尽管卵巢体积小,但在产生荷尔蒙方面发挥着重要作用。 现在,她们的作用已经结束,而且在绝经后可以活得更久,现代女性的卵巢面临着一些疾病的风险... 我们采访了产科医生和妇科医生津岛百合子和畑田麻里子。

据说卵巢是一个 "沉默的器官"。 在妇科部门进行积极的检查。
如果你在妇科检查或体检中被告知你的卵巢肿大,这可能是一个晴天霹雳。 这是因为卵巢几乎没有主观症状,除非有急性卵巢炎或茎部扭转的情况。
只有当疾病进展,例如肿瘤扩大到拳头大小时,才会对周围器官造成压力,引起便秘、尿频、腹痛和背痛。 如果你是一个瘦人,你可能会发现一个肿块,但在40和50岁时,许多人的腹部周围有脂肪,这使得它更难被注意到。 卵巢不像子宫那样可以从阴道直接观察到,而且诊断这种疾病相当困难,所以有时在切除卵巢后才发现癌症。 这种疾病进展很快,当它被发现时,癌症已进入最后阶段,这并不罕见。
即使在绝经后,当卵巢的寿命即将结束时,建议每年到妇科医生那里做一次经阴道超声检查,以检查卵巢的状况。 与子宫癌筛查一起进行将是明智之举"(Tsushima医生)。
你认识多少卵巢疾病?
●巧克力囊肿
子宫内膜异位症疾病之一。 当子宫内膜组织在卵巢上形成时,内膜剥落,并在每次月经时作为经血排出,但旧的血液以巧克力样的状态积聚,形成一个小包。
●功能性卵巢囊肿和功能性黄体囊肿
功能性卵巢囊肿是由荷尔蒙增加或减少引起的卵巢肿胀,可自行愈合。 黄体囊肿是黄体的一种肿胀,在排卵期形成,由于透明液体的积聚。
● 皮肤样囊肿。
囊肿内含有脂肪组织、头发、牙齿、肌肉或一块骨头。 它是一种卵细胞的胚胎学异常,可以是遗传性的,可以是双侧发生的。
●多囊卵巢综合症(PCOS)。
存在大量不能排卵的卵泡,导致排卵障碍引起的月经不调的情况。 *丸睾**激素水平升高导致的胃肠道功能亢进和肥胖的病例。 也与糖尿病有关。
●卵巢肿瘤/良性和恶性(卵巢癌)。
有多种类型,大致分为表层上皮和基质肿瘤、性线基质肿瘤和生殖细胞肿瘤。 最大的可以超过30厘米。 每一种都可以是良性或恶性的。
●卵巢干扭转。
由于卵巢囊肿或肿瘤导致血管和组织充血、梗塞和扭曲的一种紧急状况。 它引起严重的腹痛,如果在早期没有得到适当的治疗,可能导致卵巢功能丧失。

癌症不会突然出现
一个癌细胞发展成癌症,最少需要5年,也可能10年、甚至30年。一般情况下,100万个癌细胞团的直径大约只有1毫米,还不能被任何医学检查仪器筛查出来。当癌细胞分裂达10个亿时,细胞团直径到了1厘米,可以被B超、CT、核磁、PET发现。但是此时很少伴有不适症状,所以往往被忽视。当人体感觉到不适或者发现明显包块时,癌细胞的数量已经超过10亿了,基本上也就处于中晚期了。
如果在某个部位生长的癌细胞脱落,会随着血液或者淋巴转移到其它器官,这就出现了癌症转移。最终可能扩散到全身,破坏身体的各个组织、器官结构和功能。

世界卫生组织在新的报告中,对世界各国的医疗体系进行了综合比较。
日本因为“高品质的医疗服务”和“医疗负担的平等程度”、“国民平均寿命高”等原因再次蝉联一位。
这个排名,很大程度取决于日本完善的“精密体检”体系。
日本精密体检

什么是日本精密体检?
日本精密体检(人間ドックNigenDock)是指以不管有无自觉症状,定期地通过CT,MRI,超声波等精密仪器,对身体各部位进行的一种精密检查。主要目的是为了检查癌症,其次是各种生活习惯病。它是一项对自我近期健康度检测的重要标准。
检查对象主要分胃、肝脏、肺、肠、心脏、血压、糖尿病、前列腺、甲状腺、子宫、乳房、卵巢等、检查项目多种多样。部分项目的检查需要前一天晚上开始控制饮食,具体内容需要与医院事先确认。精密体检Ningen Dock是日本最标准的癌症检查手段,每年大约有200多万人接受检查。

精密体检为什么去日本
1、彻底排除筛查癌症,以及可能危及生命的重大疾病,如脑血管、心血管、糖尿病等让客户了解自己的健康状况。
2、通过早发现早治疗,挽救生命。就现在世界医疗水平来说,早期治疗是挽救癌症病人生命的关键。而早期治疗必须建立在早期发现的基础上。日本30年成功防癌的经验告诉我们,定期专业的癌症检查是人类现今抵御癌症的最佳方法。
3、最后也是最重要的,日本对早初期癌细胞检测能力世界第一,日本开创了精密防癌检查新时代,日本是全世界癌症防治最先进的国家。在日本进行国际最尖端的早期防癌健康检查,能发现和筛查已知的300多种癌症,能最大程度给生命以保障。

日本精密体检项目

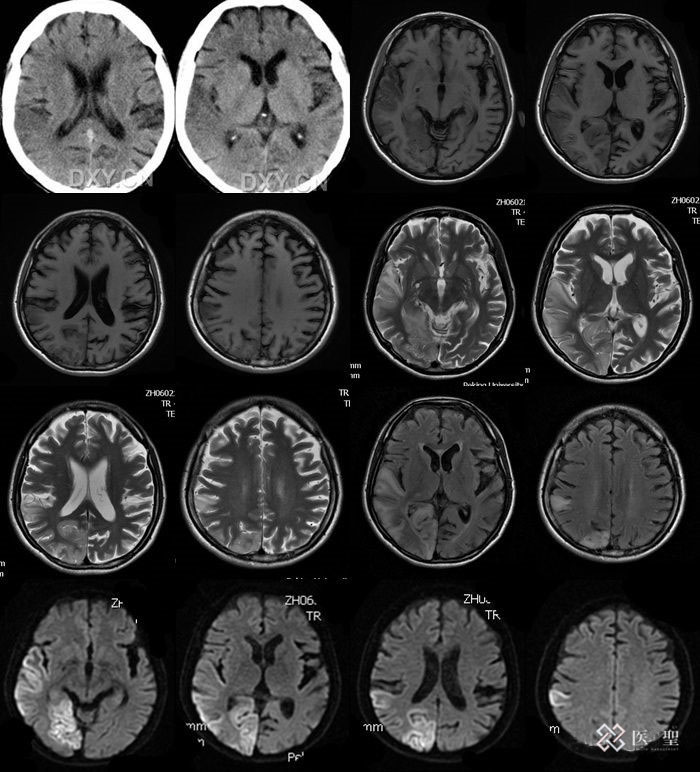
头颅mr影像
脑精密检查:头部MRI・MRA、颈部MRA,可发现造成蛛网膜下腔出血原因的动脉瘤,检查是否有较小的脑梗塞病灶,通过磁场产生图像,人体不会受到放射线的辐射。颈动脉超声波检查,可以发现动脉硬化的进展及管壁的肥厚和狭窄的情况。

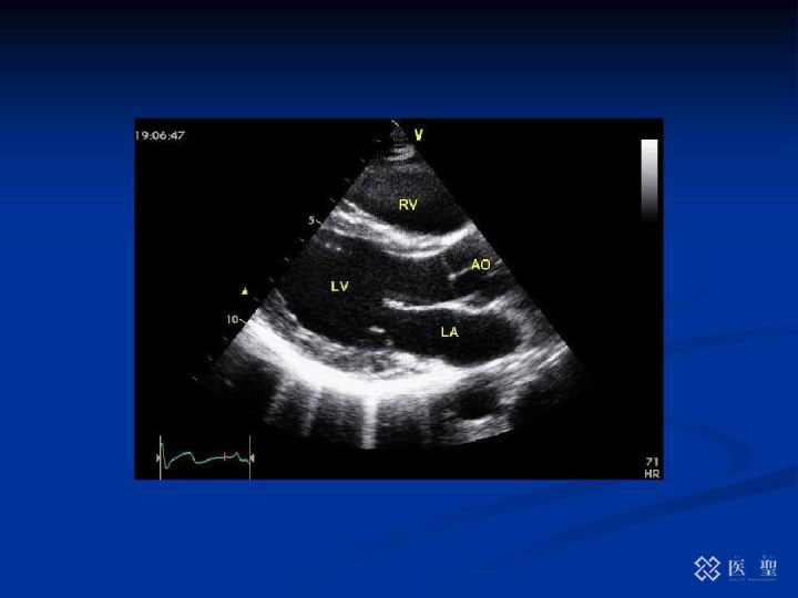
心脏超声波影像
心脏精密检查:心脏超声波检查,通过超声波观察心脏活动的检查;颈动脉超声波检查进行颈动脉成像的检查;PWV(脉搏波传播速度)检查传播到动脉的脉搏波的速度;BNP是从心脏分泌出的一种激素,心脏负担加重时呈高值,可以找出心电图检查无法查到的心脏疾病。

PET-CT
肺部精密检查:痰液细胞学检查、胸部CT检查、PET-CT,主要目的是早期肺癌的发现。
肝脏精密检查:除常规测定的肝胆道分泌的酶之外,还进行纤维化标志物、有关免疫等的检查,本项精密检查除以上多种血液检查之外,还检测肝脏的硬度。
胰腺精密检查:通过MRI检查可拍摄到胰腺分泌的消化液在主胰管中的流动状况。有肿瘤的话,大多就会引起胰管的变化,若主胰管变窄或显示扩张,就需要做进一步的精密检查。

大肠精密检查:大肠内窥镜检查,是从肛门插入内窥镜,直接观察大肠粘膜,为当前诊断早期大肠癌最可信赖的检查法。不单是大肠癌,也是发现溃疡和息肉的有效检查。
妇科精密检查:宫体部内膜细胞学检查,刮片检查就是用采集细胞的器具插入子宫深处取出细胞进行检查;乳房精密检查(外科诊察、乳腺钼靶、乳房超声波检查),使用X光的乳腺钼靶与乳房超声波检查,发现触诊难以发现的小乳癌灶。
骨骼精密检查:骨盐定量检查、骨代谢标志物,目的就是测定骨骼中钙含量,起到预防骨质疏松症的作用,并且,测定骨骼代谢标志物,掌握目前骨骼的代谢状况,一旦患上骨质疏松症时则可对症选择合适的治疗方案。

据日本国立癌症研究中心发布的《2008-2009年5年生存率结果》显示,日本在10年前的整体癌症5年生存率,就达到了65.8%,这个数据即便在全球范围也十分卓越。
长期以来,日本的医疗机构秉持 “提供高质量医疗服务”、“尊重客户的尊严和隐私”、“给予客户充分、清楚的说明”、“尊重客户选择的自由”以及“守护客户健康生活”的五大理念,给予客户更好的就医体验。
发现问题后, 还可以快速集合院内各科室专家进行会诊,跟进客户后续治疗,让客户全程无后顾之忧。
关注我们,私信获取更多信息。
