患者男,24岁,安徽省宿州市人。
一、李小勇脑脊液科入院前病史
第1家医院治疗36天
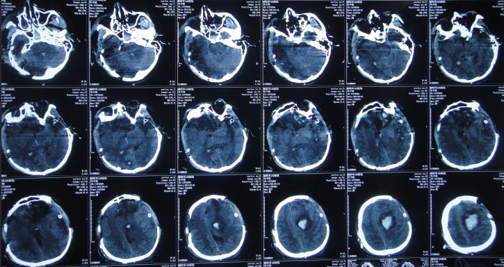
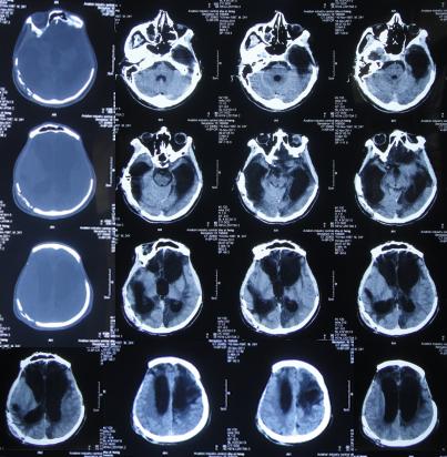
患者于2011年1月14日晚11点,意外发生车祸当即昏迷,120救护车将其送往第1家的安徽省合肥市的某三甲医院,查头颅CT:重度颅脑损伤,脑出血( 图-1 )。

图-1: 2011年1月15日头颅CT
当天急诊去骨瓣减压术;术后当天查头颅CT示双侧去骨瓣减压术后状态( 图-2 )。

图-2: 2011年1月15日术后头颅CT
术后患者生命渐趋稳定;但开颅术后26天即2011年2月10日,复查头颅MRI:轻度脑膨出,脑水肿( 图-3 )。

图-3: 2011年2月10日头颅MRI
第2家医院治疗近100天
在第1家医院治疗36天后,即在2011年2月20日,患者意识变清楚,能遵嘱简单活动,于是转回了第2家的家里附近的安徽省宿州市某三甲医院,进行康复治疗。
在第2家医院治疗45天时即2011年4月6日即开颅术后81天,仍能简单的遵嘱活动,能简单言语,如“爸爸、妈妈”;查头颅CT示:颅骨缺损,仍脑水肿,且出现脑室扩张( 图-4 );但没有给予处理。

图-4: 2011年4月6日头颅CT
在第2家医院治疗期间家属听说“做干细胞移植有助于康复”,并听说“做干细胞移植对患者百利无一害”,于是出院转至北京某三级医院。
第3家医院治疗66天
在第2家医院治疗65天后,即2011年4月26日即开颅术后101天,家属抱着“最大希望”将患者转至北京某三级医院,并很快外请某一“干细胞移植专家”前来给以“腰大池干细胞移植治疗”。
但干细胞移植治疗4天后即2011年4月30日(在第2家医院治疗69天即开颅术后105天),不仅没有任何症状的改善,反而出现发热症状,并意识逐渐变差,而且肢体强直表现更加严重的表现;此时行腰穿检查脑脊液和头颅CT检查,均提示有“颅内感染”并出现的“显然的脑积水表现(片子丢失)”。
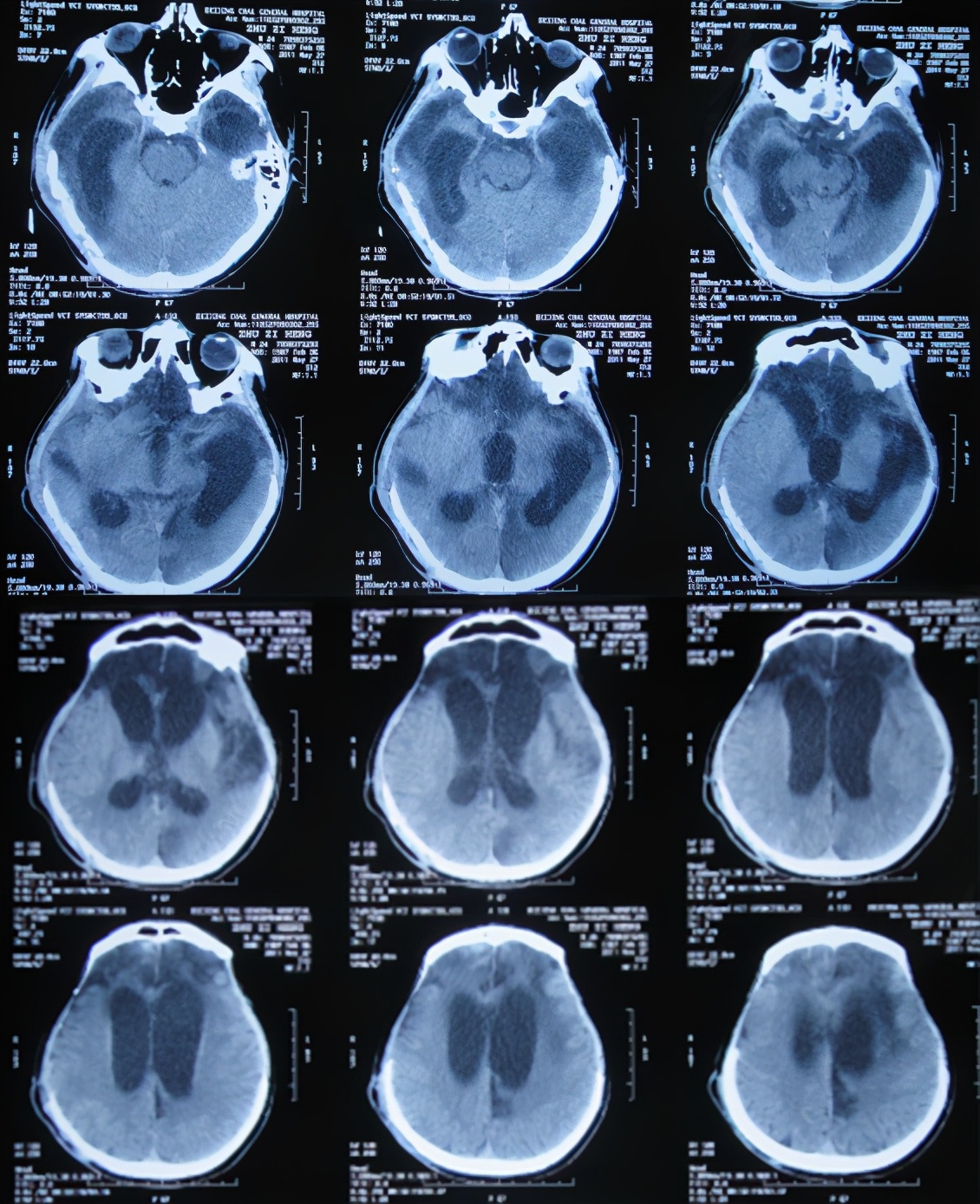
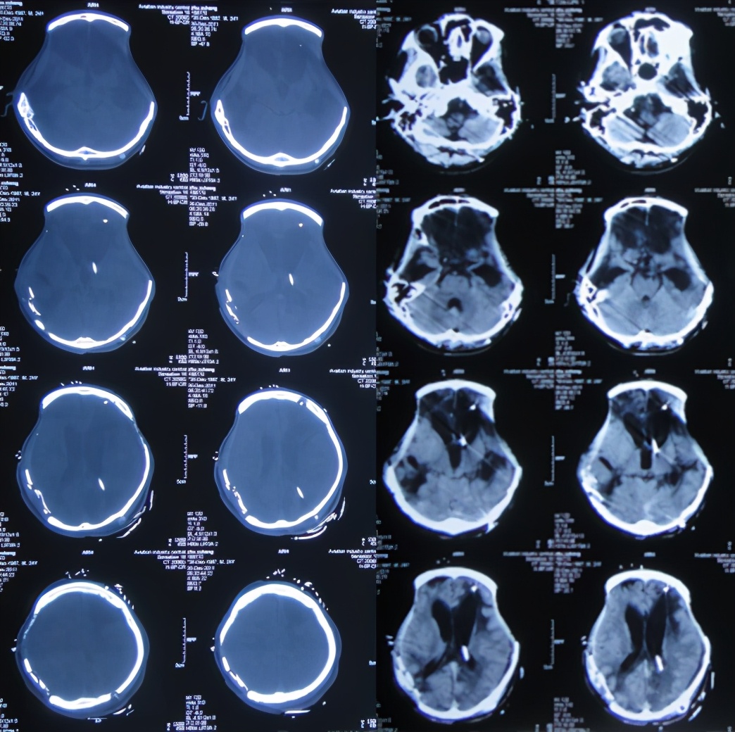
随后立即给予腰大池引流和抗感染治疗,27天后即2011年5月27日(干细胞移植治疗31天后即开颅术后132天),患者病情反而更加重,意识变差,仍间断发热;查头颅CT示仍脑积水和水肿变得更加严重( 图-5 ),因此不得不转入该院的重症监护室。

图-5: 2011年5月27日头颅CT
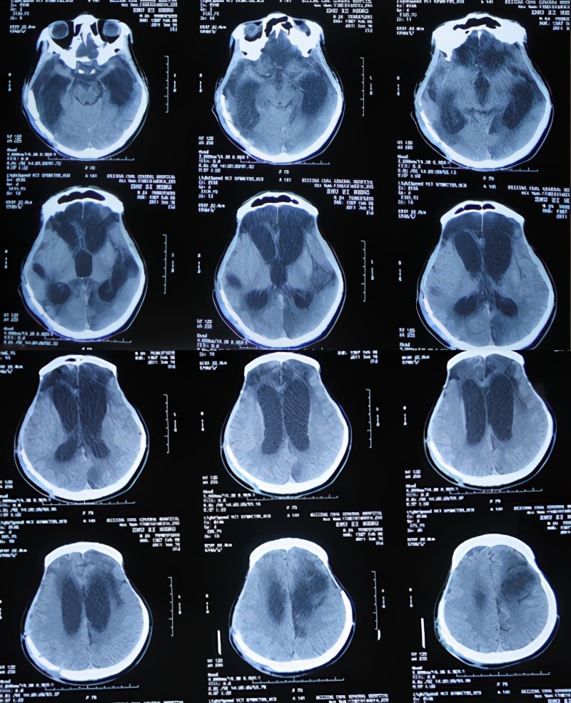
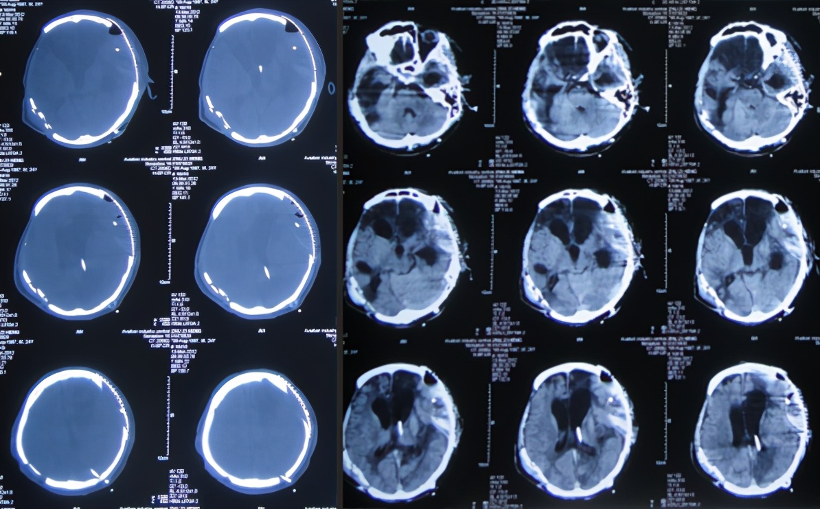
重症监护室治疗20天即2011年6月16日(干细胞移植治疗51天后即开颅术后152天),患者意识稍有好转,体温也变为正常;查头颅CT示脑积水仍未见改善( 图-6 ),所以转回普通病房。

图-6: 2011年6月16日头颅CT
开颅术后185天即2011年7月19日(干细胞移植治疗84天后),患者病情不见好转,反而更重:不能遵嘱活动,已不能简单言语,头颅CT示脑积水仍没有改善( 图-7 )。

图-7: 2011年7月19日头颅CT
第4家医院治疗93天
在第3家医院治疗66天即开颅术后202天即2011年8月5日(干细胞移植治疗101天后),为治疗脑积水转到第4家的北京的某*队军**的三甲医院。住院后,继续给予腰大池持续引流治疗。
第4家医院治疗87天即开颅术后289天即2011年10月31日,因脑积水始终未得到满意治疗;期间还外请更高级的北京某三甲知名医院的专家会诊,但此专家看完头颅CT后( 图-8 )建议暂时不做腹腔分流术,因为他断定:“做了分流术之后,患者也不可能好转!”。

图-8: 2011年10月31日头颅CT
2011年11月6日(第4家医院治疗93天即开颅术后295天),患者的姑姑在看电视时,无意间看到中央电视台12套《道德观察》栏目*放播**采访的李小勇脑脊液科的李小勇主任。发现李小勇主任是“能治这样病的专家( 图-9 )”,经再次实地考察确认后,于次日即2011年11月7日,转入李小勇脑脊液科。

图-9: 央视12套采访李小勇主任
二、第1次在李小勇脑脊液科治疗过程和结果
2011年11月7日(开颅术后先后在4家医院共治疗296天后,脑积水仍无效且严重致昏迷,转入李小勇脑脊液科)。
入院时:昏迷状态,刺激无发音,能自动睁眼但肢体不能遵嘱动作,不能吞咽吃饭。头部情况:双侧额颞部去骨瓣减压术后颅骨缺损,头皮手术瘢痕未见异常渗出,骨窗大小约7*8cm,头皮凹陷;头颅CT(外院2011年10月31日)提示脑外伤术后,脑积水。但右侧原手术刀口经久近1年不愈合,以往几家医院均认为除了自愈之外没有好的治疗方法。
入院后3天即2011年11月10日,术前例行头颅CT( 图-10 )检查后,行侧脑室外引流术。

图-10: 2011年11月10日头颅CT
入院治疗10天即2011年11月17日,患者病情有好转:昏迷减轻,能吞咽吃饭。
入院治疗21天即2011年11月28日,脑脊液颜色虽清亮,但仍有絮状物( 图-11 );头颅CT示脑积水有改善( 图-12 )。

图-11: 2011年11月28日

图-12: 2011年11月28日头颅CT
入院治疗49天即2011年12月26日,例行复查头颅CT( 图-13 )后进行了左侧脑室-腹腔分流术。术后患者肢体较以前灵活,吃饭变正常。

图-13: 2011年12月26日头颅CT
入院治疗50天即2011年12月27日,脑室腹腔分流术后次日状态情况稳定( 图-14 )。

图-14: 2011年12月27日
入院治疗53天即2011年12月30日(脑室腹腔分流术后3天),患者肢体较入院时变灵活,吃饭也变正常,头颅CT示脑室缩小,骨窗变塌陷,但发现右侧原手术区有碎骨( 图-15 )。

图-15: 2011年12月30日头颅CT
入院治疗95天即2012年2月10日,意识变清,双下肢经常自己翘着“二郎腿”( 图-16 )。

图-16: 2012年2月10日经常自己翘着“二郎腿”
入院治疗113天即2012年2月28日,查头颅CT示脑室进一步缩小( 图-17 )。

图-17: 2012年2月28日头颅CT
入院治疗121天即2012年3月7日,进行了左侧颅骨修补术。
入院治疗127天即2012年3月13日(左侧颅骨修补术后6天),头颅CT示左侧颅骨修补术后,右侧仍有碎骨( 图-18 )。

图-18: 2012年3月13日头颅CT
入院治疗169天即2012年4月25日(左侧颅骨修补术后48天),进行了右颞枕原术区碎骨清除术。
右颞枕清创探查术后4天即2012年4月29日(入院治疗173天即左侧颅骨修补术后52天),头颅CT示右侧碎骨已清除( 图-19 )。

图-19: 2012年4月29日头颅CT
2012年7月10日(入院治疗248天即左侧颅骨修补术后127天),出院时:右侧颅骨缺损( 图-20 ),意识清楚,能简单言语交流。

图-20: 2012年7月10日头颅CT
二、第2次在李小勇脑脊液科治疗过程和结果
从李小勇脑脊液科第1次出院后4月余即2012年10月26日,为了修补右额颞颅骨第2次住入李小勇脑脊液科。
入院后11天即2012年11月6日,按计划进行右额颞顶枕部颅骨修补术。
2012年12月12日(治疗48天)出院,出院时:四肢能遵嘱活动,能简单言语交流,能自己吃饭穿衣服,但走路困难需两人搀扶( 图-21 );但外伤后致双目失明无改善。

图-21: 2012年12月12日能自己穿上衣
三、出院后随访
出院后3年即2015年4月7日,随访:言语交流明显改善,身体进一步恢复,可以自己行走,仍双目失明( 图-22 )。

图-22: 2015年4月7日
出院后5年即2017年3月初,微信随访:走路已基本正常,经常在家中使用跑步机进行身体锻炼,还经常自己练习弹琴和吹口琴,但遗憾的是外伤引起了双目永久失明( 图-23 )。

图-23: 2017年3月视频截图
(完)