点击「神经介入在线」可快速关注
(一)超急性期脑梗死支架取栓

模式图
病例1:超急性期脑梗死支架取栓术
》男性,64岁,因突然不能言语伴左侧肢体活动不灵2小时入院。既往有高血压病病史20年,糖尿病病史30年。
》入院时查体:血压176/105mmHg,嗜睡,双眼向右侧视,左侧肢体肌力0级,左侧病理征阳性。
》入院后行一站式头颅CT(头颅CT、CTA、CTP)。
》经家属签署支架取栓知情同意书后,推入导管室,行血管内检查及取栓治疗。
术前侧支循环评估

全麻下行Solitaire支架取栓术

》取栓后患者右侧大脑中动脉再通,血流恢复,但术后患者症状无改善。
病例2:超急性期脑梗死取栓后放颅内支架
》男性,72岁,因突然不能言语伴左侧肢体活动不灵1.5小时入院。既往糖尿病病史40年。
》入院时查体:血压165/100mmHg,嗜睡,双眼向右侧视,左侧肢体肌力0级,左侧病理征阳性。
》取栓后发现大脑中动脉M1段重度狭窄,放置颅内阿波罗支架后狭窄消失。

(二)颅内动脉瘤栓塞术

病例1:前交通动脉动脉瘤(Acom-An)
》男性,40岁,因头痛6个月、加重1天入院,头痛为全脑胀痛,疼痛较剧烈,为求进一步诊治就诊于我院门诊,按“头痛待查”收入我院。
》入院时查体:神经系统查体未见阳性定位体征。
》入院后行头颅MRA发现前交通动脉囊状动脉瘤。

病例2:后交通动脉动脉瘤(Pcom-An)
》女性,59岁,因一过性意识不清伴头痛20天入院,头痛为全头炸裂样疼痛,于当地医院检查后诊断为“蛛网膜下腔出血”保守治疗20天,现仍有头痛,为求进一步诊治入院。既往有高血压病病史40年,血压控制不详。
》入院时查体:项强3横指。

术前、术后DSA对比

》DSA检查发现右侧后交通动脉动脉瘤,全麻下行颅内动脉瘤栓塞术。
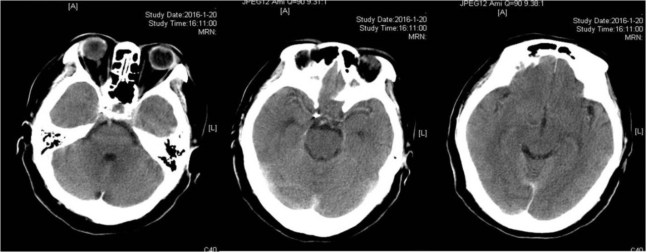
术后即刻复查头颅CT

》术后即可复查头颅CT未见蛛网膜下腔出血。
病例3:后交通动脉未破裂动脉瘤栓塞
》女性,23岁,因间断头痛、头晕6个月,加重2天入院,头痛全脑胀痛,不伴有恶心、呕吐,无耳鸣及听力减退,行头颅CT后按“头痛待查”收入我科。
》入院时查体:神经系统查体未见阳性定位体征。

(三)颅内外动脉血管成形术

模式图
病例1:颈内动脉起始段狭窄
》男性,65岁,因发作性右侧肢体活动不灵7天入院。发作时不能行走及持物,言语表达困难,持续约10分钟左右,自行完全恢复正常,7天来共发作3次,每次发作症状基本相同。
》入院时查体:神经系统查体未见阳性定位体征。

病例2:大脑中动脉M1段狭窄
》男性,56岁,因反复右肢体无力,每次发作约数分钟自行缓解。经药物治疗3个月TIA仍反复发作既往有高血压病史10年,糖尿病病史8年。
》自带CT提示:多发腔隙性脑梗死。入院诊断:TIA,高血压病,糖尿病。行全脑血管造影,发现左大脑中动脉M1段狭窄,狭窄处植入了支架。

病例3:椎动脉开口狭窄
》女性,65岁,间断头晕6个月、加重2天为主诉入院。 Ø头颅CT未见明显异常。头颅MRI示脑干、右侧小脑可见斑点状长T1长T2信号影,Flair呈高信号,DWI呈低信号。
》DSA检查可见左侧椎动脉起始段中度狭窄,行支架置入术后,患者头晕症状明显缓解。

神经介入中心展示
135编辑器
135编辑器提供非常好用的微信图文编辑器。可以随心所欲的变换颜色调整格式,更有神奇的自动配色方案。

