一次全国口腔健康流行病学抽样调查结果显示,25岁至44岁的中青年人群中,每4人中,就有一人缺牙,牙缺失似乎不再是老年人才有的专属疾病。
牙齿缺失能不能不补?
纠结这个问题的小伙伴们,先面壁思过五分钟,再看看缺牙不补的后果……
- 影响咀嚼功能
从功能上看,牙齿掉了后会难以正常咀嚼食物。由于一侧牙齿缺失,过度使用另一侧,也会导致另外一侧的牙齿严重磨损。
- 影响美观
只用一边牙吃东西,带动牙齿嚼的肌肉就会比另一边得到更多锻炼,所以惯用的那一侧脸就会比另外一侧更强壮,结果看起来一边脸大,一边脸小,影响颜值是无容置疑了……
- 越掉越多不是开玩笑的
缺牙这事儿,和多米诺骨牌的效应差不多,是个牵一发而动全身的连锁反应。
缺牙后,邻牙向缺牙处倾斜,对颌牙伸长,越来越多的牙齿移位、松脱 。不管是磕的、撞的、生病的,还是自然脱落的,缺牙时间一长,给余牙带来的危害都是一样的:加速脱落。
这时候再想镶牙种牙,会遇到更多的困难,所以牙齿缺了要尽早拜访口腔科医生,用合理的治疗方案来止损。
每位患者在修复缺牙时都会问2个问题:
1.有什么修复方式?
2.每种修复方式有什么区别?
常规的修复方式有3种:活动牙、固定牙和种植牙。
1.活动牙
活动牙常年稳居备选方案NO.1,也是最为人熟知的一种缺牙修复方式。
活动牙主要通过卡环(金属)等固位装置固定在余留的天然牙上,通过基托(红色塑料或金属)保持假牙在牙列中的位置,利用天然牙和缺牙区剩余牙槽嵴做支持,恢复缺失牙及其周围缺损组织的解剖形态和生理功能。
由于活动假牙费用低,被很多患者接受。但是活动假牙咀嚼效率低,患者常需多次复诊调改,并且需要较长时间去逐步适应,才能逐渐形成可接受的咬合状态。佩戴活动牙要求患者在每天进食后、睡觉前都要摘下做清洗,非常不方便。

2.固定牙
固定牙通过调模缺牙两侧相邻的天然牙,将邻牙作为基牙,将多个牙套连接起来,通过粘接剂固定在两侧的天然牙上,像搭桥的方式一样,所以也被称为固定桥。
这种修复方式在曾经一段时间内恢复了很多缺牙患者的咀嚼问题,大受青睐。但多年后,随之而来的问题也逐步出现。固定牙最大的缺点是对天然牙的伤害,它需要把本是健康的牙齿人为磨小,而且因为固定牙本身需要相邻的天然牙作支撑,所承受的咀嚼压力会传递到相邻的天然牙上,长时间下来也容易出现邻牙问题,得不偿失。

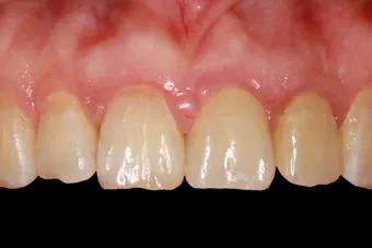
3.种植牙
与活动假牙、烤瓷牙牺牲周围牙齿保全自己的做法相比,种植牙是能和真牙打成一片的。
种植牙是将种植体(金属钛,可与人体结合)放入缺牙区的牙槽骨充当人工牙根,不依靠邻牙就能站稳脚跟。
种植牙形态美观、舒适、固位稳定,功能与天然牙近似,能高效地行使咀嚼功能,且无需磨损旁边的牙齿,对邻牙没有任何伤害。
无需活动牙类似的卡环或基托,没有异物感,寿命长,只要不是遇人不淑没种好,种上的牙齿至少能用30余年。
而且种植手术是一个较小的手术,类似拔牙手术,采用局部麻醉,手术只需要半小时左右即可完成,创伤小,术后2小时即可进食。缺点是种植牙的成本比较高、对口腔医生的技术要求也较高,治疗费用相对比较高。


医生会根据每个人的具体情况,包括患者个人期望、缺牙数目、牙槽骨条件、治疗时间、经济状况等,推荐不同治疗方案。这些方案各有利弊,也各有各的适应症,需要和医生商量决定。但无论选择哪一种,也比牙齿一直缺着好啊。
本文审核医生:
