概述
主-肺动脉间隔缺损较罕见,系胚胎发育过程中,动脉主干分隔不完全,在主动脉和肺动脉根部形成间隔缺损,缺损距主动脉瓣0.5cm~1.5cm。大小一般在1.5cm~2.5cm。
分型
Mori将本病分为三型:I型为主一肺动脉间隔近端缺损;Ⅱ型为间隔远端缺损;Ⅲ型为间隔完全缺损。
症状体征
1.症状
类似动脉导管未闭,但血液是从升主动脉经过缺损到肺动脉干。所以症状出现早而且严重。有心悸、气急、疲乏无力,晚期可出现发绀。
2.体检
胸骨左缘第3肋间可以听到收缩期杂音,少数患者可有连续性杂音,同一部位可扪及收缩期震颤,肺动脉第二音亢进或分裂。有水冲脉、脉压大。
影像诊断
1.心电图
示左心室肥大或双室肥大,如有右向左分流,可出现右室肥大。
2.X线检查
双肺血多,心脏明显扩大,主动脉结不大,肺动脉段突出,肺门阴影增宽。
3.超声心动图
主动脉-肺动脉壁扫描回声中断。
4.右心导管及心血管造影检查
可显示肺动脉压力和含氧量增高。如导管从肺动脉直接进入升主动脉和主动脉弓部,即可明确诊断。主动脉逆行造影可显示缺损大小和位置及与周围组织的解剖关系。
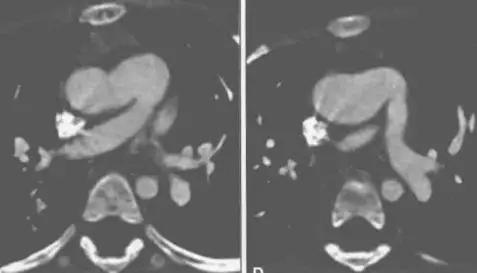
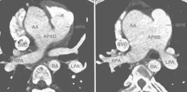
5.CTMR表现
I型:可见缺损紧邻半月瓣的上部层面,升主动脉左后壁与肺动脉主干的右前壁相连通,二者之间有血流信号或造影剂通过
II型:缺损位于升主动脉的远端,此型易与窗型动脉导管未闭相混淆,当PDA位于降主动脉和肺动脉之间,在图像上表现为缺损的前方是肺动脉,后方是(降)主动脉,而APSD恰好相反,APSD的右前方是升主动脉,而左后方是主肺动脉。

III型:缺损较大,累及升主动脉的全部或大 部,此型易于共同动脉干相混淆,但是APSD有两组半月瓣分别连接主动脉与左心室和肺动脉与右心室,而共同动脉千只有一组大的半月瓣

来源:新乡医学影像
【版权声明】本平台属公益学习平台,转载系出于传递更多学习信息之目的,且已标明作者和出处,如不希望被传播的老师可与我们联系删除