病例以年轻男性和女性为主。在IMT的鉴别诊断中,必须考虑其他恶性梭形细胞肿瘤,如肉瘤样癌和平滑肌肉瘤。
诊疗过程
患者女,42岁,因难治性肉眼血尿住院治疗6月,尿液中偶有血凝块。入院时,患者有严重的血尿、血凝块潴留和膀胱过度膨胀等体征(Hb:7 gr/dl,Cr:3 mg/dl)。因为血凝块过多,通过Foley导管清除是不可能的。于是,患者进行了两次膀胱镜检查,以排出血块。由于严重的血尿和血凝块的存在,膀胱壁显示不清。
因为无法彻底清除血凝块并控制出血,患者接受了开放手术,将血凝块从膀胱取出。术中发现膀胱穹隆部、左侧壁和内壁各有3个大的出血性肿块,均予以去除(图1)。随后,患者行膀胱部分切除术。术后3天,患者情况良好,安排出院,并建议定期随访。病理报告显示为IMT。

图1 从患者膀胱中取出的肿块
二次入院然而术后6个月,患者因血尿复发、血凝块和盆腔内可见肿块再次入院。CT扫描显示膀胱壁及邻近组织(肌肉、腹直肌筋膜)受累,双侧淋巴结肿大。患者遂接受开放根治性膀胱切除术(ORC)、盆腔淋巴结清扫术(PLND)和回肠膀胱术。根治术后6月,患者无复发迹象。
病理分析
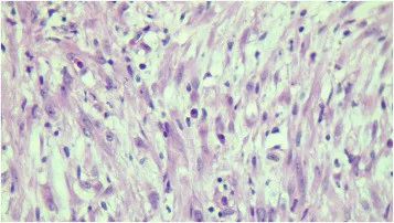
手术标本经显微镜检查显示肿瘤浸润,主要由梭形细胞组成(部分具有温和的核形态,有些具有核异型性),在血管粘液样水肿背景下呈束状排列。肿瘤细胞间可见由淋巴细胞、浆细胞、嗜酸性细胞和中性粒细胞组成的混合炎性细胞群。部分病灶肿瘤细胞体积较大,呈上皮样,有丝分裂活性增强。另外,还注意到肿瘤坏死后病灶。
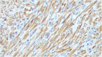
免疫组化显示,肿瘤细胞对波形蛋白、平滑肌肌动蛋白和ALK反应呈阳性,对Desmin和H. caldesmon反应呈阴性。考虑到肉瘤样病灶的特点,为排除未分化/肉瘤样癌,CK AE1/AE3、EMA、HMWK和P63在多个区均呈阴性反应。KI67在热点区域增殖活性约为30%。综合检查结果,炎症性肌纤维母细胞瘤/肉瘤应做主要鉴别诊断(图2、图3)。

图2 组织学检查显示(苏木精-伊红染色;放大倍数10×40),肿瘤主要由梭形细胞组成,部分具有温和的核形态,部分具有核异型性,在血管粘液样水肿背景下呈束状排列

图3 组织学检查(放大倍数10×20),ALK-1染色阳性
膀胱炎性肌纤维母细胞瘤
IMT的特点是梭形细胞增殖和炎症细胞浸润,可发生在任何器官,男女发病率相同。IMT最常见的症状包括肉眼血尿和排尿困难。据推测,多种原因如尿路感染(UTI)、既往手术或器械史、糖尿病、创伤、类固醇和免疫紊乱均可导致该肿瘤的发生。
根据世界卫生组织(WHO)的分类,IMT由于具有较低的远处转移风险而被指定为具有中等生物潜力的肿瘤。一般而言,建议完全切除肿瘤以避免局部复发。然而,也有采用抗炎药治疗而未进行根治治疗的报道。膀胱切除术不是IMT的常规治疗方法。本文患者首先进行膀胱部分切除术,效果不佳,因此进行了根治性膀胱切除术。
关于IMT在不同患者中复发的可能性,以及临床表现的不同,我们认为需要彻底切除病灶,并继续监测患者,才能做出及时、恰当的诊疗策略,如本文所述。对这类患者的随访没有标准化的时间表。考虑到25%的病例可能复发,建议每4到6个月进行一次随访。
医脉通编译整理自:
MohsenAyati, Mohammad Reza Nowroozi, Seyed AliMomeni. Radical cystectomy for management of inflammatory myofibroblastic tumor of the urinary bladder: A rare case report. Urology Case Reports Volume 27, November 2019, 100997