小李近期发现自己早上的晨尿总是红色的,最开始以为是西瓜吃多了,再加上尿液的颜色不是特别的红,也就没有放在心上。
但是随着血尿的频率增强,并且腰部附近也总是疼。这些种种不正常的现象,让小李明白自己可能生病了,于是去往了医院就诊。
医生询问了小李症状持续的时间,初步判断小李的泌尿系统中可能长有结石。但是具体诊断结果,还需要结合泌尿系统彩超的结果进行判断,于是医生让小李去做了该检查。最终的检查结果显示,小李的左肾上出现了结石了。
不过好在结石的体积并不是很大,数量也不是很多,于是医生给小李开了一些具有溶石作用的药物治疗。
其实随着时代的发展,彩超检查也变得更加普遍,提到彩超这个词,相信大家都是很熟悉的。但是说起它到底是什么,有什么用,大家可能会比较困惑。别着急,下文会为大家一一解答。

一、泌尿系统彩超是什么,有什么用?
彩超其实是一款设备,它的诊断原理与黑白超系统、多普勒信号有关,具有较强的可视性。
该设备可用于诊断我们身体中的腹部、血管、产科、泌尿系统、心脏、妇科、小器官等部位是否存在病变,比如阴道炎、肾结石、前列腺炎、动脉粥样硬化等。根据检查部位的不同,分为泌尿系统彩超、阴道彩超、心脏彩超等。
其中,泌尿系统彩超可用于诊断肾脏、前列腺、尿道、输尿管、膀胱等泌尿系统器官是否存在炎症、肿瘤、结石等病变,以及这些病变的严重程度。

当大家做完这项检查后,拿到检查报告时,相信大家都会第一时间看看报告上都说了些什么,看看自己是否健康,病情是否严重。
但是一看到回声、强光、声影、一连串数字等文字,以及完全看不懂的图形时,大家的内心可能都会有一丝小小的崩溃,并在心中吐槽一句“这是啥意思呀,一点都不明确”,然后就带着这份看不懂的报告去找医生了。
二、彩超泌尿系彩超如何看懂,医生带你了解
随着社会的发展,大家的生活变得越来越好以及更加便利。但是这也带来了一些坏处,比如有的人越来越懒,连门都不愿出,长期久坐,或者因为工作过于忙碌,连饭都来不及吃。而泌尿系统具有维持内环境稳定、促进红细胞生成、排泄等作用。

若是大家长期处于上述不健康状态,就容易患上肾结石、输尿管积水、前列腺增生等泌尿系统疾病。对于上述疾病的诊断一般都少不了泌尿系统彩超的参与。
若是大家的检查结果中,出现了下述病变,建议及时就医进行治疗,以免错过病情的最佳治疗时期,危害身体健康。
在拿到检查报告时,看到强回声光团,且后方伴有声影等文字时,说明大家体内存在结石病变。
若是存在肾脏上就是肾结石,如果出现在输尿管上就是输尿管结石。
肾脏和膀胱一般通过输尿管进行连接。若是输尿管上存在结石,可能就会导致肾脏产生的尿液无法顺利地进入到肾脏中储存起来,就容易导致肾脏积水,使肾脏的体积变大。

肾积水在彩超的图形上的呈现,一般是黑色。所以若是大家在泌尿系统区域发现了黑色区域,说明有区域存在水肿病变。
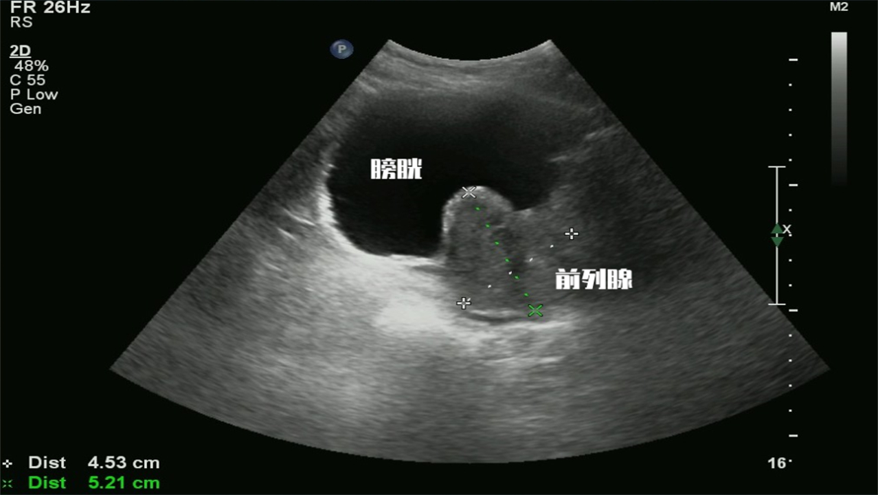
前列腺的正常大小一般在4cm*3cm*2cm,若是大家检查结果上的数值是大于正常值,说明前列腺变大了,需要警惕是否是前列腺增生引起的。
同理其他器官的体积变大了,也需要警惕是否存在水肿、异常增生等病变。
大家若是发现前列腺增生的方向是向膀胱内凸出的,那么很大概率就可以确诊为前列腺增生,并且情况还比较严重,此时需要及时进行医治。
因为前列腺增生主要以中叶增生、两侧叶增生为主,而膀胱的压力比较低,当前列腺增生比较明显时,就会向旁观凸出。

并且由于膀胱内出现了部分前列腺的组成部分,还可能会导致膀胱阻梗,引起尿频、尿急、尿*禁失**等不良症状。对于存在上述尿*禁失**、膀胱阻梗等人群而言,残余尿量的数值大于50毫升的检查结果可以说是经常看见的。
因为尿液一般是存储在膀胱中的,但是在排尿时,膀胱中的尿液并不是一次性直接排完,一般会残留一些。正常情况残余的尿量不会超过50毫升,若是超过了50毫升,说明膀胱的功能是不正常的。

通过上述讲解相信大家对于泌尿系统彩超的结果该如何看,有了一定的了解了。
但是这有一个前提条件,那就是检查结果得是准确的,否则一切都没有实际的意义。因此,在做泌尿系统彩超之前,我们需要做好相应的注意事项。
三、泌尿系统彩超的注意事项
大家在做泌尿系统彩超时,相信大家听到的最多的一个词就是憋尿。
大家对于这个行为也十分的困惑。其实是因为正常情况下前列腺、肾脏等泌尿系统器官处于腹部的深处,在它们的前方有肠管遮挡。

而膀胱在并没有在腹部很深处的地方,憋尿的行为可以让膀胱处于充盈的状态,有利于将前方肠道这个遮挡物给撑开,就能使超声检查结果的成像更加清晰,达到检查的标准。
因此,在做泌尿系统彩超检查时,建议大家做好以下注意事项:
1.检查前1-2小时饮水
尿液一般在肾脏产生,所以尿液的产生需要一定的时间。
另外,若是憋尿过久,容易导致膀胱过度充盈,这会对膀胱的收缩功能造成影响,甚至让肾脏出现轻微水肿,所以这种情况可能会对检查结果造成影响。
因此,建议大家在进行泌尿系统彩超1-2小时前开始饮水。这种情况下的膀胱不仅处于充盈状态,收缩功能也不会异常,肾脏的体积也不会出现异常。

2.取尿液中段
一般做完泌尿系统彩超后,或多或少都会涉及到尿检。此时在取尿时,建议大家取尿液中段。
因为若是存在尿道感染的情况,最开始流出的尿液中可能会夹杂着病毒、细菌,取这段尿液进行检查,容易会导致检查结果不准确。而中段尿一般能够较为真实地反应患者的身体情况。

3.避免进食产气的食物
由于泌尿系统的大多数器官都会被肠管遮挡。
若是大家在做泌尿系统彩超前,进食了土豆、芋头、南瓜等容易产气的食物,可能会让肠管中存在较多的气体。虽然膀胱充盈后,可以将肠管撑开,减少这些因素对于检查结果的干扰。但若是肠管内产气过多,可能还是会遮挡住部分部位,导致检查结果不精准。

做完彩超后一般没有明确的禁忌事项,若是大家存在病变,建议及时就医,避免拖拉,不然小毛病可能会变为大毛病。
不过,在日常饮食时,还是建议大家以清淡饮食为主,并做好局部的清洁卫生,毕竟病从口入这句话是没有问题的。
因为辛辣、刺激的食物,比如辣椒、大蒜等,进食过多,容易对胃肠造成刺激,导致胃黏膜受损。而胃黏膜是保护我们胃的一层黏膜。若是它受到损伤,就会加大胃部发生病变的概率。

而不洗手就吃饭、摸脸、触碰嘴唇、揉眼睛,可能会让手上的病毒、细菌等病原体进入上述部位,或者通过口进入胃内,危害身体健康。
若是大家的泌尿系统并没有存在病变,在平时建议大家穿宽松透气性强的衣物,做好清洁卫生工作。因为长期穿紧身、不透气的衣物,容易导致皮肤变得潮湿,更适宜细菌生存,就容易滋生细菌,导致局部感染。

而我们经过一天的工作后,从外面回到家里时,身体上可能会携带着一些致病菌,若是大家没有及时将这些病菌给冲洗掉,可能会加大病毒、细菌感染的概率。毕竟我们身体中的每一个系统、器官、组织,也是需要我们精心呵护的,不然最终受苦还是我们自身。
总结
泌尿系统彩超已经作为作为健康人群体检的常规项目之一,大家可通过该项检查来判断自己是否患有结石、水肿、前列腺增生、膀胱梗阻等疾病。
若是检查结果中出现了强回声光团、声影等文字,说明大家可能患上了结石类疾病;图上若是有黑色区域,则说明存在水肿病变,前列腺增生的方向如果是向膀胱内凸出,很有可能会患上了前列腺增生、膀胱阻梗等疾病。
在进行检查前,为了保证检查结果的准确性建议大家在检查前1-2小时饮水,若是有尿检,建议取中段尿,在饮食上避免进食容易产气的食物。
如果大家做完检查后,存在病变,建议及时治疗,不宜拖拉,以免小毛病变为大毛病,增加治疗难度。平时建议大家清淡饮食、做好清洁卫生工作、穿宽松透气性强的衣物,对身体有好处哦~
参考文献
[1]谢文.腹部彩超检查适用于哪些方面及相关注意事项[J].饮食保健,2020,7(18):268-269.
[2]陈思艳.彩超在诊断泌尿系统结石中的效果评价[J].临床医药文献电子杂志,2019,6(75):155-156.